Sâu răng bị nhức là tình trạng đáng báo động về sức khỏe răng miệng của chúng ta. Sâu răng bị nhức cần được điều trị sớm để tránh những rủi ro như áp-xe răng, mất răng, nhiễm trùng máu, tử vong…
Tùy thuộc vào tình trạng sâu răng mà Bác sĩ sẽ lên phác đồ điều trị phù hợp, bao gồm các phương pháp trám răng, bọc răng sứ, trám Inlay – Onlay, nhổ răng và phục hình răng bằng Implant…
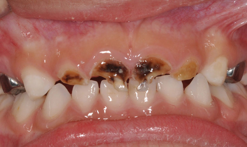
Sâu răng bị nhức có nguy hiểm không
Sâu răng là hiện tượng vi khuẩn tấn công răng tạo ra các lỗ hổng trên bề mặt răng. Quá trình sâu răng diễn ra trong âm thầm. Ban đầu, khi sâu răng vừa mới chớm, sẽ xuất hiện những lỗ nhỏ li ti trên bề mặt răng. Đây là giai đoạn sâu men răng, không có triệu chứng đau nhức hay khó chịu gì nên sẽ khó để bệnh nhân nhận biết. Sau đó, sâu răng sẽ lan rộng ra đến ngà răng. Cuối cùng, sâu răng lan vào tủy răng và gây ra những cơn đau nhức dữ dội.

Sâu răng bị nhức là dấu hiệu nguy hiểm của bệnh sâu răng
Sâu răng bị nhức cảnh báo tình trạng sâu răng đã ở mức độ nghiêm trọng. Nếu cơn đau nhức chỉ xảy ra khi có các yếu tố kích thích như chải răng mạnh hoặc sử dụng thực phẩm nóng/ lạnh thì chứng tỏ bạn đã bị sâu ngà răng. Nếu xuất hiện những cơn đau nhức dữ dội ngay cả khi không có tác nhân kích thích thì sâu răng đã lan vào tủy và gây ra những biến chứng như hoại tử tủy, viêm mô tế bào, áp-xe răng… cần phải điều trị ngay để tránh nguy cơ tử vong.
Quá trình sâu răng diễn ra như thế nào?
Sâu răng bị nhức là một giai đoạn tiến triển của sâu răng. Vậy quá trình sâu răng diễn ra như thế nào? Trong quá trình tiêu thụ thực phẩm, thức ăn thừa sẽ bám dính trên bề mặt răng và kẽ răng. Theo thời gian, các khoáng chất có trong nước bọt sẽ làm cho các mảng bám thức ăn bị vôi hóa, bám chặt trên răng, hình thành nên vôi răng. Vôi răng là nơi trú ngụ của các loại vi khuẩn.

Quá trình sâu răng
Khi chúng ta ăn uống thực phẩm chứa đường hoặc tinh bột, vi khuẩn trong khoang miệng sẽ phân hủy đường và tạo ra axit. Axit sẽ làm sói mòn các khoáng chất trong men răng, gây ra những lỗ nhỏ trên men răng được gọi là lỗ sâu răng. Đây là giai đoạn đầu tiêu của sâu răng, gọi là sâu men răng.
Khi men răng bị sâu, vi khuẩn và axit có thể xâm nhập vào lớp tiếp theo của răng (được gọi là ngà răng) và gây sâu ngà răng. Ngà răng có các ống nhỏ thông trực tiếp với dây thần kinh của răng gây ra tình trạng sâu răng bị đau khi có các tác nhân kích thích.
Sau đó, vi khuẩn và axit tiếp tục tấn công tủy răng có chứa dây thần kinh và mạch máu, gây ra tình trạng sâu răng viêm tủy. Nếu không kịp thời điều trị, sẽ dẫn đến viêm mô tế bào, áp-xe răng… gây đau nhức dữ dội, thậm chí có thể dẫn đến tử vong do biến chứng nhiễm trùng máu…
Cách chữa sâu răng bị nhức
Sâu răng bị nhức thực sự là dấu hiệu nguy hiểm của bệnh sâu răng. Vì vậy, khi có dấu hiệu đau nhức, bạn cần thăm khám càng sớm càng tốt để tránh tình trạng nặng hơn và đề phòng những biến chứng khó lường.

Sâu răng ở trẻ em
Tùy theo mức độ sâu răng mà sẽ có cách điều trị sâu răng khác nhau. Sâu răng bị đau nhức có thể gặp ở mức độ sâu ngà răng hoặc sâu đã lan vào tủy răng.
Với trường hợp sâu ngà răng, trước tiên chúng ta cần chải răng nhẹ nhàng, tránh sử dụng thực phẩm nóng - lạnh để giảm tình trạng đau nhức. Tiếp đó, bạn sẽ cần đến thăm khám tại địa chỉ nha khoa uy tín để thực hiện hàn trám răng sâu, ngăn sâu răng lan rộng.

Trám răng sâu với trường hợp sâu men hoặc sâu ngà
Với trường hợp sâu răng bị nhức do sâu răng lan vào tủy răng, bạn cần đến nha khoa ngay để điều trị, tránh những biến chứng nguy hiểm cho cơ thể. Bác sĩ sẽ tiến hành chữa tủy, và phục hình lại bằng phương pháp trám thẩm mỹ, bọc răng sứ hoặc phục hình Inlay – Onlay.
Nếu răng sâu nghiêm trọng, không thể giữ được răng thì nhổ răng sâu là điều cần thiết, bệnh nhân sau nhổ răng có thể khôi phục răng mất bằng giải pháp tối ưu nhất là cấy ghép răng Implant.

Nhổ răng khôn bị sâu
Nhìn chung, sâu răng bị nhức thực sự ảnh hưởng lớn đến sức khỏe và cuộc sống của bệnh nhân. Nếu gặp phải tình trạng này thì bạn hãy lựa chọn cho mình một cơ sở nha khoa tốt để điều trị càng sớm càng tốt nhé!




