Niềng răng là phương pháp chỉnh nha mang lại kết quả cao đối với trường hợp răng khớp cắn ngược, đặc biệt là được thực hiện sớm ở giai đoạn thiếu niên từ 12 - 16 tuổi khi răng vĩnh viễn đã mọc đầy đủ. Đây là phương pháp điều chỉnh răng nhờ lực tác động của mắc cài để đưa răng về vị trí mong muốn. Thời gian niềng răng sẽ tùy thuộc vào tình trạng khớp cắn ngược phức tạp ra sao nhưng thường dao động trong khoảng 12-24 tháng.
Có nên niềng răng khớp cắn ngược không?
Niềng răng được cho là phương pháp phù hợp hàng đầu để điều trị tình trạng răng bị khớp cắn ngược (răng móm). Phương pháp này không mài mòn răng, không gây tổn thương răng miệng và mang lại hiệu quả rõ rệt, duy trì trọn đời.

Răng bị khớp cắn ngược
Khớp cắn ngược do xương hàm
Khớp cắn ngược do răng là tình trạng xương hàm ở hàm dưới phát triển mạnh mẽ hơn mức bình thường hoặc do xương hàm ở hàm trên phát triển không tốt. Tình trạng này không nên niềng răng mà nên phẫu thuật để điều trị triệt để.
Phẫu thuật khớp cắn ngược do xương hàm là hoạt động cắt bớt xương và đưa xương về đúng vị trí chuẩn tỷ lệ khớp cắn giữa hai hàm. Phẫu thuật thực hiện thành công khi khớp cắn cân xứng và hài hoà với tổng thể gương mặt.
Xem thêm: Chế độ ăn uống khi niềng răng. Niềng răng không nên ăn gì?
Khớp cắn ngược do răng
Đây là tình trạng hai phần xương hàm đều nằm đúng vị trí nhưng răng ở hàm dưới lại phát triển quá nhiều so với cung hàm và hàm trên. Răng ở hàm dưới chìa ra ngoài trông rất kém thẩm mỹ.
Khớp cắn ngược do răng thì dễ khắc phục hơn so với móm do xương hàm. Bạn có thể chọn niềng răng - chỉnh nha hoặc mài răng bọc sứ để cải thiện tình trạng móm. Tuy nhiên, mài răng bọc răng sứ sẽ tiến hành xâm lấn, mài mòn cùi răng thật nên về lâu dài sẽ khiến sức khỏe răng miệng bị suy giảm.
Trong khi đó, niềng răng thì không gây tác động vào cấu trúc răng, các khí cụ niềng chỉ tác động lực kéo an toàn để dịch chuyển răng. Hiệu quả của bọc sứ chỉ kéo dài khoảng 5 đến 15 năm còn niềng răng thì có thể duy trì trọn đời. Do đó, với trường hợp móm do răng, chúng tôi khuyến khích bạn nên niềng răng.
Tình trạng khớp cắn ngược do cả răng lẫn xương
Khớp cắn ngược do cả răng lẫn xương là một trường hợp phức tạp. Nếu chỉ phẫu thuật hay chỉnh nha thì không thể khắc phục hoàn toàn. Đối với trường hợp này, bác sĩ sẽ kết hợp cả niềng răng và phẫu thuật để mang lại hiệu quả tốt nhất.
Đầu tiên, bác sĩ sẽ tiến hành phẫu thuật chỉnh hàm móm. Khi vết thương do phẫu thuật đã hồi phục, bạn sẽ tiếp tục thực hiện quy trình niềng răng. Bác sĩ sẽ phải thực hiện phẫu thuật chỉnh hàm móm trước, sau đó đợi vết thương hồi phục rồi mới tiếp tục niềng răng.

Răng bị khớp cắn ngược do cả răng lẫn xương thì cần kết hợp cả phẫu thuật chỉnh hàm móm và niềng răng chỉnh nha
Thời gian niềng răng khớp cắn ngược là bao lâu?
Không có một quy định cụ thể nào về thời gian niềng răng khớp cắn ngược. Bởi thời gian hoàn thành quy trình niềng răng còn phụ thuộc vào các yếu tố như phương pháp chỉnh nha, độ tuổi của khách hàng, tình trạng răng miệng,…Thông thường thì thời gian niềng trung bình mất khoảng 18 đến 24 tháng.
Độ tuổi của người niềng răng khớp cắn ngược ảnh hưởng rất nhiều đến thời gian niềng răng, cụ thể:
- Trẻ em 7 – 16 tuổi: Đây là thời điểm răng miệng của trẻ đang phát triển nên việc nắn chỉnh sẽ dễ hơn. Can thiệp nha khoa ở giai đoạn này sẽ giúp trẻ rút ngắn được thời gian niềng và đạt kết quả chỉnh nha tốt nhất.
- Người trưởng thành có cấu trúc xương hàm và cấu trúc răng đã cứng, chắc chắn nên sẽ khó nắn chỉnh. Vì vậy sẽ cần nhiều thời gian niềng hơn. Do đó, các nha sĩ thường đưa ra lời khuyên niềng răng càng sớm càng tốt.
Nha Khoa Nhân Tâm – Đơn vị niềng răng uy tín số 1 hiện nay
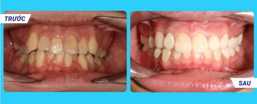
Nha khoa Nhân Tâm tự hào là đơn vị cung cấp dịch vụ niềng răng hàng đầu hiện nay. Với các trường hợp răng bị khớp cắn ngược, Nha khoa Nhân Tâm có phác đồ điều trị chính xác và phù hợp với từng đối tượng khách hàng. Qua đó, sau khi niềng, răng ở hàm dưới sẽ về đúng vị trí, ăn khớp với hàm trên, giúp cải thiện khả năng cắn xé thức ăn cùng tính thẩm mỹ của răng miệng.
Sử dụng dịch vụ niềng răng khớp cắn ngược tại Nha khoa Nhân Tâm, bạn hoàn toàn có thể yên tâm về tính bền lâu của hiệu quả. Không chỉ vậy, cùng khí cụ niềng cao cấp và bác sĩ nha khoa có tay nghề cao, chuyên môn sâu, niềng răng móm tại Nha khoa Nhân Tâm rất an toàn với răng miệng, hiệu quả rõ rệt chỉ sau một thời gian ngắn.


Niềng răng thành công tại Nha khoa Nhân Tâm
Để được tư vấn về dịch vụ niềng răng khớp cắn ngược, bạn vui lòng liên hệ Nha khoa Nhân Tâm để được hỗ trợ chi tiết nhé!




