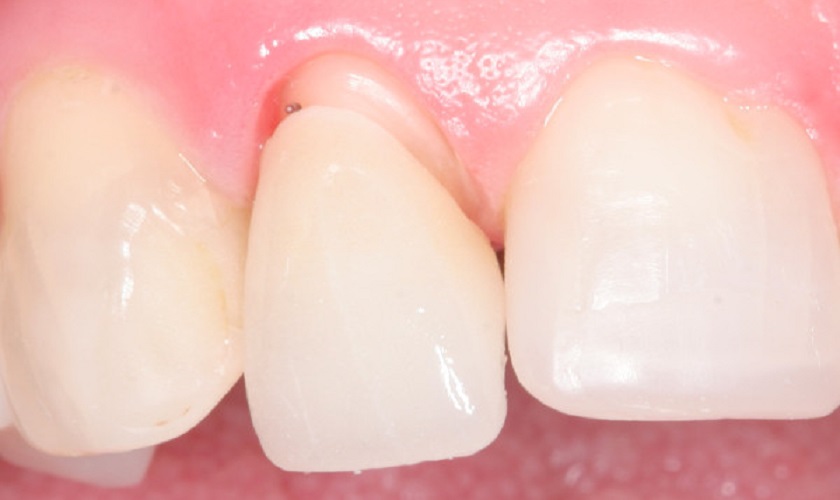
Dấu hiệu răng sứ bị hở điển hình giúp bạn nhận biết sớm tình trạng này là có khoảng trống giữa mão sứ và lợi tại đường chân răng, mão sứ không ôm sát cùi răng; khi ăn nhai có cảm giác cộm cấn, răng không vững chắc, có hiện tượng lung lay; thức ăn thường xuyên mắc lại tại khe hở khiến việc vệ sinh răng miệng khó khăn.
Khi phát hiện các bất thường, bạn cần tới trung tâm nha khoa uy tín, chất lượng để được bác sĩ thăm khám và chẩn đoán nguyên nhân. Tùy vài nguyên nhân cụ thể mà bác sĩ sẽ chỉ định bạn tháo răng sứ ra lắp lại hoặc làm mão sứ mới thay thế.
Dấu hiệu cảnh báo răng sứ bị hở
Răng sứ bị hở là điều mà nhiều người đã gặp phải sau khi phục hình răng với răng sứ thẩm mỹ. Do nhu cầu chăm sóc và thẩm mỹ tăng cao, ngày càng có nhiều cơ sở nha khoa ra đời trong khi chất lượng chưa được kiểm chứng. Điều này khiến không ít người phải đối mặt với rủi ro, biến chứng sau khi sử dụng dịch vụ.

Dấu hiệu răng sứ bị hở
Các dấu hiệu răng sứ bị hở điển hình giúp bạn nhận biết sớm tình trạng này bao gồm:
- Giữa mão sứ và lợi xuất hiện khoảng trống tại đường chân răng. Mão răng sứ không ôm sát trụ răng, không sát khít với nướu sẽ gây ra nhiều vấn đề răng miệng phức tạp.
- Cảm giác răng không được tự nhiên, khi ăn nhai thường xuyên bị cộm cấn, răng không vững chắc, có hiện tượng lung lay.
- Thức ăn thường xuyên mắc lại tại khe hở khiến việc vệ sinh răng miệng khó khăn.
Nếu nhận thấy những điều trên sau khi làm răng sứ thẩm mỹ thì khả năng cao là răng sứ của bạn đã bị hở, bạn cần tìm cách để khắc phục vấn đề này trong thời gian sớm nhất.
Nguyên nhân dẫn đến răng sứ bị hở
Dấu hiệu răng sứ bị hở có thể xuất hiện do các nguyên nhân sau đây:
Quy trình bọc sứ không chuẩn
Quy trình thực hiện không đạt chuẩn chủ yếu là do cơ sở nha khoa không được trang bị đầy đủ máy móc hỗ trợ việc thăm khám, chẩn đoán và lên kế hoạch điều trị hoặc do tay nghề của bác sĩ không tốt, mài răng sai kỹ thuật.

Mài răng sai kỹ thuật có thể khiến răng sứ kênh, hở
Ngoài ra, nếu labo chế tạo răng sứ không chính xác thì khi gắn lên răng cũng sẽ bị kênh, hở, không sát khít, khiến khách hàng cảm thấy cộm, vướng và ê buốt trong thời gian sử dụng.
Chăm sóc răng miệng không hợp lý
Yếu tố tiếp theo dẫn đến dấu hiệu răng sứ bị hở là cách chăm sóc răng miệng thiếu khoa học. Thói quen chải răng theo chiều ngang, chải răng quá mạnh diễn ra trong thời gian dài hoặc không cạo vôi răng định kỳ sẽ dẫn tới viêm nướu, tụt nướu và làm răng bọc sứ bị lộ chân.

Vệ sinh răng miệng không đúng cách cũng có thể làm cho răng sứ bị hở
Trên thực tế, hiện tượng răng sứ bị hở rất dễ xảy đến nếu khách hàng lựa chọn nhầm những trung tâm nha khoa kém chất lượng, cơ sở vật chất không đầy đủ, chất liệu chế tác răng sứ không đảm bảo, bác sĩ chưa đủ trình độ để đưa ra chẩn đoán và phương án điều trị chính xác. Vậy nên, trước khi bọc răng sứ bạn cần tìm hiểu rõ xem nha khoa nào tốt nhé.
Cần làm gì khi có dấu hiệu răng sứ bị hở?
Bọc lại răng sứ là biện pháp tốt nhất để khắc phục tình trạng răng sứ bị hở. Nếu nguyên nhân gây ra tình trạng này là do kỹ thuật bọc sứ không chuẩn thì chỉ cần tháo ra gắn lại và không phải thay mão sứ mới. Nhưng nếu bất thường trên là do lỗi trong quá trình chế tác, sản xuất khiến mão sứ không đúng tỉ lệ, sai kích thước thì bạn buộc phải lấy dấu răng và chế tác mão sứ mới.
Bạn có thể quay lại cơ sở nha khoa cũ để thăm khám nếu làm răng sứ chưa lâu. Vì thời gian bảo hành của răng sứ thường rất dài, trung bình là khoảng 5 đến 10 năm hoặc lâu hơn. Với các lỗi do kỹ thuật bọc sứ, chế tác răng sứ hoặc chất lượng mão sứ, bạn sẽ được nha khoa hỗ trợ khắc phục mà không phải trả thêm chi phí.

Cân nhắc thật kỹ trước khi lựa chọn cơ sở nha khoa khắc phục các vấn đề sau khi bọc răng sứ
Tuy nhiên, nếu không yên tâm với cơ sở bọc răng sứ cũ, bạn hãy lựa chọn những nha khoa có tên tuổi, uy tín lâu năm với đội ngũ bác sĩ giỏi chuyên môn, giàu kinh nghiệm và hệ thống cơ vật chất, trang thiết bị hiện đại.
Nha khoa Nhân Tâm là một trong số các trung tâm nha khoa gần đây tốt nhất tại TPHCM, đáp ứng đầy đủ các tiêu chí về chất lượng dịch vụ, trình độ bác sĩ và cơ sở vật chất, là lựa chọn hàng đầu cho bạn khi đang có dấu hiệu răng sứ bị hở và muốn khắc phục chúng. Hãy liên hệ với Nhân Tâm qua số điện thoại 1900 56 5678 để được hỗ trợ nhanh nhất nhé.



