Răng sứ cercon là gì?
Để hiểu rõ hơn răng sứ cercon là gì thì đây là dòng răng có xuất xứ từ Đức và là một trong những loại răng sứ phổ biến nhất với các đặc tính không kim loại. Răng sứ Cercon có thể khắc phục được tất cả các nhược điểm của những loại răng sứ kim loại thông thường khác như không làm đen viền nướu, không gây đổi màu răng, có tính thẩm mỹ cao…
Cấu trúc của răng sứ cercon bao gồm 2 có phần chính:
- Bên trong: Khung sườn làm từ sứ.
- Bên ngoài: Được phủ bởi nhiều lớp sứ, có độ trắng sáng và tự nhiên giống hệt như răng thật.
Đối tượng nên và không nên bọc răng cercon
Sau khi đã được giải đáp câu hỏi răng sứ Cercon là gì, chắc hẳn rất các bạn sẽ thắc mắc về đối tượng nên và không nên trồng loại răng này.
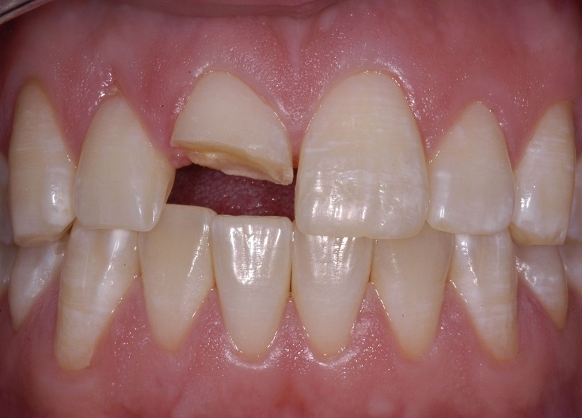
Đối tượng bọc răng sứ Cercon
Loại răng sứ này phù hợp với các đối tượng có mong muốn làm răng thẩm mỹ, khắc phục các khuyết điểm như:

Người bị mẻ răng nên thực hiện bọc răng sứ cercon
- Răng bị sứt, mẻ, vỡ, mọc lệch lạc, răng khấp khểnh hay hô, răng bị xỉn màu.
- Khách hàng đã từng điều trị sâu răng, điều trị tủy bị vỡ mảng lớn và muốn được phục hình răng.
- Hàm răng bị xấu, muốn được phục hình thẩm mỹ để răng đều và đẹp hơn.
Đối tượng không nên trồng răng sứ cercon
- Khớp cắn sai lệch ở một mức độ nghiêm trọng.
- Bị hô hay móm bởi vì cấu trúc xương hàm.
- Răng bị sâu nghiêm trọng, chân răng yếu.
- Răng nhạy cảm.
- Răng bị vỡ hơn 2/3 răng, chỉ còn lại phầnchân răng.
- Người có những các bệnh lý toàn thân.
- Trẻ em dưới 17 tuổi (vì việc mài răng tác động lớn đến buồng tuỷ và ảnh hưởng đến sức khỏe răng miệng của trẻ).
Ưu điểm bọc răng sứ cercon
Có tính thẩm mỹ cao

Răng sứ cercon mang lại độ thẩm mỹ răng miệng cao
Nếu như ở những dòng răng sứ có khung sườn làm từ kim loại, khi có ánh sáng chiếu qua sẽ xuất hiện ánh đen bên trong. Tuy nhiên, với trồng răng sứ cercon thì nhược điểm đó đã hoàn toàn được khắc phục bởi vì độ thấu quang giống như ngà răng thật và khó phân biệt được bởi mắt thường.
Độ bền cao
Theo như nghiên cứu, chỉ số chịu lực tác động của răng sứ Cercon ở mức 900Mpa (trong khi răng thật chỉ nằm ở mức 200Mpa). Chính vì vậy, khách hàng có thể hoàn toàn an tâm hoạt động ăn nhai sẽ diễn ra bình thường với loại răng sứ này mà không xuất hiện hiện tượng sứt mẻ răng. Bên cạnh đó, ưu điểm bọc răng sứ Cercon là có tuổi thọ khoảng 10 năm hoặc có thể sẽ còn lâu hơn nữa tùy thuộc vào mỗi người, thậm chí là kéo dài vĩnh viễn nếu khách hàng chăm sóc răng hợp lý và đúng cách.
Những ưu điểm khác
- Răng sứ cercon lành tính, không khiến cho các mô trong khoang miệng bị dị ứng.
- Độ trắng sáng của răng sứ cercon tự nhiên giống như răng thật.
- Thời gian thực hiện trồng răng sứ cercon diễn ra nhanh chóng, chỉ khoảng 2 lần khám là có thể hoàn tất các quy trình.
- Đề kháng tốt với các mảng bám trên răng, giúp cho bề mặt răng luôn được bóng và sạch sẽ.
Quy trình bọc răng sứ cercon
Thăm khám

Thăm khám tại nha khoa trước khi bọc răng sứ
Bác sĩ sẽ trực tiếp thăm khám tình trạng răng miệng của khách hàng để kiểm tra khách hàng có thuộc các đối tượng không nên trồng răng sứ không. Đồng thời, xem xét các bệnh lý răng miệng để sớm chữa trị trước khi tiến hành.
Khách hàng được tư vấn kỹ về những loại răng sứ, trong đó gồm có răng sứ Cercon để khách hàng có lựa chọn phù hợp nhất cho mình.
Vệ sinh răng miệng
Để việc trồng răng sứ cercon được diễn ra thuận lợi, bác sĩ sẽ tiến hành vệ sinh răng miệng một cách kỹ lưỡng, đảm bảo yếu tố tiệt khuẩn tốt nhất có thể. Bên cạnh đó, khách hàng sẽ được thiết kế đường cười đúng với tỉ lệ chuẩn của gương mặt.
Thiết kế cùi răng
Cùi răng thật được thiết kế nhằm giảm kích thước răng thật và tạo ra hình dạng phù hợp cho mão sứ trượt xuống.
Tỷ lệ mài răng sẽ được áp dụng sao cho chuẩn với các mặt của răng khác. Thêm vào đó, bác sĩ sẽ chú trọng hơn vào các yếu tố như đường hoàn tất phục hình, bờ cong, góc nghiêng… nhằm giúp cho kết quả mài răng được thực hiện tốt nhất.
Thiết kế răng sứ
Dấu hàm của khách hàng đã lấy sẽ được gửi về Labo để thiết kế mão răng sứ. Trong quá trình đợi chờ răng về, khách hàng sẽ được bác sĩ gắn răng nhựa tạm thời nhằm tránh bị ảnh hưởng đến chức năng ăn nhai cũng như thẩm mỹ.
Gắn cố định răng sứ
Sau khi lắp răng sứ, bác sĩ tiến hành kiểm tra khớp cắn đã phù hợp, răng đã ôm khít vào viền chân răng chưa….
Sau khi kiểm tra và không thấy dấu hiệu bất thường, bác sĩ sẽ tiến hành cố định răng sứ bằng xi măng nha khoa và keo chuyên dụng, qua đó quá trình bọc răng sứ được hoàn tất.
Bài viết trên đã giúp các bạn trả lời câu hỏi răng sứ Cercon là gì và cung cấp đầy đủ những thông tin hữu ích về loại răng này. Nếu có bất kỳ thắc mắc gì, hãy đến Trung tâm Nha khoa Nhân Tâm để được bác sĩ tư vấn nhé.



