Răng sứ kim loại titan có tuổi thọ trung bình 5 – 10 năm
Làm răng sứ titan là một trong những loại răng phổ biến rất được ưa chuộng hiện nay. Đây là phương pháp giúp khắc phục nhanh chóng những khuyết điểm của răng, đem đến cho bạn nụ cười đẹp, tự nhiên.
Vì vậy, tuổi thọ, cách chăm sóc, cùng quy trình của làm răng sứ titan ra sao sẽ có câu trả lời đúng nhất. Cùng tìm hiểu nhé.
Làm răng sứ Titan được bao lâu?
Răng sứ titan thuộc dòng răng sứ kim loại có xuất xứ từ Đức, có mặt trên thị trường đã nhiều năm về trước. Tồn tại song song với dòng răng toàn sứ, tuy nhiên titan vẫn được sự quan tâm nhất định của khách hàng bởi chi phí hợp lý mà vẫn đảm bảo phục hình răng mới ăn nhai bình thường.
Chính với ưu điểm như vậy, làm răng sứ titan được bao lâu là vấn đề nhiều khách hàng quan tâm đề cập.
Với cấu tạo hai phần khung xương và lớp men sứ phủ ngoài đặc biệt, mỗi loại răng sứ khác nhau đều có độ bền cứng chắc cao để duy trì ổn định trong khoang miệng suốt nhiều năm.
Tuy nhiên, mỗi loại dòng sứ có thời gian sử dụng khác nhau. Như đối với răng sứ kim loại titan có tuổi thọ trung bình 5 – 10 năm, thời gian này có thể lên 20 năm nếu được chăm sóc tốt.
Thời gian đó không xác định chính xác cho bạn và tùy vào nhiều yếu tố khác nhau mà thay đổi. Cấu tạo của răng sứ titan sườn là hợp kim titan, lớp men sứ phủ ngoài Ceramco3 có độ cứng dao động 400 – 420 Mpa, vẫn đảm bảo ăn nhai tốt nhưng không chắc bằng loại răng toàn sứ.
Ngoài ra, một phần còn do chính tay nghề cùng kinh nghiệm của bác sĩ thực hiện hỗ trợ bởi các trang thiết bị, công nghệ nha khoa mà kết quả đạt được như thế nào.
Cách chăm sóc răng sứ Titan?
Về bản chất, răng sứ titan có độ bền cao, chịu được lực tác dụng hơn cả răng thật 1,6 lần. Tuy nhiên, vẫn không thể nào phủ định đây vẫn mãi là răng giả, là một khối tách biệt với cơ thể, không được neo giữ bởi dây chằng nha chu nên cần biết cách chăm sóc răng sứ titan đặc biệt. Bởi biết cách chăm sóc tốt, chiếc răng mới này có thể gắn bó với bạn nhiều năm hơn.
Sau khi làm răng sứ, nhiều bệnh nhân chăm sóc cho răng sứ titan một cách qua loa, sơ sài dẫn đến nhiều hệ lụy cho sức khỏe răng miệng. Vì vậy, bạn cần chú ý:

Có thói quen chăm sóc răng miệng đúng cách theo chuẩn nha khoa
- Có thói quen chăm sóc răng miệng đúng cách theo chuẩn nha khoa. Bỏ bê chăm sóc răng miệng mỗi ngày cần triệt để từ bỏ.
- Về chế độ ăn uống, không ăn thực phẩm quá cứng và dai, hạn chế đồ ăn quá nóng và quá lạnh, tránh thức uống có gas,… thay vào đó, hãy thực hiện chế độ ăn uống khoa học và lành mạnh hơn.
- Không hút thuốc lá, bởi đây là nguyên nhân chính khiến răng bị xỉn màu, ố vàng, hơi thở có mùi khó chịu. Đối với những người có thói quen nghiến răng khi ngủ, cần thay đổi hoặc đeo máng chống nghiến để bảo vệ răng sứ.
- Kiểm tra định kỳ giúp theo dõi tình trạng răng sứ, kịp thời phát hiện kịp thời và điều trị những vấn đề không mong muốn.
Không còn lo lắng cho sức khỏe răng miệng, vấn đề bất trắc xảy ra, thay hàm răng sứ mới sớm hơn dự định nếu bạn quan tâm chăm sóc, hàm răng khỏe đẹp dài lâu.
Xem thêm: Làm răng sứ Titan bao nhiêu tiền và có nên làm hay không?

Vệ sinh răng miệng sạch sẽ sau khi làm răng sứ Titan
Quy trình làm răng sứ Titan
Làm răng sứ titan là liệu pháp tuyệt vời cho chiếc răng khiếm khuyết với chi phí lại rẻ, tuy so với loại toàn sứ, răng sứ titan đầy đủ điều kiện làm ứng cử viên được mọi người lựa chọn và càng phổ biến.
Để thực hiện thành công một ca làm răng sứ đảm bảo chất lượng cùng hiệu quả, buộc lòng bác sĩ tiến hành theo quy trình làm răng sứ titan chuẩn theo các bước sau:
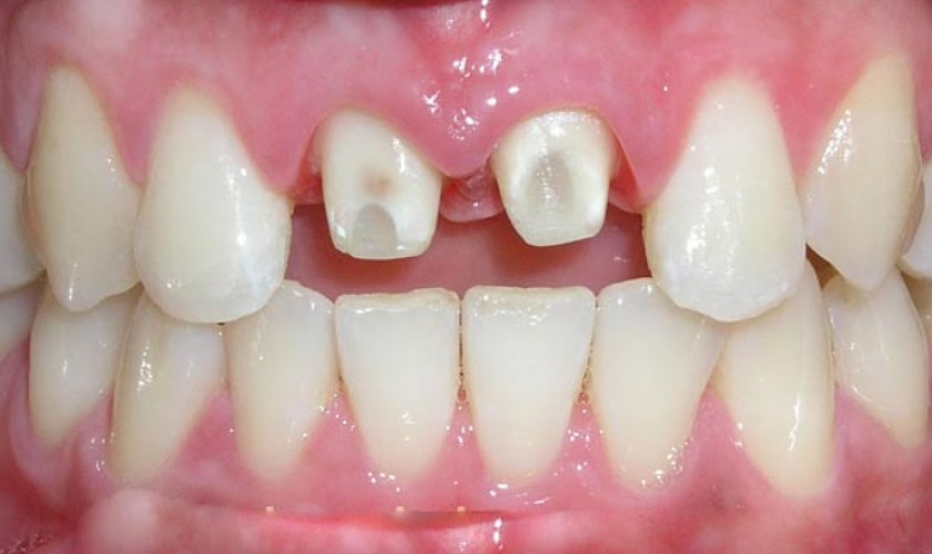
- Bước 1: Sửa soạn răng bị hư tổn. Trong trường hợp răng bị hư tổn hay sâu răng nặng ảnh hướng đến tủy, bác sĩ sẽ tiến hành chữa tủy trước.
- Bước 2: Mài răng nhỏ lại để răng sứ titan có không gian đứng.



