Bảng giá niềng răng – chỉnh nha tại Nha khoa Nhân Tâm
Niềng răng là phương pháp phục hình răng tương đối phức tạp và cần phân tích kỹ lưỡng tình trạng răng miệng lâm sàng của từng bệnh nhân để đưa ra phương pháp và thời gian dự kiến phù hợp. Niềng răng thành công có thể giúp bệnh nhân khôi phục chức năng ăn nhai và tính thẩm mỹ.
Trung bình, niềng răng mắc cài thường có giá từ 2-120 triệu đồng. Bảng giá niềng răng chi tiết tại Nha Khoa Nhân Tâm như sau:
Hiện nay, nhiều phòng khám nha khoa mọc lên, tuy nhiên để lựa chọn được địa chỉ niềng răng tin cậy giữa đội ngũ bác sĩ nha khoa tay nghề cao không phải là việc dễ dàng.
Bảng giá của các phòng khám nha khoa cũng khá khác nhau và phụ thuộc vào nhiều yếu tố như chất liệu, hình thức, mức độ uy tín, trình độ và kinh nghiệm của từng bác sĩ.
Bác sĩ điều trị - Tiêu chí hàng đầu để lựa chọn địa chỉ niềng răng
Việc tìm kiếm và lựa chọn phòng khám uy tín, có đội ngũ bác sĩ giàu kinh nghiệm trong lĩnh vực niềng răng là yếu tố quan trọng hàng đầu quyết định sự thành công của ca phục hình.
Vì khi đã niềng răng, bạn phải lường trước được những gì sẽ xảy ra sau khi đeo lâu dài. Nhiều trường hợp bệnh nhân phải thất vọng sau khi chỉnh nha từ 1,5 - 3 năm, không những không đạt được kết quả như mong đợi mà còn “tiền mất tật mang”.
Bác sĩ trực tiếp điều trị chỉnh nha tại Nha khoa Nhân Tâm là Bác sĩ Trần Thị Nga - Giám đốc chuyên môn của Nha khoa Nhân Tâm.
Là một bác sĩ, anh đã tốt nghiệp khóa học chỉnh nha cơ bản đầu tiên tại Viện Răng Hàm Mặt Trung ương năm 2010 và sau đó là khóa học chỉnh nha nâng cao năm 2016 tại đây.
Bác sĩ Trần Thị Nga cũng là thành viên của hiệp hội. Bác sĩ chỉnh nha Việt Nam, tham dự Hội nghị chuyên đề niềng răng quốc tế uy tín, tham dự các khóa đào tạo chỉnh nha do giảng viên Pháp giảng dạy.
Là người có kiến thức và kinh nghiệm lâu năm trong lĩnh vực niềng răng, bác sĩ Nga đã thực hiện thành công hàng nghìn ca chỉnh nha, kể cả những ca phức tạp nhất.

Bác sĩ Nga đang tư vấn niềng răng cho bệnh nhân
Lời khuyên tốt nhất cho những ai muốn niềng răng là đừng chỉ nhìn vào bảng giá.
Hiện nay, hàng loạt cơ sở nha khoa cạnh tranh nhau về giá, liên tục tung ra các chương trình khuyến mãi, giảm giá niềng răng cho bệnh nhân mà quên mất hiệu quả - yếu tố quan trọng hàng đầu trong quá trình niềng răng.
Nhiều bệnh nhân phải chịu đựng những cơn đau, thậm chí gặp nhiều biến chứng khôn lường sau khi niềng răng tại một nha khoa “rởm” một thời gian.
Đọc thêm: Hồ Chí Mình nên niềng răng ở đâu tốt nhất?
Trang thiết bị phòng khám ảnh hưởng như thế nào tới quá trình niềng răng
Ngoài việc bác sĩ tham dự là chuyên gia trong lĩnh vực niềng răng thì trang thiết bị của phòng khám cũng là yếu tố quan trọng giúp tìm ra nguyên nhân gây ra tình trạng răng lệch lạc.
Hệ thống máy chụp hình kỹ thuật số CT Cone Beam 3D thế hệ mới nhất giúp bác sĩ chẩn đoán chính xác, toàn diện tình trạng lâm sàng của bệnh nhân và đưa ra phương án điều trị hiệu quả nhất.

Máy chụp phim X-quang CT công nghệ 3D hiện đại đang được sử dụng tại Nha khoa Nhân Tâm
Tại Nha Khoa Nhân Tâm, máy chụp X-quang CT có thể khảo sát hình ảnh 3D cấu trúc xương kém, cùng kinh nghiệm của hàng nghìn ca chỉnh nha thành công, giúp bác sĩ phân tích, đánh giá chính xác và cung cấp cho bác sĩ. bệnh nhân.
Với sự hỗ trợ của hình ảnh 3D hiện đại chuẩn hóa dựa trên phần mềm Vceph 3D, bác sĩ sẽ xây dựng kế hoạch điều trị, phân tích quá trình di chuyển của răng, tình trạng tái phát và kết quả sau quá trình điều trị để đảm bảo kết quả tốt nhất. .
Với phương châm hoạt động "Lấy chữ Tâm làm đầu", Nha Khoa Nhân Tâm luôn đặt chất lượng và sự hài lòng của khách hàng lên hàng đầu. Nhờ đó, Nha Khoa đã nhận được những phản hồi tích cực và sự tin tưởng, yêu mến của khách hàng trong suốt nhiều năm qua.
Nếu bạn còn bất kỳ thắc mắc nào, vui lòng liên hệ với chúng tôi qua hotline 1900565678 hoặc truy cập fanpage của chúng tôi https://www.facebook.com/nhantamdental/.



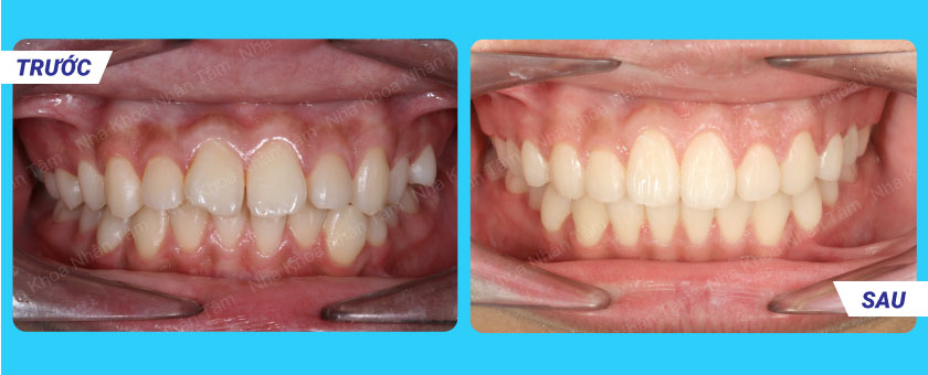
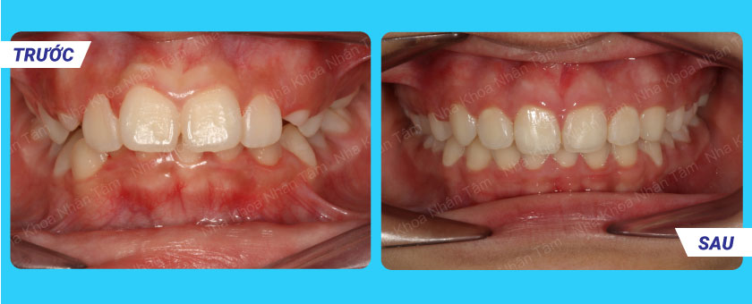
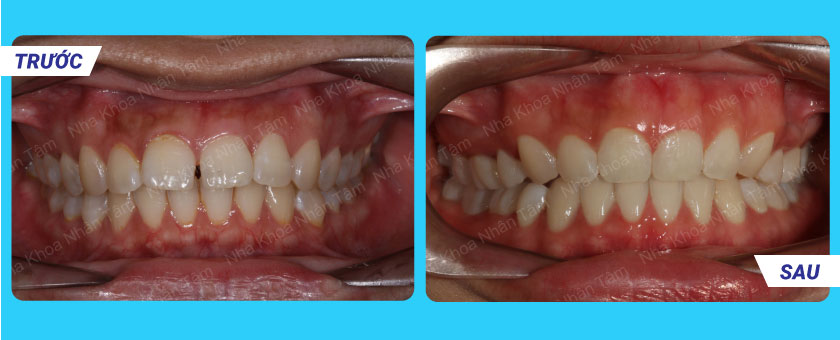
Kết quả điều trị niềng răng cho Khách hàng tại Nha khoa Nhân Tâm




