Giá răng sứ Cercon Zirconia luôn là thông tin mà số đông khách hàng rất quan tâm
Giá răng sứ Cercon Zirconia luôn là thông tin mà số đông khách hàng rất quan tâm, bởi đây là hai loại răng sứ chất lượng cao được nhiều bác sĩ khuyên dùng.
Nếu bạn đang có nhu cầu phục hình răng sứ nhưng chưa biết nhiều thông tin về hai loại răng sứ Cercon và Zirconia thì hãy cùng Nha khoa Nhân Tâm tìm hiểu thêm nhiều chi tiết thú vị về hai loại răng sứ trên qua bài viết sau.
Thế nào là răng sứ Cercon và Zirconia?
Răng sứ Cercon
Răng sứ Cercon là sản phẩm độc quyền của Hãng Dentsply – Degudent chuyên nghiên cứu về chất liệu nha khoa của Mỹ. Đây là loại răng sứ được sử dụng rộng rãi trên thế, bởi giá thành hợp lý, đáp ứng được nhu cầu của người dùng về tính thẩm mỹ và hiệu quả phục hồi chức năng nhai cho răng gãy mẻ.
Răng sứ Cercon có 2 lớp sứ, lớp sườn bên trong được làm từ sứ Zirconia, và một lớp sứ bọc ngoài làm từ sứ Ceramco3.
Răng sứ Zirconia
Răng sứ Zirconia là loại răng toàn sứ Zirconia 100%, đây là một loại sứ nha khoa xuất xứ từ Đức. Răng sứ Zirconia có hai lớp đều bằng sứ Zirconia 100%. Zirconia là loại vật liệu sứ nha khoa có độ bền tương đối cao, mang lại màu sắc tự nhiên, có độ trong và khả năng chịu lực tốt.
Vì đây là một chất liệu mang lại hiệu quả ăn nhai tốt, lại an toàn với sức khỏe nên hầu hết các loại răng sứ trên thị trường đểu áp dụng sứ Zirconia cho sườn răng bên trong, trong đó có cả loại răng sứ Cercon.
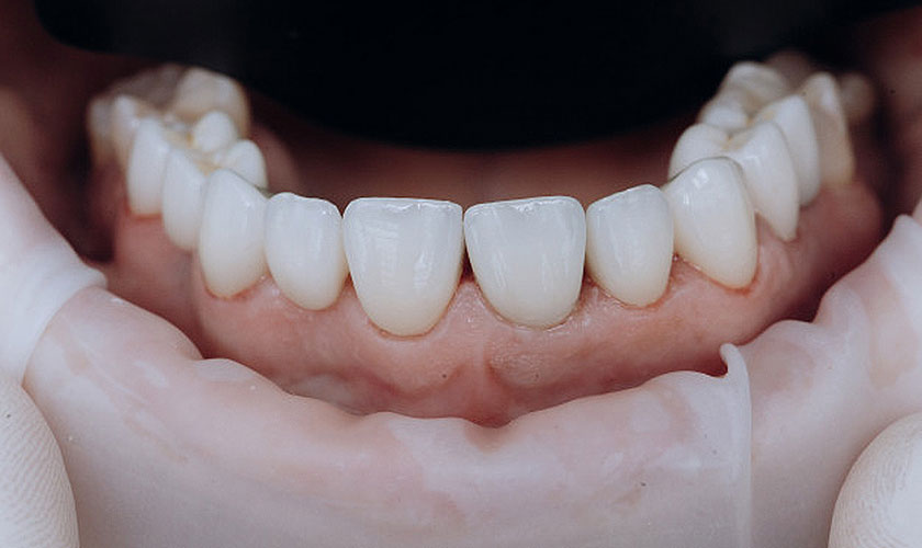
Ưu điểm chung của răng sứ Cercon và Zirconia chính là khắc phục được nhược điểm lộ ánh đen sườn bên trong khi ánh sáng chiếu vào như loại răng sứ kim loại, rất thích hợp cho các khách hàng thường xuyên xuất hiện trước ánh đèn sân khấu.
Màu sắc của hai loại răng sứ này vô cùng tự nhiên, dù sau một thời gian sử dụng lâu dài vẫn không gây đen viền nướu hoặc tối màu như loại răng sứ kim loại. Chất liệu sứ an toàn cho người sử dụng, không gây kích ứng, không oxi hoá trong môi trường răng miệng.
Ngoài ra răng sứ Cercon và Zirconia là hai loại sứ được thực hiện thiết kế bằng công nghệ máy tính CAD/CAM có độ chính xác cao, răng sứ được làm sat khít với các răng lành kế bên.
Khả năng chịu lực của răng sứ cao hơn so với răng thật, cho khách hàng ăn nhai thoải mái các loại thức ăn ưa thích mà không sợ răng sứ vỡ mẻ, với tuổi thọ cao lên đến 10 – 20 năm, cao hơn so với răng sứ kim loại.
Xem thêm: Nên “chọn mặt gửi vàng” nha khoa Implant TPHCM nào?
Giá răng sứ Cercon và Zirconia có rẻ không?
Giá làm răng sứ Zirconia hiện nay trên thị trường dao động từ 4.500.000 – 6.000.000 VNĐ / răng tuỳ theo nha khoa thực hiện.
Giá làm răng sứ Cercon hiện nay trên thị trường dao động từ 5.500.000 – 6.500.000 VNĐ / răng tuỳ theo nha khoa thực hiện.
Ngoài ra quý khách xin lưu ý rằng, giá răng sứ Cercon Zirconia trên có thể thay đổi ít nhiều dựa vào tình trạng răng miệng của khách hàng, và độ khó của thực hiện kỹ thuật trên ca của bệnh nhân.
Vì thế, để biết được mức giá cụ thể bạn cần chuẩn bị để thực hiện làm răng sứ Zirconia, hãy liên hệ đến Nha khoa Nhân Tâm, tại đây chúng tôi thăm khám và tư vấn cụ thể về hiệu quả của răng sứ Zirconia đối với trường hợp của bạn mà đưa ra chi phí thực hiện cụ thể.

Giá răng sứ Cercon Zirconia trên có thể thay đổi dựa vào tình trạng răng miệng của khách hàng
Nên chọn loại răng sứ nào?
Trả lời cho câu hỏi nên chọn răng sứ Cercon hay Zirconia, Nha khoa Nhân Tâm xin trả lời rằng cả hai dòng răng sứ cao cấp này đều đạt hiệu quả trồng răng gần như tương tự nha.
Tuy nhiên khách hàng hãy lưu ý rằng thành phần sứ Zirconia có độ trong nên đối với khách hàng có răng ban đầu sẫm màu nhiều, sau khi đã mài đi vẫn không hết phần răng ố màu, khi bọc răng sứ lên vẫn sẽ lộ răng bên trong, tạo cảm giác răng sứ xỉn màu, nên bác sĩ buộc lòng sẽ phải dùng chất chuyên dụng để che đi màu răng bên trong, khách hàng có thể sẽ phải mất thêm một khoản phí.
Răng sứ Cercon được đánh giá cao hơn vì chất liệu sứ Ceramco3 bên ngoài Zirconia, góp phần hạn chế khuyết điểm của Zirconia, cho răng được bọc có màu sắc tự nhiên hơn. Đó là lí do chi phí của răng sứ Cercon cao hơn từ 500.000 – 1.000.000 / chiếc răng so với răng sứ Zirconia.
Để biết nên chọn răng sứ Cercon hay Zirconia, bạn cần được các bác sĩ thăm khám để nắm bắt được tình trạng và màu sắc răng của bạn để tư vấn loại răng sứ nào phù hợp nhất với nhu cầu và điều kiện kinh tế.

Để biết nên chọn răng sứ Cercon hay Zirconia, bạn cần được các thăm khám và tư vấn
Nếu bạn đang có nhu cầu phục hình răng sứ, hãy liên hệ ngay đến Nha khoa Nhân Tâm để được thăm khám và tư vấn hoàn toàn miễn phí cũng như trải nghiệm những dịch vụ tốt nhất.



