Lệch khớp cắn là tình trạng các răng không ăn khớp với nhau khi cắn chặt lại và ảnh hưởng đến việc cắn, nghiền thức ăn. Khớp cắn bị lệch thường xảy ra khi răng mọc chen chúc, răng chìa quá hoặc răng cụp vào trong quá mức. Tình trạng này thường được điều trị bằng chỉnh nha hay còn gọi là niềng răng. Một số trường hợp lệch nghiêm trọng hơn có thể cần phẫu thuật.
Các trường hợp lệch khớp cắn thường gặp
Nguyên nhân của lệch khớp cắn đa số là do di truyền hoặc do các thói quen xấu lúc nhỏ như mút tay, ngậm ti giả, đẩy lưỡi hay do mất răng sữa từ sớm, do tai nạn…
Các dạng sai lệch khớp cắn thường gặp gồm:
- Khớp cắn ngược: Tình trạng xương hàm dưới phát triển quá dài, đưa ra trước quá mức trong khi xương hàm trên lại quá ngắn và cụp vào trong. Khớp cắn ngược khiến khuôn mặt bị mất cân đối, tác động xấu đến cử động của hàm.
- Khớp cắn sâu: Là tình trạng hàm trên che phủ hàm dưới, nhìn vào sẽ khó thấy hoặc không thấy hàm dưới.
- Khớp cắn chéo: Không biểu hiện rõ trên khuôn mặt mà chỉ lộ ra khi cười. Khớp cắn chéo khiến các răng bị xô lệch, mọc lệch lạc không theo trật tự, không rõ hô hay móm.
- Khớp cắn hở: Đây là một trong những sai lệch gây ảnh hưởng lớn đến thẩm mỹ và chức năng của cả hàm răng. Do răng cửa bị hở nên có thể nhìn thấy lưỡi ngay cả khi khép răng ở trạng thái nghỉ ngơi bình thường. Răng cửa ở hàm trên và răng cửa ở hàm dưới không thể chạm được nhau.

Khớp cắn hở
Sai lệch khớp cắn gây tác hại như thế nào?
Gây mất cân đối cho khuôn mặt, ảnh hưởng đến tính thẩm mỹ, dẫn đến tâm lý lo lắng, tự ti cho khách hàng, cản trở giao tiếp hằng ngày.
Làm giảm khả năng nhai, cắn xé thức ăn và gây khó khăn cho quá trình ăn uống. Điều này khiến cơ hàm phải hoạt động quá mức, gây co thắt cơ, từ đó dẫn đến rối loạn năng khớp thái dương. Do đó, sức khỏe có thể sẽ giảm sút với những cơn đau ở vùng khớp thái dương hàm.
Khó phát âm, phát âm không chuẩn gây cản trở trong quá trình giao tiếp.
Làm tăng nguy cơ mắc các bệnh lý răng miệng do việc vệ sinh khó khăn, tạo môi trường phát triển cho vi khuẩn nên dễ bị nha chu, sâu răng, viêm nướu…
Xem thêm: Niềng răng sứ là gì? Ưu nhược điểm ra sao? Chi phí thế nào?
Cách điều trị lệch khớp cắn là gì?
Việc điều trị vấn đề lệch khớp cắn cho răng còn tùy thuộc vào tình trạng từng khách hàng cụ thể, cần có sự thăm khám trực tiếp và đánh giá của bác sĩ chuyên khoa. Dưới đây là những phương pháp điều trị lệch khớp cắn mà bạn có thể tham khảo:
- Niềng răng thẩm mỹ: Niềng răng là một trong những biện pháp chỉnh răng và chỉnh khớp cắn hiệu quả. Niềng răng mắc cài là phương pháp chỉnh nha sử dụng lực tác động của các khí cụ niềng răng như mắc cài để đưa răng về vị trí mong muốn. Đây là một trong những phương pháp được nha sĩ khuyên dùng nhất hiện nay vì tính hiệu quả và an toàn của nó.
- Phẫu thuật hàm: Trong trường hợp sai lệch khớp cắn không phải do răng mà do xương hàm thì phẫu thuật là phương pháp đem lại hiệu quả cao nhất. Với phương pháp này, khách hàng sẽ được cắt bớt một phần xương hàm hoặc nối thêm xương tùy từng dạng khiếm khuyết. Hiện nay, đây chính là phương pháp triệt để nhất đối với những trường hợp sai khớp cắn do xương.
- Bọc răng sứ thẩm mỹ: Bọc sứ chỉ đem lại hiệu quả với những trường hợp sai lệch khớp cắn nhẹ, không phải do xương hàm và khách hàng muốn trị liệu nhanh.

Phương pháp điều trị khớp cắn ngược nào sẽ phù hợp với bạn?
Điều trị lệch khớp cắn ở đâu thì tốt?
Hiện nay Nha khoa Nhân Tâm đang triển khai Gói Chỉnh nha mắc cài kim loại thế hệ mới, là lựa chọn tối ưu để điều trị lệch khớp cắn khách hàng nên lựa chọn.
- Nha khoa tốt nhất Sài Gòn với đội ngũ bác sĩ trên 20 năm kinh nghiệm trực tiếp thăm khám và điều trị.
- Ứng dụng công nghệ điều trị hiện đại với Phần mềm chỉnh nha Vceph 3D, Hệ thống chẩn đoán hình ảnh CT Cone Beam 3D, Máy lấy dấu mẫu răng kỹ thuật số 3shape, Hệ thống CAD/CAM thiết kế răng sứ tự động, Phần mềm thiết kế nụ cười Smile Design Pro, Máy phẫu thuật sóng siêu âm Piezotome,…rút ngắn tối đa thời gian điều trị.

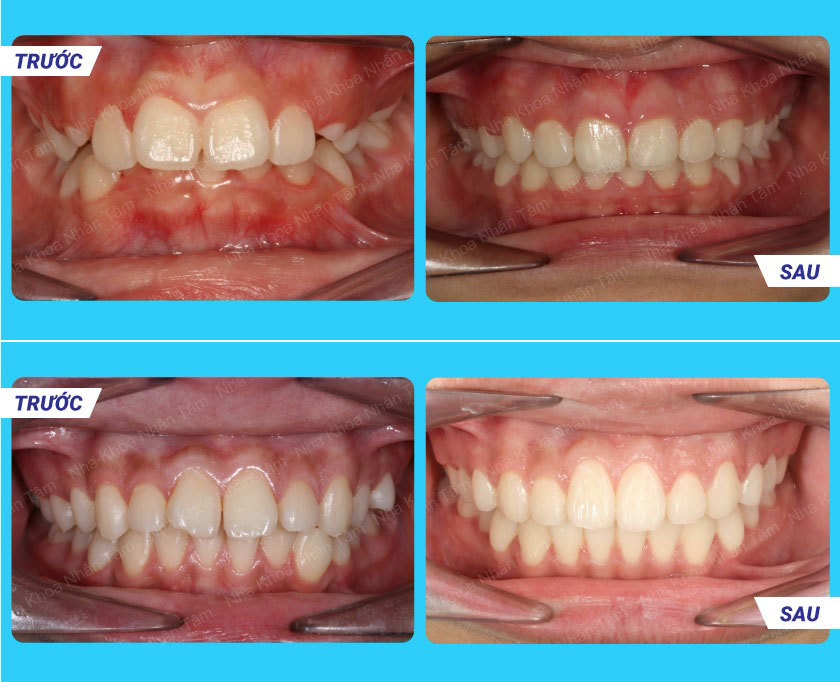
Khách hàng niềng răng thành công tại Nha khoa Nhân Tâm
- Hệ thống vô trùng nha khoa hiện đại. Mỗi khách hàng được trang bị một ghế nha khoa riêng, một bộ dụng cụ riêng, loại bỏ hoàn toàn lây nhiễm chéo
- Dịch vụ chăm sóc tận tâm, giúp bạn hài lòng tuyệt đối trong suốt thời gian điều trị.




