Những tác hại bọc răng sứ giá rẻ
Bọc răng sứ là một giải pháp được nhiều khách hàng lựa chọn nhằm cải thiện các khiếm khuyết răng miệng, và nâng cấp hàm răng đều đẹp, trắng sáng hơn. Tuy nhiên, không ít người bởi vì chọn thực hiện các dịch vụ bọc sứ giá rẻ, nhưng lại không đảm bảo chất lượng đã dẫn đến nhiều tác hại bọc răng sứ.
Viêm tủy răng
Viêm tủy răng là một trong các biến chứng sau bọc răng sứ có thể xảy ra nếu bác sĩ thực hiện không có đủ kinh nghiệm và tay nghề kém. Điều này dễ dẫn đến mài cùi răng sai tỷ lệ, gây tổn thương cấu trúc răng thật. Từ đó tạo điều kiện cho các vi khuẩn xâm nhập vào tủy răng và gây ra viêm tủy. Viêm tủy kéo dài có thể dẫn đến chết tủy, răng lung lay và thậm chí là mất răng.
Răng bị nứt vỡ

Sử dụng sứ kém chất lướng khiến răng bị nứt vỡ
Sử dụng sứ kém chất lượng là điều có thể xảy ra nếu bạn không tìm hiểu kỹ về cơ sở nha khoa thực hiện trước khi làm, mà chỉ tin vào những lời quảng cáo. Thực tế, nhiều nha khoa đã vì lợi nhuận mà bất chấp sử dụng những dòng sứ không rõ nguồn gốc và không đảm bảo được chất lượng. Chỉ sau một thời gian sau khi bọc răng sứ giá rẻ, răng sứ xuất hiện tình trạng bị nứt, vỡ.
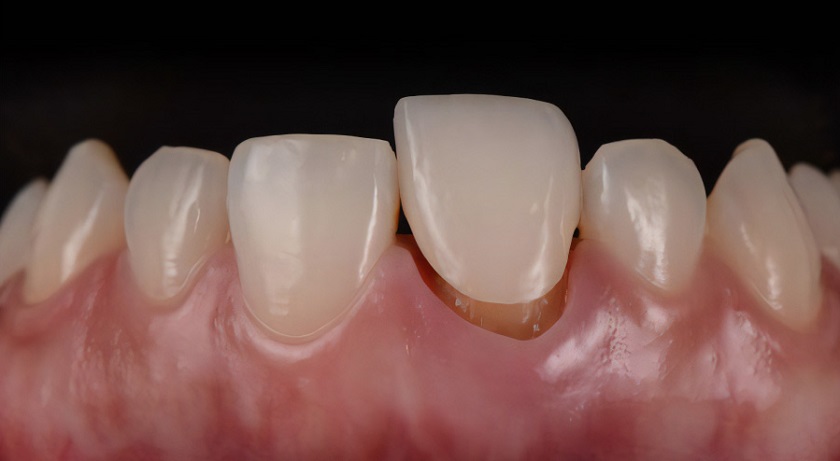
Hở cổ chân răng
Công đoạn chế tác răng sứ phải được đảm bảo vừa khít với kích thước răng của khách hàng. Ngoài ra, các thao tác gắn răng sứ cần phải vô cùng chuẩn xác và khéo léo, đảm bảo được mão răng sát khít với cùi răng. Nếu xảy ra bất cứ sai sót nào trong quá trình này cũng có thể dẫn đến tình trạng hở chân răng.
Bọc răng sứ không khít sẽ dẫn đến những hiện tượng như: nướu tạo ra các rãnh sâu, lõm hình chữ V ở nơi sát viền lợi và làm cho cổ chân răng lộ ra ngoài. Điều này khiến cho tình trạng răng bị hở giữa vị trí tiếp nối răng sứ và nướu răng, tạo ra khe hở, thức ăn thừa khi ăn uống rất dễ đọng lại. Không chỉ gây khó chịu mà còn kéo theo đó là các bệnh lý về răng miệng như hôi miệng, viêm nướu, sâu răng…
Hỏng răng gốc
Sử dụng loại sứ kém chất lượng khi bọc răng sứ giá rẻ có thể gây viêm nhiễm và làm hư hại đến các răng thật. Thậm chí còn có thể làm lung lay và mất răng thật vĩnh viễn. Đây là một trong những hậu quả bọc răng sứ nghiêm trọng nhất mà khách hàng cần phải lưu ý.
Răng sứ bị lung lay

Răng sứ bị lung lay khi được bọc sai kĩ thuật
Kỹ thuật bọc sứ của bác sĩ còn non kém sẽ gây ra nhiều sai sót trong quá trình thực hiện như: mài răng sai tỉ lệ, lấy dấu răng không chính xác… Khiến cho việc gắn mão răng sứ không được sát khít với cùi răng thật. Sau một thời gian sử dụng, răng sứ sẽ có hiện tượng bị lỏng lẻo và tự động rơi ra.
Tác hại bọc răng sứ, dán răng sứ sai cách mang lại rất là nghiêm trọng. Vì thế tại Nha khoa Nhân Tâm, các ca bọc răng sứ đều được thực hiện bởi các bác sĩ chuyên khoa có nhiều năm kinh nghiệm trong lĩnh vực, vật liệu sứ và công nghệ được nhập khẩu từ nước ngoài.
Viêm lợi

Bọc răng sứ giá rẻ gây ra viêm lợi, sưng nướu
Những biến chứng sau bọc răng sứ kém chất lượng thường thấy nhất là bọc răng sứ bị viêm lợi, tiết ra rất nhiều dịch gây ra viêm nướu và hôi miệng.
Nguyên nhân thường là do bác sĩ mài răng không đúng với tỉ lệ, gắn sứ sai kỹ thuật, vệ sinh khoang miệng không sạch sẽ...
Răng sứ hở nướu
Khi thấy các kẽ hở giữa răng và nướu xuất hiện thì đây chính là dấu hiệu răng sứ bị hở nướu. Nguyên nhân chử yếu có thể là do kỹ thuật phục hình của bác sĩ còn yếu kém, khâu chế tác răng sứ không được chuẩn xác, chất lượng sứ sử dụng không tốt…
Cảm giác ê buốt kéo dài
Cảm giác ê buốt, đau nhức răng kéo dài thường xảy ra khi bác sĩ thực hiện mài răng với các thiết bị kém chất lượng, làm tăng độ ma sát giữa mũi khoan và bề mặt răng. Từ đó ảnh hưởng xấu đến phần tủy răng và dẫn đến tình trạng mài răng xong bị nhức, ê buốt.
Trên đây là thông tin về tác hại bọc răng sứ giá rẻ. Nếu còn những thắc mắc khác cần được tư vấn, bạn có thể liên hệ hoặc đến trực tiếp Nha khoa Nhân Tâm để được các bác sĩ thăm khám và tư vấn.



