Sâu răng là bệnh lý phổ biến, thường được gây ra bởi các nguyên nhân như: vệ sinh răng miệng không đúng cách, ăn nhiều thực phẩm chứa đường & tinh bột, do các bệnh lý toàn thân như khô miệng, người mắc chứng trào ngược thực quản,…
Tùy vào mức độ sâu răng mà bác sĩ sẽ chỉ định phương pháp điều trị phù hợp.
Trường hợp sâu răng mới chớm thì bác sĩ sẽ tiến hành tái khoáng để bảo vệ răng thật; sâu răng gây viêm tủy thì phải loại bỏ mô tủy bị tổn thương, sau đó trám bít hoặc bọc sứ để bảo vệ phần răng thật còn lại.
Trường hợp sâu răng đã phá hủy hoàn toàn cấu trúc răng thì cần phải nhổ để không làm ảnh hưởng đến sức khỏe răng miệng.
Nha khoa Nhân Tâm là địa chỉ phục hồi và chăm sóc răng miệng uy tín hiện nay. Trực tiếp điều trị sâu răng là đội ngũ bác sĩ giỏi, giàu kinh nghiệm, cùng với đó là công nghệ hiện đại, quy trình điều trị chuẩn quốc tế, giúp điều trị triệt để răng sâu, loại bỏ tình trạng đau nhức, khó chịu, mang lại cho bạn hàm răng chắc khỏe.
Sâu răng là gì?
Sâu răng là một bệnh ở tổ chức cứng của răng, đặc điểm là tiêu dẫn các chất vô cơ và hữu cơ ở men và ngà răng làm thành lỗ sâu.
Sâu răng có thể được biểu hiện trên bề mặt hoặc chân răng, gây tổn thương sâu trên thân răng bắt đầu từ men răng, còn gây tổn thương dưới chân răng bắt đầu từ men răng hoặc ngà răng.

Các giai đoạn tiến triển của bệnh sâu răng
Nguyên nhân khiến sâu răng hình thành và phát triển
Ăn nhiều thực phẩm chứa đường, tinh bột
Trong các loại thức ăn đều có chứa một lượng đường nhất định, được chia làm 2 loại:
- Đường nội sinh có trong rau củ quả và Đường ngoại sinh có trong sữa, bánh kẹo ngọt,…
- Đường ngoại dinh có khả năng gây bệnh sâu răng rất cao, nếu dung nạp quá nhiều loại đường này và không vệ sinh răng miệng kỹ càng thì sẽ khiến răng bị hủy hoại.
Vệ sinh răng miệng không đúng cách
Vệ sinh răng miệng không đúng cách sẽ không thể làm sạch được các mảng bám còn dính vào răng sau các bữa ăn.
Từ đó tạo điều kiện cho vi khuẩn phát triển và xâm nhập vào men răng, gây sâu răng. Không chỉ vậy, việc đánh răng không đúng cách còn có thể gây tổn thương lợi, tạo điều kiện cho vi khuẩn gây bệnh viêm nướu.
Khô miệng
Khô miệng (do thiếu nước hoặc do các bệnh lý khác) sẽ tạo điều kiện thuận lợi cho các vi khuẩn, nấm… gây ra bệnh sâu răng.

Nguyên nhân gây nên tình trạng sâu răng
Kết cấu của răng không hoàn chỉnh
Răng nếu không có khiếm khuyết, mọc ngay hàng thẳng lối, men răng trắng bóng, mức khoáng hóa răng cao sẽ giúp chống lại các tác nhân gây sâu răng. Ngược lại, các yếu tố này không hoàn chỉnh thì nguy cơ sâu răng là rất lớn.
Do bệnh lý toàn thân
Những người mắc chứng trào ngược thực quản hoặc có phản xạ nôn thường có pH môi trường miệng rất thấp. Đây là những đối tượng có nguy cơ sâu răng rất cao.
Bên cạnh đó, Bệnh nhân bị chứng khô miệng xerostomia), xạ trị tuyến nước bọt, tiểu đường... cũng có tỷ lệ mắc bệnh sâu răng cao.
Quá trình sâu răng diễn ra như thế nào?
Giai đoạn 1
Bề mặt răng xuất hiện những đốm trắng mờ đục và màu răng hơi ngả sang ố vàng. Lúc này răng chưa có ảnh hưởng gì nên chúng ta thường không chú ý và rất khó để phát hiện sâu răng. Việc vệ sinh răng miệng đúng cách là rất cần thiết để hạn chế sâu răng lan rộng.

Sâu răng giai đoạn 1
Giai đoạn 2
Ở giai đoạn này, những đốm trắng dần bị các vi khuẩn gây sâu răng (có tên là Mutans Streptococci) sử dụng đường từ các thực phẩm mà chúng ta ăn hàng ngày và tạo ra các loại axit có tác động ăn mòn phần men răng, khiến cho vùng sâu chuyển sang màu đen.
Đây là lúc sâu răng đã tấn công vào men và ngà răng, gây nên cảm giác đau nhức nhẹ cho người bệnh, đồng thời răng có thể dễ bị kích thích khi ăn đồ nóng, lạnh, chua,…

Sâu răng giai đoạn 2
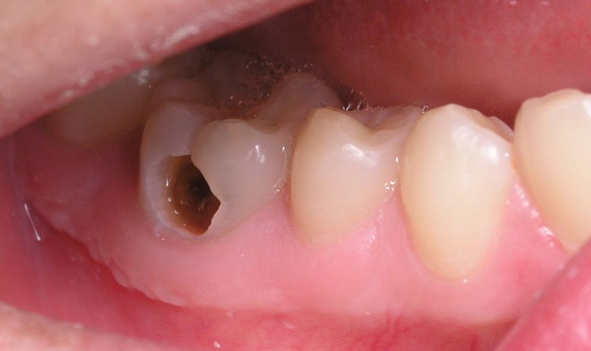
Giai đoạn 3
Lỗ sâu phát triển lớn hơn và dần chạm tới phần mềm của răng. Nếu không được chữa trị kịp thời, phần sâu sẽ tiến dần đến tủy răng và làm tủy tổn thương ở một mức độ nhất định, người bệnh sẽ cảm thấy đau nhức dữ dội, nhất là về đêm.

Sâu răng giai đoạn 3
Giai đoạn 4
Đây là giai đoạn răng bị sâu nghiêm trọng nhất. Nếu viêm tủy không được chữa trị thì sẽ sản sinh ra nhiều vi khuẩn gây bệnh, tủy răng sẽ chết và các vùng quanh chóp răng, xương hàm sẽ bị nhiễm trùng, gây sưng hoặc viêm xương hàm.

Sâu răng giai đoạn 4
Những biến chứng nguy hiểm của bệnh sâu răng
Răng suy yếu
Răng khi bị sâu sẽ trở nên yếu và nhạy cảm hơn bởi men răng đã bị hư hại. Ngoài ra, những người bị sâu răng còn gặp phải tình trạng ê buốt răng khi dùng các thực phẩm nóng lạnh, chua ngọt,…
Trí nhớ giảm sút
Răng sâu khiến cho một vùng của não bộ bị ảnh hưởng nghiêm trọng và động mạch não bị thu hẹp, từ đó hoạt động của não bộ bị ảnh hưởng, gây suy giảm trí nhớ.
Bệnh tiểu đường
Vi khuẩn sâu răng có khả năng kiểm soát lượng đường trong máu, cản trở quá trình đường chuyển hóa thành năng lượng cho hoạt động của cơ thể, lâu dài sẽ làm tăng nguy cơ mắc bệnh tiểu đường.
Bệnh tim mạch
Khi bị sâu răng, vi khuẩn sẽ đi qua vết sâu ở răng thông qua hệ thống tuần hoàn máu rồi đi vào tim, nhanh chóng gây hại mô mạch, tạo ra các cục máu động và có thể dẫn đến nhồi máu cơ tim.

Sâu răng gây ảnh hưởng đến sức khỏe cơ thể
Ảnh hưởng đến thai nhi
Trong quá trình thai nghén, phụ nữ thường tiêu thụ một lượng lớn thức ăn chứa đường và các chất ngọt. Do đó, nguy cơ mắc bệnh sâu răng khá cao nếu không được vệ sinh kỹ càng.
Lúc này, người mẹ sẽ dễ cảm thấy đau nhức, mệt mỏi bởi cơ thể tự động sản sinh ra chất protaglandin và một số chất khác khiến tỷ lệ sinh non cao hơn bình thường và kích thích chuyển dạ.
Gây bệnh ung thư
Những người mắc bệnh sâu răng có nguy cơ mắc bệnh ung thư vòm họng và ung thư khoang miệng cao gấp 62% so với người bình thường.
Nguyên nhân dẫn đến tình trạng này là do vi khuẩn từ chỗ sâu khiến cho tủy bị tổn thương và hoại tử, dễ bị nhiễm trùng. Dịch tủy bị nhiễm trùng chảy xuống vòm họng lâu dài sẽ gây ra bệnh ung thư.
Xem thêm: Nguyên nhân và cách phòng ngừa bệnh sâu răng
Cách điều trị bệnh sâu răng hiệu quả
Giai đoạn sâu răng mới chớm: Tiến hành tái khoáng để bảo vệ răng thật, ngăn ngừa vi khuẩn tấn công răng.
Sâu răng gây viêm tủy: Bắt buộc phải loại bỏ mô tủy bị tổn thương, làm sạch buồng tủy, trám bít buồng tủy sau đó thực hiện trám răng hoặc bọc sứ để Bảo vệ phần răng thật còn lại.
Sâu răng nghiêm trọng: Khi sâu răng đã phá hủy hoàn toàn cấu trúc răng, không còn mô răng để phục hồi thì bắt buộc phải nhổ răng để không ảnh hưởng đến sức khỏe răng miệng. Sau đó tiến hành trồng răng với công nghệ trồng răng implant để phục hồi thẩm mỹ và ăn nhai cho người điều trị.
Phòng bệnh sâu răng như thế nào?
Vệ sinh răng miệng đúng cách
Đánh răng kỹ lưỡng, tối thiểu 2 lần/ngày theo hướng dẫn của Bác sĩ nha khoa sẽ giúp phòng ngừa bệnh sâu răng hiệu quả.
Bạn nên chú ý lựa chọn những loại bàn chải đánh răng lông mềm và thay mới bàn chải định kỳ 3 tháng/lần. Ngoài ra, bạn nên chọn những loại kem đánh răng chứa nhiều flour, canxi nhằm giúp răng chắc khỏe.
Sau khi chải răng, bạn nên kết hợp súc miệng với nước súc miệng chuyên dụng và sử dụng chỉ nha khoa để làm sạch các kẽ răng, mọi ngóc ngách trong khoang miệng, triệt đường cho vi khuẩn phát triển.
Xây dựng chế độ ăn uống thích hợp
Hạn chế sử dụng các loại thực phẩm nhiều đường và tinh bột. Thay vào đó, bạn có thể sử dụng các chất ngọt thay thế đường, không mang tính gây sâu răng.
Bổ sung những thức ăn giàu canxi, vitamin D vào trong bữa ăn hàng ngày. Những loại thực phẩm này thường có trong sữa, phomat, cá, rau quả xanh,...
Không sử dụng các loại nước có nhiều ga, các chất kích thích như bia, rượu, cà phê, soda,… bởi các thực phẩm này chứa hàm lượng axit cao, ảnh hưởng tới men răng và tổn thương đến ngà răng.
Thăm khám sức khỏe răng miệng định kỳ
Việc thăm khám sức khỏe răng miệng định kỳ 6 tháng/lần sẽ giúp bạn phát hiện các bệnh lý về răng miệng sớm, từ đó có phương pháp điều trị kịp thời.
Nha khoa Nhân Tâm được biết đến là địa chỉ phục hình thẩm mỹ cho răng và điều trị các bệnh lý về răng miệng uy tín, hiệu quả. Tại đây, vấn đề sâu răng của bạn sẽ được điều trị triệt để, loại bỏ tình trạng đau nhức, khó chịu và tạo cảm giác thoải mái khi ăn uống.
- Trực tiếp điều trị sâu răng cho bệnh nhân là đội ngũ Bác sĩ giỏi, giàu kinh nghiệm. Các Bác sĩ sẽ giúp bạn loại bỏ những khiếm khuyết của răng một cách nhanh chóng, đem lại sự thoải mái cho bệnh nhân.
- Vô trùng, vô khuẩn tuyệt đối. Mỗi khách hàng khi điều trị sâu răng tại nha khoa đều được trang bị một bộ tay khoan riêng, một bộ dụng cụ riêng nhằm loại bỏ lây nhiễm chéo.
- Trang bị hệ thống máy móc hiện đại, hỗ trợ đắc lực cho quá trình điều trị sâu răng: Máy chụp X-quang CT Cone Beam 3D, công nghệ nhổ răng khôn không đau Piezotome, công nghệ chế tạo răng sứ CAD/CAM,...
- Quy trình điều trị sâu răng chuyên nghiệp với các bước cụ thể và khoa học, đáp ứng yêu cầu của Bộ Y Tế và các quy định của cơ quan y tế, đảm bảo thời gian điều trị nhanh chóng, an toàn và không đau.
Hy vọng những thông tin trên đây đã giúp bạn biết rõ hơn về bệnh sâu răng. Nếu còn bất kỳ thắc mắc nào cần được giải đáp, hãy liên hệ ngay đến Nha khoa Nhân Tâm để được các chuyên gia tư vấn chi tiết và hoàn toàn miễn phí.




