Niềng răng hô là phương pháp chỉnh nha khắc phục khuyết điểm về răng miệng phổ biến nhất hiện nay. Niềng răng là phương pháp vật lý áp dụng lực kéo từ bộ khí cụ niềng bao gồm mắc cài, dây cung,.. hoặc khay niềng trong suốt. Khí cụ niềng sẽ được thiết kế và điều chỉnh để gắn lên răng nhằm căng kéo và dịch chuyển răng về vị trí chính xác.
Tình trạng răng hô là như thế nào?
Răng hô là là tình trạng răng hàm trên chìa ra ngoài bất thường, có hai mức độ răng hô là nhẹ và nặng. Trường hợp răng hô nhẹ thì thời gian niềng sẽ ngắn hơn và chi phí niềng cũng tiết kiệm hơn.
Răng hô nhẹ
Răng hô nhẹ là tình trạng răng ở hàm trên không mọc thẳng xuống mà chìa ra phía trước, vì mức độ nhẹ nên không gây ảnh hưởng nhiều tới thẩm mỹ và không quá rõ ràng. Bạn cần phải quan sát kĩ mới có thể phát hiện ra tình trạng hô nhẹ.
Nhìn từ chính diện thì bạn sẽ không thể nhận ra mình bị hô nhưng nếu nhìn từ góc nghiêng sẽ dễ dàng nhận biết hơn. Chính vì điều này mà nhiều người chủ quan không điều trị răng hô nhẹ từ sớm. Tuy nhiên, khi càng lớn tuổi thì tình trạng răng chìa ra sẽ càng nghiêm trọng hơn và chuyển sang tình trạng răng hô nặng.
Răng hô nặng
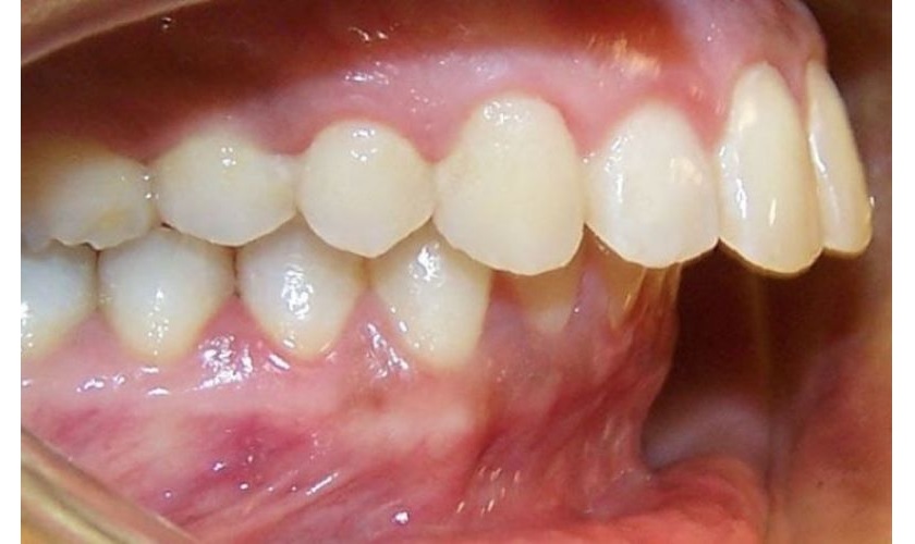
Răng hô nặng là tình trạng khớp cắn bị sai lệch một cách nghiêm trọng hoặc xương răng phát triển không bình thường. Dấu hiệu nhận biết là răng ở hàm trên nhô ra ngoài nhiều, có người còn không thể khép miệng hoàn toàn vì răng bị chìa ra nhiều.

Hình ảnh răng hô nặng khiến khách hàng không thể khép miệng hoàn toàn
Răng hô nặng được chia thành 3 loại chính: Hô do răng, hô do hàm và hô do cả răng và hàm. Mỗi loại răng hô sẽ có mỗi cách điều trị khác nhau, không phải loại nào cũng có thể áp dụng niềng răng. Tình trạng răng hô nặng cần được xử lý càng sớm càng tốt vì gây mất thẩm mỹ nghiêm trọng, ảnh hưởng tiêu cực đến tổng thể gương mặt. Không chỉ vậy, việc ăn nhai của khách hàng sẽ gặp nhiều khó khăn.
Xem thêm: Chi phí niềng răng hô bao nhiêu tiền?
Hô hàm có tiến hành niềng răng được không?
Hô hàm là do cấu trúc xương hàm có vấn đề thì việc niềng răng sẽ không thể khắc phục được tình trạng này. Bạn sẽ được chỉ định phẫu thuật hàm để bác sĩ điều chỉnh lại cấu trúc xương hàm về tỉ lệ chuẩn.
Ngoài ra, những trường hợp bị hô do cả hàm và răng thì sẽ cần cả niềng răng lẫn phẫu thuật hàm. Quy trình sẽ là niềng răng trước để các răng được sắp xếp về vị trí thích hợp.
Tiếp theo bác sĩ sẽ tiến hành phẫu thuật hàm cho khách hàng để khắc phục hoàn toàn tình trạng hô. Kết quả là bạn sẽ có một hàm răng thẳng, đều đặn cùng cung hàm tương xứng.
Độ tuổi nào thích hợp để niềng răng hô?
Độ tuổi của người niềng răng hô càng lớn thì thời gian phải đeo niềng càng lâu. Các chuyên gia chỉnh nha nhận định rằng kể từ khi 7 tuổi là chúng ta nên thăm khám tiền chỉnh nha để có hướng điều trị các vấn đề về răng từ sớm.
Ở giai đoạn từ 7 – 9 tuổi, khi trẻ đã có dấu hiệu lệch lạc răng và xương, việc chăm sóc tiền chỉnh nha có thể giúp cho xương hàm của trẻ phát triển một cách bình thường và trong tương lai sẽ ít cần can thiệp nha khoa hơn. Ở giai đoạn này, bác sĩ sẽ theo dõi hàm răng hỗn hợp của trẻ nhằm dự phòng và giải quyết sớm các sai lệch, tạo điều kiện để răng vĩnh viễn mọc tốt nhất.
Tiếp theo là giai đoạn từ 12 - 16 tuổi, giai đoạn này được xem là thời điểm vàng để niềng răng hô. Xương hàm bắt đầu phát triển vững chãi hơn nhưng chưa cố định nên rất thích hợp với việc can thiệp nha khoa. Do vậy mà thời gian đeo niềng sẽ được rút ngắn, người niềng cũng cảm thấy ít khó chịu hơn.

12-16 tuổi được cho là giai đoạn vàng để tiến hành niềng răng hô
Giai đoạn trưởng thành chúng ta vẫn có thể niềng răng hô và hiệu quả niềng vẫn có thể được như chúng ta mong muốn. Tuy nhiên, vì lúc này xương hàm và răng đã cố định nên việc niềng răng chỉnh nha sẽ phức tạp và tốn thời gian hơn. Do đó, để quá trình niềng răng được thuận lợi nhất thì bạn hãy niềng càng sớm càng tốt nhé!
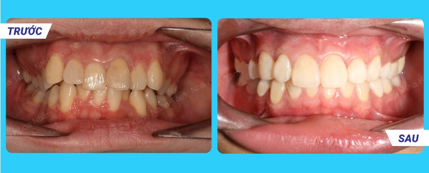
Niềng răng hô trước và sau tại Nha khoa Nhân Tâm
Nha khoa Nhân Tâm từng thực hiện thành công hàng ngàn ca niềng răng có độ phức tạp cao. Dưới đây là những trường hợp khách hàng thực tế từng niềng răng tại nha khoa Nhân Tâm và có hiệu quả niềng ấn tượng, bạn tham khảo nhé!


Niềng răng hô trước và sau tại Nha khoa Nhân Tâm
Trên đây là những chia sẻ về niềng răng hô trước và sau từ Nha khoa Nhân Tâm. Đừng để tình trạng răng hô khiến bạn mất tự tin và gây ảnh hưởng đến sức khỏe răng miệng của bạn. Liên hệ ngay với phòng khám nha khoa Quận 10 này thông qua tổng đài để được tư vấn chỉnh nha ngay từ sớm nhé!



