Răng mọc lệch vào trong là tình trạng các răng không mọc mọc thẳng bình thường mà bị cụp vào phía trong, không có sự cân bằng khớp cắn để tạo ra một vòng cung vừa vặn. Điều này sẽ gây ảnh hưởng trực tiếp tới khả năng ăn nhai, sức khỏe cơ thể và làm mất thẩm mỹ gương mặt. Để khắc phục tình trạng này, bạn nên tới nha khoa thăm khám và nhận tư vấn của bác sĩ về phương pháp điều trị phù hợp. Những biện pháp thường được áp dụng hiện nay là niềng răng hoặc bọc sứ.
Những ảnh hưởng của tình trạng răng mọc lệch vào trong
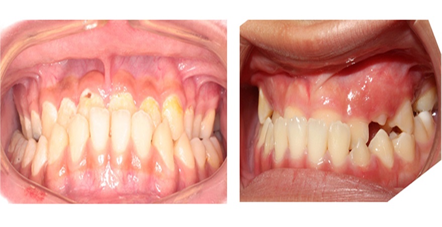
Răng mọc lệch vào trong là tình trạng các răng không mọc mọc thẳng bình thường mà bị cụp vào phía trong, không có sự cân bằng khớp cắn để tạo ra một vòng cung vừa vặn. Hiện tượng sai lệch này còn được gọi là răng quặp hoặc răng móm.

Tình trạng răng mọc lệch vào trong
Răng mọc lệch, không đúng hướng gây ra rất nhiều ảnh hưởng tới cuộc sống, sinh hoạt hàng ngày, cụ thể:
- Tác động xấu tới sức khỏe răng miệng: Việc vệ sinh răng sẽ trở nên khó khăn hơn nếu răng lệch lạc, khấp khểnh. Bàn chải thông thường rát khó tiếp cận và làm sạch thức ăn thừa, mảng bám. Điều này sẽ làm phát sinh và tăng nguy cơ tiến triển nặng các bệnh lý răng miệng.
- Ảnh hưởng tới sức khỏe tổng thể: Khả năng ăn nhai của người có răng mọc lệch vào trong thường kém hơn bình thường. Sở dĩ có tình trạng này là do khớp cắn giữa hai hàm không cân đối. Khả năng ăn nhai tác động trực tiếp tới hệ tiêu hóa nên sẽ gây ra những ảnh hưởng tiêu cực đến sức khỏe của bạn, đặc biệt nguy cơ đau dạ dày, rối loạn tiêu hóa sẽ tăng lên.
- Ảnh hưởng đến tâm lý: Không ít người cảm thấy tự ti, mặc cảm khi giao tiếp với người xung quanh do hàm răng kém thẩm mỹ. Lâu dần, họ trở nên khép kín, ngại thể hiện bản thân do sợ ánh nhìn của mọi người.

Răng mọc lệch vào trong gây mất thẩm mỹ và tâm lý tự ti
Biện pháp khắc phục răng mọc lệch vào trong
Như đã nêu ở trên, tình trạng răng mọc lệch vào trong không những làm mất thẩm mỹ mà còn gây ảnh hưởng tới sức khỏe của bạn. Vấn đề này đã trở thành nỗi lo đối với một số người. Dưới đây là các biện pháp giúp bạn “tạm biệt” hàm răng quặp, không cân đối, lấy lại vẻ đẹp và sự tự tin.
Niềng răng
Niềng răng là kỹ thuật chỉnh nha đã trở nên vô cùng quen thuộc. Các loại khi cụ chỉnh nha đa dạng giúp nắn kéo và di chuyển răng về đúng vị trí của nó. Bạn có thể lựa chọn mắc cài kim loại truyền thống, mắc cài sứ, mắc cài tự khóa hoặc mắc cài mặt trong, niềng răng trong suốt để tính thẩm mỹ vẫn được đảm bảo tối đa trong thời gian đeo niềng.

Niềng răng trong suốt đảm bảo thẩm mỹ tối ưu
Một quy trình niềng sẽ kéo dài từ 18 đến 24 tháng tùy vào mức độ sai lệch, tình trạng răng mỗi người. Trong thời gian điều trị, bạn cũng cần tuân thủ các hướng dẫn của bác sĩ về chăm sóc, vệ sinh, ăn uống và tái khám định kỳ. Chính vì những điều này mà một số người e ngại niềng răng, tuy nhiên với kết quả đạt được, bạn sẽ thấy công sức bỏ ra là hoàn toàn xứng đáng.
Bọc răng sứ
Đây là phương pháp chỉnh răng mọc lệch vào trong không cần niềng, mang lại hiệu quả cao trong thời gian ngắn, là sự lựa chọn của rất nhiều khách hàng.
Tuy nhiên, kỹ thuật này chỉ phù hợp với những người răng sai leecchj mức độ nhẹ. Với quy trình nhanh gọn chỉ sau 3 đến 4 lần thăm khám tại nha khoa, bạn đã có thể sở hữu một hàm răng cân đối, đều đặn và trắng sáng.
Biện pháp phòng tránh răng mọc lệch vào trong
Phòng tránh răng mọc quặp, móm tương đối khó vì đa số các trường hợp đều do di truyền. Mặc dù vậy, cha mẹ nên dành thời gian cho con và lưu ý đến những thói quen của bé, giới hạn việc bú bình hoặc ngậm núm vú giả để giảm thiểu các thay đổi bất thường trong quá trình phát triển của hàm răng.

Giới hạn việc bú bình để hạn chế sự sai lệch trong quá trình phát triển răng miệng
Phát hiện và can thiệp sớm sẽ giúp giảm độ nghiêm trọng và thời gian điều trị. Các bậc phụ huynh nên đưa con đi khám răng định kỳ tại nha khoa để theo dõi và đảm bảo sự phát triển bình thường của răng miệng.
Trên đây là các thông tin liên quan đến tình trạng răng mọc lệch vào trong mà Nha khoa Nhân Tâm muốn chia sẻ đến bạn. Để được tư vấn cụ thể, chính xác và miễn phí về tình trạng răng, phương án điều trị phù hợp, bạn hãy ghé qua Nha khoa Nhân Tâm ngay hôm nay nhé.


