Phục hình răng sậm màu bằng mặt dán sứ veneer
Sự phát triển của nha khoa hiện đại đã cho ra nhiều phương pháp để cải thiện tình trạng răng sậm màu. Một số trường hợp răng sậm màu nhẹ do hút thuốc lá, uống cà phê…, các bác sĩ thường khuyên sử dụng biện pháp tẩy trắng răng để khắc phục. Tuy nhiên, những người răng nhiễm màu nặng đều cần phục hồi răng sứ mới có thể đảm bảo tuyệt đối vấn đề thẩm mỹ.
Ngày nay, loại hình mặt dán sứ Veneer trở nên phổ biến. Phương pháp này được lựa chọn nhiều ở trên thế giới, ở Việt Nam những năm gần đây cũng đã trở nên phổ biến vì những ưu điểm vượt trội của nó.

Mặt dán sứ veneer là giải pháp phục hình thẩm mỹ cho răng được nhiều người ưa chuộng
Veneer là lớp sứ mỏng được dán lên mặt ngoài của răng bằng một loại keo dán chuyên biệt. Phương pháp này được đánh giá rất cao, vì không gây tổn thương răng và bảo tồn răng thật tối đa.
Lựa chọn địa chỉ uy tín để phục hình răng sậm màu bằng mặt dán sứ veneer
Bản chất của Veneer là một lớp sứ mỏng, vì vậy vấn đề màu sắc và sự hài hòa với màu sắc răng bên trong cũng như các răng kế cận đòi hỏi phải tự nhiên. Muốn đạt được yêu cầu thẩm mỹ cao, bác sĩ điều trị phải là người có kinh nghiệm lâu năm, có cảm quan thẩm mỹ tốt mới có thể thực hiện được.

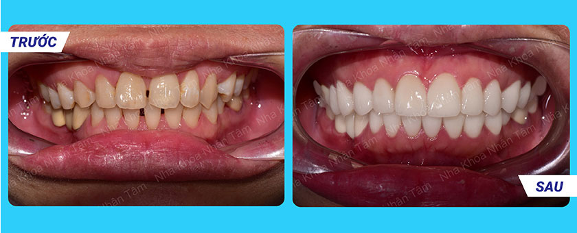
Phục hình răng nhiễm tetra bằng veneer
Hiện nay, các trung tâm nha khoa tốt ở Sài Gòn hay trên cả nước mọc lên rất nhiều với hàng loạt các chính sách khuyến mãi, “chiêu đãi” giảm giá hết sức hấp dẫn để lôi kéo khách hàng.
Tuy nhiên, chất lượng cơ sở vật chất, trang thiết bị phòng khám và đặc biệt là bác sĩ điều trị có thể không đảm bảo yêu cầu. Các bệnh nhân có vấn đề về răng miệng hãy luôn tỉnh táo, lựa chọn những nha khoa uy tín, có tên tuổi để tránh hậu quả khôn lường.
Xem thêm: Chăm sóc răng miệng sau khi bọc sứ thế nào cho hiệu quả
Tại nha khoa Nhân Tâm, Tiến sĩ, Bác sĩ Võ Văn Nhân cùng với đội ngũ bác sĩ, cộng sự hơn 25 năm kinh nghiệm trong lĩnh vực nha khoa thẩm mỹ đã kiến tạo hàng triệu nụ cười cho người Việt.
Với kinh nghiệm lâu năm, cùng trang thiết bị tân tiến như các phần mềm chỉnh nha chuyên dụng giúp cho việc chẩn đoán toàn diện tình trạng răng miệng chính xác nhất.

Kết quả và phương pháp có thể thay đổi tùy theo thể trạng mỗi người
Toàn bộ quá trình lên kế hoạch, thăm khám và điều trị đều được chuẩn hóa trên máy tính, vì thế bệnh nhân hết sức an tâm khi lựa chọn thăm khám và điều trị tại nha khoa Nhân Tâm.
Nha khoa Nhân Tâm luôn sẵn sàng tư vấn miễn phí cho bạn về dịch vụ răng sứ cũng như tất cả dịch vụ nha khoa khác. Hãy liên hệ với chúng tôi để được giải đáp những thắc mắc, băn khoăn về bất cứ vấn đề nào liên quan đến sức khỏe răng miệng bạn nhé.
HÌNH ẢNH KHÁCH HÀNG DÁN SỨ VENEER TẠI NHA KHOA NHÂN TÂM


Mặt dán sứ điều trị các khiếm khuyết của răng



