Răng toàn sứ và răng sứ Titan đều là những loại răng sứ đang rất được ưa chuộng hiện nay.
- Răng sứ Titan có chi phí thấp nhưng thẩm mỹ mang lại cũng khá cao, độ bền chắc cao giúp khách hàng ăn uống thoải mái, hơn nữa không gây hại cho sức khỏe răng miệng. Tuy nhiên, vì bên trong là kim loại Titan nên dễ bị ánh đen khi có ánh sáng chiếu vào và làm đen viền nướu sau một thời gian sử dụng.
- Răng toàn sứ được làm hoàn toàn từ sứ nguyên chất nên rất cứng chắc, thẩm mỹ rất cao, tự nhiên như răng thật, không bị ánh đen khi có ánh sáng chiếu vào, sau một thời gian sử dụng nếu chăm sóc tốt thì vẫn trắng đẹp như lúc mới làm.
Thông thường, răng sứ thường được chỉ cho những trường hợp răng bị sứt mẻ, sậm màu, thưa, khấp khểnh ở mức độ nhẹ,… Tốt nhất, bạn nên tìm đến nha khoa uy tín để bác sĩ thăm khám tổng quát, tùy theo tình trạng răng miệng và điều kiện tài chính của mỗi người mà sẽ đưa ra lựa chọn phù hợp nhất.
Nha khoa Nhân Tâm với đội ngũ Bác sĩ trên 20 năm kinh nghiệm, trang thiết bị hiện đại – nhập khẩu từ châu Âu, dịch vụ chăm sóc khách hàng chu đáo chắc chắn sẽ mang lại cho bạn hàm răng đều đẹp cùng nụ cười rạng rỡ.
Tìm hiểu về răng toàn sứ và răng sứ Titan
Răng toàn sứ
Răng toàn sứ là loại răng sứ gồm phần khung sườn và lớp vỏ bên ngoài đều được làm bằng sứ nguyên chất. Răng toàn sứ được sản xuất bằng công nghệ CAD/CAM hiện đại tạo nên răng sứ có độ chính xác cao, màu sắc tự nhiên như răng thật, hạn chế mài răng chỉ với 0,6mm.

Răng toàn sứ được làm hoàn toàn từ sứ nguyên chất
Ưu điểm của răng toàn sứ:
Màu sắc tự nhiên như răng thật; độ trong, bóng, phản quang hoàn hảo.
Khả năng chịu lực và độ bền chắc cao, ăn – nhai thoải mái.
Hoàn toàn lành tính với cơ thể và tuyệt đối an toàn với sức khỏe răng miệng.
Không gây đen viền nướu, không hôi miệng sau một thời gian sử dụng.
Thời gian tồn tại lâu dài nếu được chăm sóc tốt.
Nhược điểm của răng toàn sứ:
Vì sở hữu những ưu điểm vượt trội hơn so với những loại răng sứ thông thường nên răng toàn sứ có chi phí tương đối cao.
Răng sứ Titan
Răng sứ Titan có lõi hợp kim Niken-Crom-Titan ở bên trong, bên ngoài thì được phủ lớp men sứ Ceramco3. Răng Titan không có thành phần hoàn toàn bằng sứ, nên xét về độ chắc chắn và tính thẩm mỹ không thể bằng răng sứ toàn phần được. Vì vậy, giá thành của những chiếc răng Titan cũng thấp hơn hẳn.

Răng sứ Titan có lõi hợp kim Niken-Crom-Titan ở bên trong, bên ngoài thì được phủ lớp men sứ Ceramco3
Ưu điểm của răng sứ Titan:
Thẩm mỹ tốt, tự nhiên như răng thật.
Độ bền cao giúp khách hàng ăn nhai thoải mái.
Không gây kích ứng với cơ thể và môi trường khoang miệng.
Chi phí hợp lý, phù hợp với điều kiện kinh tế của nhiều người.
Nhược điểm của răng sứ Titan:
Răng có tính quang học không quá cao, nên khi ánh sáng cường độ mạnh chiếu vào, răng sẽ có màu đục làm giảm tính thẩm mỹ của hàm răng.
Sau một thời gian dài sử dụng, răng sứ Titan sẽ dễ bị oxy hóa, gây ra tình trạng thâm đen viền nướu.
Quy trình thực hiện răng toàn sứ và răng sứ Titan có gì khác?
Về quy trình làm răng sứ, cả răng toàn sứ và răng Titan đều có chung các bước thực hiện. Quy trình bọc răng sứ cụ thể tại Nha khoa Nhân Tâm như sau:
Bước 1: Thăm khám và tư vấn
Trước khi thực hiện bọc răng sứ, Bác sĩ sẽ tiến hành thăm khám tổng quát tình trạng răng miệng và hướng dẫn khách hàng chụp phim X-quang toàn cảnh Panorex nhằm xác định chính xác những khiếm khuyết, biết được cụ thể số lượng cũng như vị trí răng, mức độ khiếm khuyết của răng cần khắc phục.

Xem thêm: Có nên chọn răng sứ titan để phục hình răng?
Bước 2: Vệ sinh răng miệng, lấy dấu răng tạm, chụp hình răng mặt
Ở bước này, Bác sĩ sẽ tiến hành vệ sinh răng miệng, sau đó lấy dấu răng để làm răng tạm cho khách hàng. Việc chụp hình răng mặt sẽ làm tiền đề cho bước tiếp theo là thiết kế nụ cười.
Bước 3: Thiết kế nụ cười
Bác sĩ sẽ xem xét toàn diện sự hài hòa về hình dạng, màu sắc của răng với nướu, môi, da và toàn bộ khuôn mặt của khách hàng, kết hợp với thủ thuật bọc răng sứ nhằm khắc phục các khiếm khuyết và đem lại nụ cười đẹp rạng ngời cho khách hàng. Thiết kế nụ cười sẽ cho thấy được kết quả điều trị trong tương lai, giúp Bác sĩ và khách hàng dễ dàng thảo luận và lựa chọn phương án điều trị tối ưu.
Bước 4: Mài cùi lấy dấu, gắn răng tạm
Bác sĩ sẽ gây tê vùng cần làm răng nhằm tránh cảm giác ê buốt, khó chịu cho khách hàng trong suốt quá trình thực hiện. Quá trình mài răng cẩn thận, không gây ảnh hưởng đến tủy hay các răng thật xung quanh. Sau khi mài và lấy dấu răng bằng công nghệ 3Shape 3D, Bác sĩ sẽ gắn răng tạm và hẹn ngày gắn răng sứ cho khách hàng.

Bước 5: Chế tạo răng sứ
Toàn bộ dữ liệu của bệnh nhân đã thu thập được ở những bước trên sẽ chuyển cho Labo ngay tại nha khoa để các kỹ thuật viên chế tạo răng sứ. Đối với răng sứ CAD/CAM, toàn bộ quá trình thiết kế - chế tác răng sứ sẽ được thực hiện hoàn toàn tự động bằng máy, mang lại răng sứ có độ chính xác cao, tinh tế, sắc xảo đến từng chi tiết, hơn nữa thời gian làm răng cũng rất nhanh, có thể chỉ cần trong 1 ngày là hoàn tất.

Tại Nha khoa Nhân Tâm, răng sứ được thiết kế - chế tạo bằng công nghệ CAD/CAM hiện đại
Bước 6: Thử sứ và tinh chỉnh thẩm mỹ đến khi khách hàng hoàn toàn hài lòng
Bác sĩ sẽ gắn răng sứ cho khách hàng, cân chỉnh lại thẩm mỹ và khớp cắn sao cho tối ưu. Đối với trường hợp làm nhiều răng sứ, Bác sĩ sẽ gắn răng sứ bằng cement gắn tạm (có thể tháo răng ra được) để khách hàng ăn nhai thử.
Bước 7: Cố định mão sứ, dặn dò chăm sóc răng miệng
Sau khi mọi tiêu chuẩn về răng sứ đã đạt được và khách hàng hài lòng về răng sứ mới làm thì Bác sĩ sẽ gắn răng sứ bằng cement vĩnh viễn. Sau đó dặn dò kỹ lưỡng về cách chăm sóc răng miệng để răng sứ được bảo tồn lâu dài và hẹn lịch tái khám định kỳ.
Răng toàn sứ và răng sứ Titan nên làm loại nào?
Răng toàn sứ hay răng sứ Titan đều là những loại răng thường được sử dụng trong phục hình thẩm mỹ nha khoa. Thông thường, nếu răng cần bọc sứ nằm ở bên trong thì khách hàng có thể lựa chọn răng sứ Titan để tiết kiệm chi phí. Trường hợp bọc sứ cho răng cửa đòi hỏi thẩm mỹ cao thì hầu hết các chuyên gia đều khuyên dùng răng toàn sứ.
Tùy thuộc vào tình trạng răng miệng cũng như điều kiện tài chính mà khách hàng có thể cân nhắc lựa chọn giữa răng toàn sứ và răng sứ Titan.
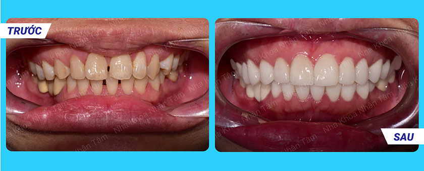
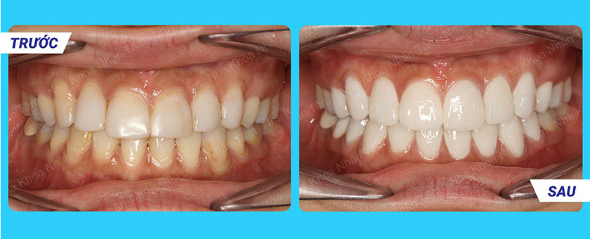
Hình ảnh khách hàng bọc răng sứ tại Nha khoa Nhân Tâm


Hy vọng những thông tin trên đã giúp bạn giải đáp được thắc mắc nên làm răng toàn sứ hay răng sứ Titan. Nếu bạn cần tư vấn thêm thông tin hoặc có nhu cầu bọc răng sứ, hãy liên hệ ngay đến Nha khoa Nhân Tâm để Bác sĩ tư vấn cụ thể cho bạn nhé!


