Chi phí làm răng sứ rất khó để đưa ra câu trả lời chính xác vì chi phí bọc răng sứ thay đổi tùy theo từng thời điểm, từng cơ sở nha khoa và số lượng răng mà bệnh nhân cần phục hình. Tuy nhiên, nhìn chung trong thời gian gần đây, giá bọc răng sứ khá hợp lý so với chất lượng và thu nhập của người dân, trung bình từ 1 triệu đến 7 triệu đồng/răng.
Để biết giá bọc răng sứ cụ thể, mời bạn tham khảo bảng giá của Nha khoa Nhân Tâm dưới đây:
| BẢNG GIÁ RĂNG SỨ | ||
|---|---|---|
| DỊCH VỤ | ĐƠN VỊ | PHÍ TÍNH (VNĐ) |
| Răng sứ hợp kim Titan | Răng | 2,800,000 |
| Răng toàn sứ - Không CAD/CAM | Răng | 5,200,000 |
| Răng toàn sứ (Cercon Zirconia CAD/CAM) | Răng | 6,000,000 |
| Mão toàn sứ IPS E.Max | Răng | 7,000,000 |
| Mặt dán sứ Veneer Zirconia | Răng | 7,000,000 |
| Mặt dán sứ Veneer IPS E.Max | Răng | 7,340,000 |
| BẢNG GIÁ ĐIỀU TRỊ TỦY | ||
|---|---|---|
| DỊCH VỤ | ĐƠN VỊ | PHÍ TÍNH (VNĐ) |
| Chữa tủy răng trẻ em - Răng trước | Răng | 550,000 |
| Chữa tủy răng trẻ em - Răng trong | Răng | 750,000 |
| Chữa tủy răng cửa, răng nanh và răng cối nhỏ | Răng | 1,340,000 |
| Chữa tủy răng cối số 6 | Răng | 2,000,000 |
| Chữa tủy răng cối số 7,8 | Răng | 2,340,000 |
| Chữa tủy lại răng trước (Từ răng 1 - răng 5) | Răng | 2,000,000 |
| Chữa tủy lại răng cối số 6 | Răng | 2,340,000 |
| Chữa tủy lại răng cối số 7,8 | Răng | 3,000,000 |
| Chốt kim loại + Trám kết thúc | Răng | 340,000 |
| Cùi giả kim loại, trám tái tạo (không kèm mão) | Răng | 800,000 |
| Cùi giả carbon, tái tạo răng (không kèm mão) | Răng | 1,340,000 |
| Chốt sợi, tái tạo răng 1 chân | Răng | 800,000 |
| Chốt sợi, tái tạo răng 2 chân | Răng | 1,000,000 |
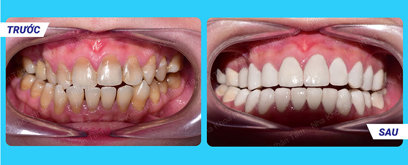
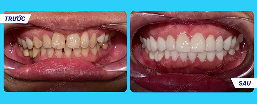
HÌNH ẢNH TRƯỚC VÀ SAU CỦA KHÁCH HÀNG ĐIỀU TRỊ RĂNG SỨ THẨM MỸ TẠI NHA KHOA NHÂN TÂM








Khách hàng bọc răng sứ tại Nha Khoa Nhân Tâm
++ Tham khảo bảng giá răng sứ titan tại Nha Khoa Nhân Tâm
Nếu bạn có nhu cầu bọc răng sứ, hãy liên hệ với Nha khoa Nhân Tâm để được tư vấn và thực hiện nhanh chóng, an toàn và thẩm mỹ. Nha khoa Nhân Tâm cam kết:
Kỹ thuật sử dụng để mài răng trước khi bọc sứ được thực hiện an toàn, không ê buốt bởi các bác sĩ giàu kinh nghiệm.
Công nghệ mới tạo điều kiện lấy dấu răng toàn diện bằng máy quét tự động, ghi lại hình ảnh chính xác 100% của cả 5 răng, đảm bảo tính thẩm mỹ và chính xác đến từng rãnh trong quá trình chế tác răng sứ.

Công nghệ bọc răng sứ đảm bảo phục hình cho răng một cách thẩm mỹ nhất, không bị đục hay bị đen viền nướu, giúp ăn nhai hoàn toàn bình thường, không cộm cấn khó chịu.
Giảm thiểu thời gian sửa chữa, quá trình bọc răng sứ có thể hoàn thành chỉ trong 2 lần.
Hãy đến với Nha khoa Nhân Tâm, một địa chỉ nha khoa uy tín ở Hồ Chí Minh để khám phá sự khác biệt trong từng dịch vụ và trải nghiệm công nghệ nha khoa mới nhất hiện nay.


