Giải pháp bọc răng sứ cho hàm răng đẹp tự nhiên
Bọc răng sứ bao lâu? Là thắc mắc của rất nhiều người khi quyết định làm răng bằng phương pháp bọc răng sứ đang được ưa chuộng hiện nay. Việc lựa chọn được một giải pháp tối ưu vừa hiệu quả lại tiết kiệm thời gian và tiền bạc là một ước mơ của nhiều bệnh nhân mà không phải ai cũng toại nguyện. Theo các chuyên gia nha khoa cho biết bọc răng sứ có nhiều ưu điểm vượt trội, tính thẩm mỹ cao, giá thành cho một chiếc răng sứ cũng phù hợp với nhiều hoàn cảnh, tuổi thọ của răng sứ là trên 10 năm khi được chăm sóc tốt có thể kéo dài lâu hơn.
Tại sao cần phải bọc răng sứ?
Bọc răng sứ là một giải pháp tối ưu hàng đầu hiện nay trong vấn đề khắc phục các trường hợp răng mọc không đều, mọc lộn xộn, răng hở, răng bị hô vẩu và các trường hợp răng bị tổn thương do tai nạn hoặc chăm sóc không đúng cách đó là lý do tại sao phải bọc răng sứ. Bên cạnh những ưu điểm của phương pháp bọc răng sứ thì quy trình bọc răng sứ cũng không phức tạp, đòi hỏi nhiều công sức và không gây đau nhức, thời gian bọc răng sứ không mất nhiều thời gian làm cho việc khôi phục chức năng thẩm mỹ, ăn nhai được thuận lợi. Bệnh nhân mau chóng sở hữu hàm răng khỏe mạnh, trắng sáng đẹp tự nhiên và có thể tận hưởng cuộc sống bình thường như không có chuyện gì xảy ra.
Ưu nhược điểm và quy trình bọc răng sứ

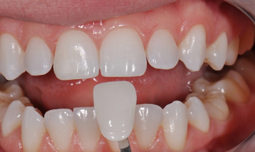
Bọc răng sứ tại nha khoa Nhân Tâm
Ưu điểm Bọc răng sứ có nhiều nét nổi bật:
- Tính thẩm mỹ cao răng bọc sứ có màu sắc tự nhiên, hình dạng giống răng thật.
- Phục hồi khả năng ăn nhai, chịu được áp lực lớn từ việc nhai thức ăn trong miệng.
- Không gây dị ứng, tác dụng phụ làm hại cơ thể.
- Tuổi thọ của của răng cao khi được chăm sóc tốt.
- Khả năng chống bám dính tốt, làm cho thức ăn không có điều kiện bám bám vào răng gây hôi miệng.
Bên cạnh những ưu điểm của răng bọc sứ, còn tồn tại một số nhược điểm:
- Chi phí bọc răng sứ thứ tương đối cao.
- Bọc răng sứ Bác sĩ phải mài răng gây ảnh hưởng đến tủy răng.
- Răng sứ kim loại có phần sườn được làm bằng kim loại sau một thời gian sử dụng có vết thâm đen ở viền nướu răng.
- Sau một thời gian sử dụng răng sứ bị hở hoặc hỏng cần phải bọc răng mới.

Bọc răng sứ là giải pháp được ưa chuộng hiện nay
Quy trình bọc răng sứ gồm một số bước sau đây:
- Bước 1: Khám kiểm tra sức khỏe răng miệng và chụp X quang nếu cần thiết.
- Bước 2: Nếu tình trạng sức khỏe răng miệng của bệnh nhân không đạt yêu cầu hay đang gặp phải những bệnh lý về răng, cần được điều trị một thời gian trước khi bọc răng sứ.
- Bước 3: Mài cùi răng ở những chỗ bị hô để làm trụ răng.
- Bước 4: Lấy dấu hàm để tạo mão răng sứ phù hợp.
- Bước 5: Gắn thử mão răng sứ để kiểm tra mức độ chính xác độ khớp với hàm răng.
- Bước 6: Lắp ráp mão răng thật vào cùi trụ răng.
Giá cả bọc răng sứ bao nhiêu?
Răng sứ có nhiều loại, mỗi loại có màu sắc hình dáng và tính thẩm mỹ khác nhau nên giá thành cũng khác nhau. Nha khoa Nhân Tâm xin đưa ra bảng giá để bệnh nhân có thể tham khảo.
Cách chăm sóc răng miệng sau khi bọc răng sứ
Cách chăm sóc răng miệng sau khi bọc răng sứ là những mẹo để kéo dài tuổi thọ của răng sứ không phải ai cũng biết. Để răng sứ có thể trắng sáng đẹp tự nhiên kéo dài được tuổi thọ cần chăm sóc kỹ lưỡng, vệ sinh hàng ngày sau bữa ăn, ăn uống đúng cách không ăn những thức ăn quá cứng gây áp lực mạnh làm răng dễ bị gãy, khi có sự cố sau phẫu thuật bọc răng sứ cần đến nha khoa để kiểm tra và khắc phục. Nhân Tâm là một trong những địa chỉ uy tín hàng đầu, trong lĩnh vực bọc răng sứ với kinh nghiệm hơn 20 năm hoạt động trong thẩm mỹ làm đẹp. Đến với Nha khoa Nhân Tâm các bệnh nhân sẽ được trợ giúp khôi phục hàm răng đẹp tự nhiên và tư vấn cách chăm sóc để bọc răng sứ bao lâu không còn là vấn đề lo âu nữa.




