Niềng răng là phương pháp chỉnh nha trong thời gian dài, thông thường từ 18 – 24 tháng đối với những trường hợp nhẹ, nếu phức tạp thì cần tới 36 tháng. Vì vậy, để đạt hiệu quả chỉnh nha cao nhất, an toàn và nhanh chóng bạn cần lưu ý khi niềng răng các vấn đề dưới đây.
Chăm sóc răng miệng đúng cách khi chỉnh nha
Dù bạn thực hiện chỉnh nha theo phương pháp niềng răng mắc cài hay niềng răng trong suốt thì cũng cần vệ sinh răng miệng đúng cách để loại bỏ thức ăn vụn bám trên răng và đặc biệt là ở kẽ răng. Điều này sẽ giúp hạn chế hình thành mảng bám trên răng và mắc cài, tránh tạo môi trường thuận lợi cho vi khuẩn phát triển. Nhờ đó, răng miệng sẽ luôn được bảo vệ, không bị sâu răng hay các bệnh lý khác.
Trong quá trình chỉnh nha bạn cần chú ý chăm sóc răng miệng kỹ càng, chải răng tối thiểu 3 lần/ngày sau các bữa ăn và trước khi đi ngủ. Sử dụng bàn chải chuyên dụng để làm sạch các mặt của răng. Trong trường hợp bạn niềng răng mắc cài, hãy chải nhẹ nhàng và cẩn thận để tránh làm bung tuột mắc cài. Đồng thời, bạn nên kết hợp nước súc miệng và chỉ nha khoa để vệ sinh răng miệng sạch sẽ.
Chế độ ăn uống cần lưu ý khi niềng răng

Người niềng răng nên lưu ý về chế độ ăn uống hàng ngày
Niềng răng nên ăn gì và kiêng ăn gì là điều bạn cần đặc biệt lưu ý khi niềng răng để tránh sụt cân, hóp má. Hãy tuân thủ theo chế độ ăn uống mà bác sĩ chỉ định, bổ sung đầy đủ các chất dinh dưỡng trong suốt quá trình niềng răng. Đồng thời sử dụng các thực phẩm mềm, dễ nhai và ăn những miếng nhỏ vừa miệng khi răng vẫn còn đau nhức.
Khi đã ăn uống bình thường bạn nên hạn chế những thực phẩm quá cứng, quá dai để tránh bung tuột mắc cài. Ngoài ra, bạn nên tránh các loại thực phẩm như kẹo cao su, đồ ăn có nhiều đường để hạn chế các bệnh lý về răng miệng.
Tái khám định kỳ
Bác sĩ sẽ là người lên lịch khám răng cho bạn trong suốt quá trình chỉnh nha, việc bạn cần làm là tái khám đúng lịch hẹn để bác sĩ theo dõi và có những điều chỉnh kịp thời. Tùy vào từng phương pháp niềng răng mà bác sĩ điều chỉnh lực kéo của mắc cài hoặc thay máng chỉnh nha cho bạn. Thông thường, niềng răng mắc cài cần nhiều thời gian thăm khám nha khoa hơn, trung bình khoảng 4 tuần/lần.
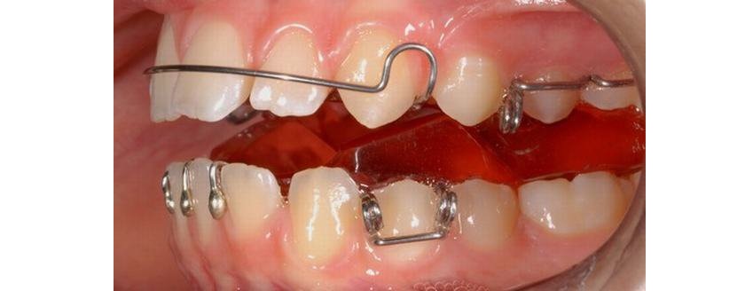
Xử lý một số vấn đề thường gặp trong quá trình chỉnh nha
Khi niềng răng mắc cài kim loại, có trường hợp bị kích ứng do dị ứng với kim loại. Vì vậy, trong những ngày đầu niềng răng nếu có biểu hiện bất thường bạn phải đến gặp bác sĩ để được điều trị kịp thời.
Trong thời gian chỉnh nha, răng sẽ dần dịch chuyển và làm lỏng mắc cài, đây là vấn đề thường gặp khi bạn niềng răng mắc cài. Ngoài ra, mắc cài có thể bung tuột hoặc bị vỡ do chải răng quá mạnh hoặc nhai những thức ăn cứng. Khi đó, bạn nên đến nha sĩ để được điều chỉnh lại mắc cài.
Trong trường hợp bạn niềng răng bằng khay niềng trong suốt, bạn sẽ không gặp phải những vấn đề trên. Tuy nhiên, bạn cũng nên chú ý khi có những biểu hiện lạ để kịp thời điều trị.

Những vấn đề xảy ra khi chỉnh nha cần đến nha khoa để được bác sĩ xử lý ngay lập tức
Thói quen ảnh hưởng đến răng niềng
Thói quen hút thuốc cũng cần được lưu ý khi niềng răng, chúng sẽ khiến nướu và răng của bạn trở nên nhạy cảm và đổi màu men răng khiến răng có màu bị ố vàng sau khi niềng răng. Các thói quen khác như cắn bút, cắn móng tay có thể làm rơi mắc cài, thậm chí có thể làm sai lệch vị trí của răng.
Xem thêm: Ê buốt khi niềng răng và giải pháp “cứu tinh” nhanh chóng nhất
Hoạt động thể thao khi niềng răng
Để niềng răng hoạt động tốt và không bị vỡ, bạn nên đeo hàm bảo vệ mỗi khi chơi thể thao. Trong trường hợp bạn đeo khay tháo lắp thì bạn nên tháo ra và cất chúng vào hộp đựng để tránh làm mất chúng. Các hoạt động chơi nhạc cụ hơi có thể ảnh hưởng đến niềng răng, vì vậy bạn nên đến nha khoa để được bác sĩ tư vấn kỹ càng về trường hợp của bạn.

Cần lưu ý các hoạt động thể thao khi đang niềng răng chỉnh nha
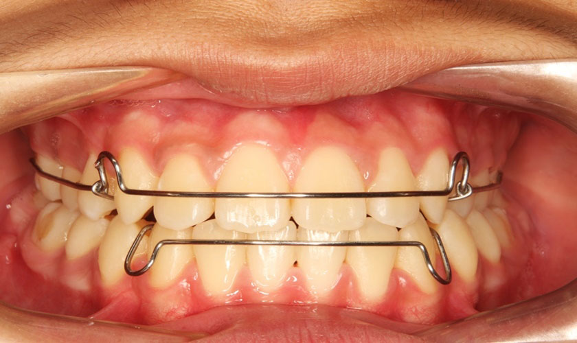
Đeo hàm duy trì
Sau khi quá trình chỉnh nha kết thúc, răng của bạn vẫn còn yếu và có thể di chuyển làm lệch vị trí đã điều chỉnh. Do đó, bạn cần đeo hàm duy trì để cố định các răng thêm trong một thời gian nữa, tùy thuộc vào tình trạng răng của bạn mà bác sĩ sẽ chỉ định thời gian cần đeo hàm duy trì.

Đeo hàm duy trì sau niềng để cố định răng thêm một thời gian
Hãy đến ngay trung tâm Nha khoa Nhân Tâm để được khám và tư vấn các loại niềng răng phù hợp với tình trạng răng miệng của bạn nếu bạn đang thấy hàm răng của mình có những dấu hiệu cần phải chỉnh nha. Liên hệ ngay với chúng tôi để được cập nhật bảng giá niềng răng và đặt lịch khám!




