Sưng nướu răng khôn là một trong những triệu chứng thường thấy ở những khách hàng đang trong thời gian mọc răng khôn. Do tình trạng mô nướu xung quanh răng khôn bị viêm, gây sưng, đau làm khách hàng rất khó chịu, ảnh hưởng tới khả năng ăn nhai.
Để giải quyết dứt điểm vấn đề này, bên cạnh việc loại bỏ răng khôn, khách hàng cần được chăm sóc sức khoẻ răng miệng đúng cách. Tuy nhiên, với sự phát triển của ngành nha khoa hiện nay, không phải phòng khám nha khoa nào cũng có những bác sĩ nha khoa có chuyên môn và có chứng chỉ hành nghề cũng như không phải phòng khám nào cũng được cấp phép hoạt động hợp pháp. Tại TP.HCM, nha khoa Nhân Tâm là một trong những phòng khám được biết đến với đội ngũ bác sĩ giàu kinh nghiệm, tốt nghiệp Đại học Y khoa nổi tiếng trong cả nước, được đào tạo chuyên sâu ở nước ngoài, sẽ tư vấn cho khách hàng một cách hiệu quả nhất.
Sưng nướu răng khôn là gì?
Sưng nướu răng khôn hay còn gọi là sưng lợi răng khôn là một tình trạng mô nướu xung quanh răng khôn bị viêm dẫn tới sưng, đau, gây ảnh hưởng tới khả năng ăn nhai cũng như tinh thần của khách hàng, thường xảy ra trong trường hợp răng khôn mọc kẹt do không đủ khoảng trống trên cung hàm, lúc này vi khuẩn sẽ xâm nhập vào khu vực quanh răng gây nên tình trạng nhiễm trùng, nướu xung quanh răng lúc này trở nên sưng, đỏ, đau.
Xem thêm: Nhổ răng khôn ăn gì và kiêng ăn gì?
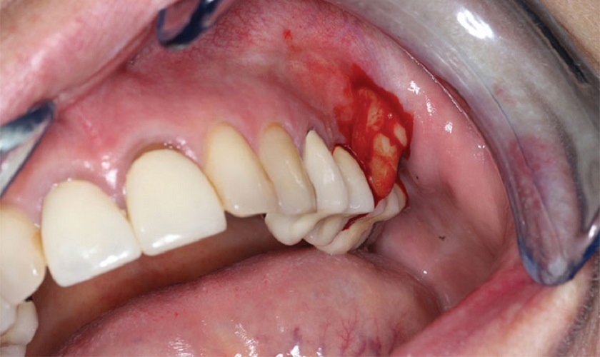
Biểu hiện của sưng nướu răng khôn
Mỗi chúng ta đều có thể dễ dàng nhận biết được những biểu hiện của sưng nướu răng khôn sau đây:
Sưng, đau mô nướu:
Thường gặp trong những trường hợp cấp tính. Bạn có thể có sốt, mô nướu sưng đỏ, đau là khó có thể ăn nhai, khu vực quanh răng khôn có thể tiết ra dịch rỉ viêm màu trắng sữa.
Hơi thở hôi:
Đây là một trong những dấu hiệu thường gặp ở những khách hàng biểu hiện sưng nướu răng khôn mạn tính. Trên thực tế thường có biểu hiện sưng đau nhẹ, chủ yếu là hơi thở có mùi hôi do vi khuẩn tích tụ.

Răng khôn mọc ngầm
Sưng nướu răng khôn nên làm gì?
Sưng nướu răng khôn là một triệu chứng có thể tái phát nhiều lần nếu tình trạng này không được giải quyết một cách dứt điểm. Để giải quyết được vấn đề này, khách hàng cần:
Trong trường hợp chưa có điều kiện đến gặp bác sĩ: Khách hàng có thể khắc phục bằng một số biện pháp như: Vệ sinh khoang miệng sạch sẽ bằng nước muối ấm 2-3 lần/ ngày sau ăn. Chải răng 2 lần/ngày và sử dụng nước súc miệng để hạn chế vi khuẩn và hôi miệng.
Trường hợp có điều kiện, khách hàng nên tới ngay cơ sở nha khoa uy tín để được các bác sĩ tư vấn về một số biện pháp như:
Kiểm soát cơn đau:
Nếu nướu của khách hàng co biểu hiện nhiễm trùng nặng, có mủ trắng, lúc này bác sĩ sẽ tiến hàng làm sạch vùng quang răng, dùng giảm đau, kháng sinh để hạn chế đau.Cắt lợi trùm răng khôn: Nếu trường hợp mô nướu sưng nhiều trùm kín trên thân răng khôn thì bác sĩ sẽ tiến hành phẫu thuật cắt lợi trùm, sau đó sẽ kê đơn thuốc giảm đau kháng sinh cho khách hàng để răng khôn được phát triển bình thường.
Nhổ răng khôn:
Đối với những trường hợp răng khôn bị kẹt, không đủ khoảng trống để mọc trên cung hàm. Lúc này, việc nhổ răng khôn là một chỉ định bắt buộc. Khách hàng sẽ được các bác sĩ phẫu thuật để loại bỏ răng khôn.

Vệ sinh răng miệng sạch sẽ
Loại bỏ sưng nướu răng khôn uy tín ở đâu?
Giữa rất nhiều phòng khám nha khoa được mở ra hiện nay, khách hàng thật khó có thể trả lời được câu hỏi loại bỏ sưng nướu răng khôn uy tín ở đâu. Tại TP.HCM, nha khoa Nhân Tâm là một trong số ít những phòng khám nha khoa uy tín với thiết kế và trang thiết bị theo đúng quy chuẩn . Đặc biệt, khi tới nha khoa Nhân Tâm khách hàng sẽ được:
Trải nghiệm môi trường hiện đại, trang thiết bị tiên tiến, cập nhật. Nha khoa Nhân Tâm là một trong số ít phòng khám trên cả nước luôn cập nhật và sẵn sàng đầu tư những trang thiết bị tốt nhất để phục vụ khách hàng.
Bác sĩ tư vấn chu đáo, tận tình: Nha khoa Nhân Tâm là nơi hội tụ những bác sĩ tốt nghiệp các trường Đại học hàng đầu cả nước. Đặc biệt, các bác sĩ ở nha khoa Nhân Tâm luôn được đào tạo liên tục và chuyên sâu trong tất cả các lĩnh vực nha khoa ở trong và ngoài nước, nên khách hàng có thể yên tâm.
Đội ngũ nhân viên nhiệt tình, chu đáo: Khách hàng đến với nha khoa Nhân Tâm sẽ được tiếp đón và hướng dẫn bởi đội ngũ nhân viên thân thiện, được đào tạo chuyên nghiệp, tạo cảm giác cởi mở, thoải mái cho khách hàng.

Khách hàng đến khám tại nha khoa Nhân Tâm
Trên đây là toàn bộ những thông tin về sưng nướu răng khôn. Hi vọng, sau bài viết này khách hàng có thể lựa chọn được cho mình một phòng khám nha khoa uy tín, chất lượng để loại bỏ vấn đề rang miệng đang mắc phải. Nếu có bất kỳ thắc mắc nào, đừng ngại ngần hãy liên hệ tới nha khoa Nhân Tâm theo số Hotline:1900 56 5678.



