Niềng răng trong suốt Invisalign là công nghệ niềng răng tiên tiến nhất hiện nay. Bác sĩ sẽ sử dụng các khay trong suốt để điều chỉnh và sắp xếp răng về vị trí mong muốn trên cung hàm. Phương pháp này không sử dụng mắc cài và dây cung như phương pháp niềng răng truyền thống.
Nhờ đó, khách hàng sẽ không cần lo lắng về việc bị bung mắc cài, thức ăn vướng lại, vệ sinh răng miệng khó khăn… Với khay niềng trong suốt, mọi vấn đề trên đều được khắc phục một cách hiệu quả.
Đặc trưng của niềng răng trong suốt Invisalign
So với các phương pháp chỉnh nha truyền thống, niềng răng trong suốt Invisalign có các công dụng nổi bật với:
- Khay niềng vô hình, trong suốt giúp bạn tự tin hơn trong quá trình giao tiếp.
- Bạn có thể tháo rời khay niềng dễ dàng nên quá trình ăn uống và vệ sinh răng miệng cũng được thực hiện đơn giản hơn.
- Phần mềm Clincheck độc quyền của Invisalign giúp lập kế hoạch điều trị và mô phỏng 3D một cách chính xác, phù hợp với nhu cầu của từng khách hàng.
- Khay niềng Invisalign được chế tạo bằng chất liệu SmartTrack có độ đàn hồi cao giúp răng dịch chuyển tốt hơn và tạo lực kéo hiệu quả hơn.
- Với mỗi khay niềng trong suốt, răng sẽ di chuyển trung bình khoảng 0.25 mm và xoay 2 độ. Bạn sẽ được thay bộ khay niềng theo từng giai đoạn chỉ định và thực hiện đeo hoặc thay thế khay kế tiếp tại nhà và tái khám theo lịch của bác sĩ.
Niềng răng mắc cài trong suốt Invisalign có tốt không?
Niềng răng mắc cài trong suốt Invisalign được các chuyên gia đánh giá cao không chỉ vì tính tiện dụng mà còn nổi bật với nhiều ưu điểm như:
Tính thẩm mỹ cao
Với việc sử dụng các khay niềng trong suốt nên khi niềng răng sẽ làm cho người đối diện rất khó để nhận ra bạn đang chỉnh nha. Cũng nhờ ưu thế này mà hiện nay niềng răng Invisalign đang là phương pháp chỉnh nha có tính thẩm mỹ cao nhất. Qua đó, giúp khách hàng tự tin hơn trong quá trình giao tiếp.

Niềng răng trong suốt có tính thẩm mỹ cao
Độ an toàn cao
Khay niềng trong suốt Invisalign được chế tác từ chất liệu nhựa hiện đại và được kiểm định khắt khe. Do đó, đảm bảo về tính an toàn với sức khỏe người sử dụng. Bạn có thể thoải mái đeo khay niềng trong suốt mà không cần lo lắng sẽ có phản ứng phụ.
Kỹ thuật chế tác tiên tiến
Khác với các loại mắc cài còn lại, để chế tạo ra khay niềng trong suốt đòi hỏi phải có kỹ thuật hiện đại tiên tiến. Bác sĩ cần tiến hành chụp phim X-quang và lấy các thông tin về dấu hàm của khách hàng.
Tiếp đó, những thông tin này sẽ được gửi sang trung tâm Invisalign ở nước ngoài để đặt làm khay. Tại đây, các thông tin về mẫu hàm sẽ được quét và chuyển thành mẫu 3D trên máy tính. Từ đó, các khay niềng sẽ được sản xuất và chuyển về Việt Nam.
Khay niềng trong suốt dễ dàng tháo lắp
Đây là một trong những ưu điểm vượt bậc của niềng răng mắc cài trong suốt. Bạn có thể tháo lắp dễ dàng nên thuận tiện cho quá trình vệ sinh răng miệng. Đồng thời, cũng không lo lắng thức ăn bị giắt vào răng hoặc gây bung sứt mắc cài.
Quy trình niềng răng trong suốt invisalign
Để đảm bảo quá trình niềng răng diễn ra suôn sẻ, an toàn và đạt kết quả tối ưu, bạn cần theo sát quy trình điều trị tại nha khoa. Hãy cùng theo dõi các thông tin sau đây để nắm được các bước trong quy trình niềng răng trong suốt nhé.
Khám tổng quát răng miệng
Đầu tiên bác sĩ sẽ khám tổng quát để xác định tình răng, khớp cắn, từ đó tư vấn cho bạn phương pháp niềng phù hợp và giải đáp bạn có thích hợp với niềng răng invisalign hay không. Sau khi nhận được sự đồng ý của khách hàng về phương pháp niềng, bác sĩ sẽ lập kế hoạch điều trị cụ thể.
Lấy dấu hàm
Trong bước này, bác sĩ sẽ lấy dấu hàm răng của khách hàng và tạo hình ảnh 3 chiều trên máy tính thông qua phần mềm clincheck. Nhờ hình ảnh này mà bạn có thể thấy được sự di chuyển của răng qua từng giai đoạn và biết trước kết quả điều trị cuối cùng.

Biết trước kết quả niềng nhờ công nghệ kỹ thuật số hiện đại
Chế tác khay niềng
Các khay niềng sẽ được sản xuất tại trung tâm Invisalign ở Mỹ dựa trên thông tin hình ảnh 3 chiều sau đó vận chuyển về Việt Nam. Mỗi khách hàng sẽ có một bộ khay niềng riêng theo từng giai đoạn cho tới khi quá trình điều trị kết thúc.
Đeo khay niềng
Sau khi nhận được khay niềng, bác sĩ sẽ giúp khách hàng đeo khay và hướng dẫn cách tháo lắp tại nhà. Bạn cần đeo khay niềng ít nhất 22 giờ/ngày, mỗi khay đeo trong 2 tuần trước khi chuyển sang khay tiếp theo.
Tái khám định kỳ
Bạn cần tới nha khoa để kiểm tra định kì sau 4 đến 6 tuần để theo dõi, đánh giá hiệu quả dịch chuyển răng.
Trong suốt thời gian điều trị, bạn cần làm sạch răng, vệ sinh răng và tuân thủ hướng dẫn của bác sĩ để có được hiệu quả tối ưu nhất.
Kết thúc điều trị
Quy trình niềng sẽ kết thúc sau khoảng 18 đến 24 tháng tùy vào mức độ sai lệch răng của từng khách hàng. Lúc này, khách hàng cần đeo hàm duy trì và tinh chỉnh khớp cắn theo chỉ định của bác sĩ.

Đeo hàm duy trì sau niềng theo chỉ định của bác sĩ
Những đối tượng nào nên niềng răng invisalign?
Nhờ công nghệ hiện đại, niềng răng trong suốt có khả năng khắc phục nhiều khiếm khuyết của hàm răng. Nhiều trường hợp khó cũng có thể chữa trị hiệu quả bằng phương pháp này mà không gây đau nhức.
Nếu đang gặp phải các vấn đề sau đây, bạn hoàn toàn có thể lựa chọn niềng răng invisalign để lấy lại hàm răng đều đẹp và đảm bảo thẩm mỹ trong suốt quá trình niềng:
Răng hô
Là một dạng sai lệch khớp cắn rất thường gặp, trong đó răng hàm trên mọc chìa ra trước quá nhiều, làm gương mặt kém duyên và mất đi sự cân đối. Nếu nghiêm trọng sẽ cản trở hoạt động ăn uống của bạn. Do vậy, bạn nên khắc phục tình trạng này càng sớm càng tốt.
Răng móm
Niềng răng invisalign cũng là phương pháp được chỉ định cho những người có răng móm phức tạp. Đây là tình trạng hàm dưới phủ bên ngoài hàm trên, gây ảnh hưởng nghiêm trọng tới cả thẩm mỹ và chức năng ăn nhai. Nếu hiện tượng sai khớp cắn này do răng mọc bất thường thì khay niềng trong suốt sẽ giúp bạn nắn chỉnh hiệu quả.

Tình trạng răng móm gây mất thẩm mỹ nghiêm trọng
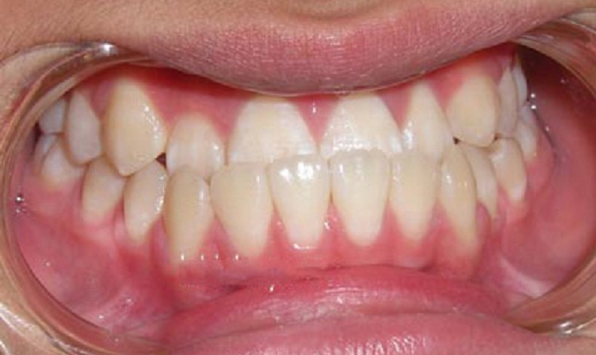
Răng khấp khểnh, lệch lạc
Răng mọc lệch, chen chúc nhau trên cung hàm làm sai lệch khớp cắn, mất thẩm mỹ hàm răng và cả gương mặt. Khiếm khuyết này cần được chữa trị sớm để ngăn chặn các bệnh lý như sâu răng, viêm nướu.
Răng thưa
Là tình trạng các răng trên cung hàm mọc không sát khít với nhau. Mức độ thưa nặng hay nhẹ sẽ được đánh giá vào độ lớn của khoảng trống giữa các răng.
Khi cười, khe hở giữa các răng sẽ gây mất thẩm mỹ, làm giảm tự tin trong giao tiếp. Lúc này, niềng răng invisalign là lựa chọn không nên bỏ qua để cải thiện tình trạng răng của bạn.
Niềng răng invisalign có đau không?

Niềng răng invisalign có đau không?
Cũng tương tự như các biện pháp chỉnh nha khác, niềng răng trong suốt sẽ gây cảm giác đau nhức trong thời gian mới đeo do sự tác động của lực nắn kéo lên răng. Khi chân răng dịch chuyển, các liên kết với xương hàm sẽ bị phá vỡ khiến người niềng răng khó chịu, đau nhức.
Do vậy, trong thời gian mới đeo niềng hoặc mỗi lần thay khay niềng mà bạn cảm thấy đau thì đây là biểu hiện cho thấy khay niềng đang hoạt động.
Tuy nhiên, cảm giác đau nhức này không quá nghiêm trọng và sẽ hết sau khi răng đã quen với lực tác động. Tuy nhiên, cũng có những người cơ địa tốt, ngưỡng chịu đau cao lại không cảm thấy đau nhức gì sau khi đeo niềng.
Vì sao chi phí niềng răng invisalign cao hơn những phương pháp khác?

Vì sao chi phí niềng răng invisalign cao hơn những phương pháp khác?
So với những phương pháp khác, chi phí niềng răng invisalign cao hơn đáng kể. Không chỉ bởi các ưu điểm nổi trội mà còn vì khay niềng trong suốt Invisalign được sản xuất độc quyền và duy nhất tại trung tâm ở Mỹ.
Bởi vậy, giá thành của khay niềng sẽ do trung tâm quy định và áp dụng trên toàn thế giới. Trong khi đó, Việt Nam là một nước đang phát triển cũng có chung mức giá với các nước phát triển, nên đây sẽ là mức giá khá cao đối với người Việt.
Cùng với đó, bạn còn phải trả thêm chi phí vận chuyển khay niềng từ Mỹ về Việt Nam, đây cũng là một yếu tố làm giá khay niềng Invisalign cao hơn các khí cụ được sản xuất trong nước như mắc cài sứ, kim loại.
Tuy nhiên, khoản tiền bạn đã đầu tư hoàn toàn không phí phạm bởi hiệu quả thu được là hàm răng chắc khỏe, đều đặn như mong muốn, tính thẩm mỹ được đảm bảo trong suốt thời gian đeo niềng và chất liệu nhựa an toàn tuyệt đối với sức khỏe.
Niềng răng trong suốt Invisalign tại Nha Khoa Nhân Tâm
Là một trong những địa chỉ nha khoa uy tín được cấp quyền sử dụng công nghệ Invisalign tại Việt Nam, Nha Khoa Nhân Tâm tự hào khi là sự lựa chọn hàng đầu của những khách hàng có nhu cầu niềng răng chỉnh nha.
Dịch vụ niềng răng Invisalign là một trong những ưu thế của chúng tôi nhờ đội ngũ Bác sĩ giỏi với hơn 25 năm kinh nghiệm trong lĩnh vực nha khoa, cùng với đó là kỹ thuật nha khoa hiện đại, thực hiện theo quy trình chuẩn hóa dưới sự hỗ trợ của máy móc tân tiến.

Đội ngũ bác sĩ với hơn 25 năm kinh nghiệm tại Nha khoa Nhân Tâm
Để được thăm khám trực tiếp và tư vấn chính xác về tình trạng răng cũng như đưa ra kế hoạch điều trị hiệu quả nhất, quý khách hàng vui lòng liên hệ với Nha Khoa Nhân Tâm theo hotline 0842 56 5678 để được hỗ trợ chi tiết nhất.
Luôn đặt uy tín, trách nhiệm và y đức nghề nghiệp lên hàng đầu, Nha Khoa Nhân Tâm cam kết mang lại cho quý khách hàng một hàm răng đều đẹp, chắc khỏe cùng nụ cười tự tin.





