Khi có hàm răng mọc lộn xộn, răng hô, móm, vẩu ở mức độ nặng mà không muốn phải phẫu thuật thẩm mỹ thì nhiều người đã tìm đến giải pháp niềng răng. Vì chỉ sau 2 – 3 năm thực hiện, bạn đã có sự thay đổi đáng kể về khuôn mặt và nụ cười.
Về giá niềng răng thì sẽ rất phong phú, tùy thuộc vào từng loại mắc cài bạn lựa chọn. Trong đó mắc cài kim loại có mức giá thấp nhất, sau đó đến mắc cài sứ và cao nhất là niềng răng không mắc cài. Tùy thuộc vào điều kiện kinh tế cũng như nhu cầu thẩm mỹ mà bạn có thể lựa chọn loại khí cụ chỉnh nha phù hợp cho mình.
Những yếu tố ảnh hưởng tới chi phí niềng răng
Tình trạng răng trước khi niềng
Trước khi xác định số tiền bạn cần bỏ ra cho việc niềng răng thì bác sĩ sẽ phải thăm khám trực tiếp. Tùy vào mức độ trung bình, mức độ khó hay mức độ phức tạp mà bác sĩ sẽ đưa ra chi phí niềng răng chi tiết.
Bởi thời gian thực hiện, kĩ thuật thực hiện của từng trường hợp là khác nhau. Ngoài ra, nếu bạn mắc thêm một số bệnh về răng miệng cần phải điều trị trước khi tiến hành niềng răng thì chi phí cũng sẽ tăng lên đáng kể.

Bác sĩ kiểm tra tình trạng răng trước khi niềng cho khách hàng
Phương pháp niềng răng
Hiện nay trên thị trường có rất nhiều phương pháp niềng răng. Mỗi phương pháp sẽ có những ưu và nhược điểm riêng biệt, đi kèm với đó là chi phí niềng răng cũng sẽ khác nhau, ví dụ như chi phí niềng răng 1 hàm sẽ thấp hơn niềng răng 2 hàm.
Cụ thể, nếu bạn chọn phương pháp niềng răng với mắc cài kim loại thì chi phí sẽ không cao, thời gian thực hiện niềng răng được rút ngắn. Tuy nhiên, phương pháp này sẽ không đáp ứng được yêu cầu thẩm mỹ của khách hàng.
Ngược lại, nếu bạn chọn các phương pháp chỉnh nha mang tính thẩm mỹ cao như chỉnh nha với mắc cài sứ hay chỉnh nha không mắc cài Invisalign thì sẽ phải trải qua thời gian thực hiện dài hơn các phương pháp truyền thống và chi phí cũng cao hơn nhiều.

Phương pháp niềng răng chi phối trực tiếp tới chi phí thực hiện
Chất lượng, độ uy tín của nha khoa
Với các dịch vụ phục hình và thẩm mỹ răng miệng thì giá cả luôn đi đôi với chất lượng. Nha khoa càng uy tín thì đòi hỏi mức phí dịch vụ càng cao.
Bởi để đảm bảo cho sự uy tín và an toàn đó, các nha khoa phải có sự đầu tư nhất định về máy móc công nghệ, đảm bảo mức thu nhập cho các bác sĩ có tay nghề cao… Do vậy, giá niềng răng hiện nay còn phụ thuộc vào độ uy tín và chất lượng của từng nha khoa.
Tuy nhiên, bạn cũng không cần phải quá lo lắng, bởi hầu hết các nha khoa đều sẽ áp dụng chính sách trả góp để tạo điều kiện thuận lợi nhất cho khách hàng.
Xem thêm: Niềng răng trả góp TPHCM ở đâu uy tín?
Giá niềng răng của nha khoa Nhân Tâm là bao nhiêu?
Là một trong những nha khoa uy tín và hoạt động lâu đời bậc nhất TP. HCM, nha khoa Nhân Tâm đã thực hiện chỉnh nha thành công cho hàng ngàn khách hàng mỗi năm.
Trực tiếp thực hiện dịch vụ này là bác sĩ Trần Thị Nga – Giám đốc chuyên môn nha khoa Nhân Tâm với 25 năm kinh nghiệm trong nghề.

Bác sĩ Trần Thị Nga – Giám đốc chuyên môn nha khoa Nhân Tâm
Chia sẻ về chi phí thực hiện niềng răng, bác sĩ Nga cho biết: Trước hết khách hàng cần tới nha khoa để được thăm khám cụ thể. Bởi tùy thuộc vào độ khó khi thực hiện niềng răng, tình trạng sức khỏe răng miệng hiện tại, loại mắc cài bạn lựa chọn thì mới có thể biết giá niềng răng tại nha khoa Nhân Tâm là bao nhiêu.
Để quý khách hàng tiện theo dõi, dưới đây là bảng giá niềng răng chi tiết của từng phương pháp hiện đang được áp dụng tại nha khoa Nhân Tâm. Bạn có thể tham khảo để chủ động hơn trong việc chuẩn bị chi phí chỉnh nha cho bản thân hoặc người thân trong gia đình.
Hiểu được nỗi lo của khách hàng, hiện nay nha khoa Nhân Tâm đang áp dụng chương trình khuyến mãi đặc biệt, đó là niềng răng trả góp với lãi suất 0 đồng chỉ với 01 triệu đồng/ tháng và cam kết không phát sinh lãi suất.

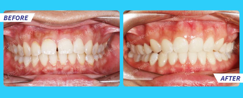
Hình ảnh trước và sau khi niềng răng tại nha khoa Nhân Tâm
Với đội ngũ bác sĩ nha khoa tay nghề cao, thiết bị công nghệ hiện đại cùng nhiều chương trình ưu đãi, nha khoa Nhân Tâm đã giúp hàng ngàn khách hàng sở hữu nụ cười tự tin với hàm răng đẹp, đều.
Nếu đang có nhu cầu chỉnh nha và muốn tìm hiểu kĩ hơn về giá niềng răng mới nhất của nha khoa Nhân Tâm thì quý khách hàng hãy liên hệ ngay với chúng tôi qua số máy 1900 56 5678 để được tư vấn cụ thể.



