Niềng răng hay còn được gọi chỉnh nha là phương pháp sử dụng hệ thống mắc cài dây cung hoặc khay niềng trong suốt để di chuyển răng về vị trí mong muốn.
Lực tác động thông qua các khí cụ gắn trên răng sẽ giúp răng dịch chuyển dần dần dưới sự kiểm soát chặt chẽ của bác sĩ thực hiện.
Chi phí niềng răng sẽ khác nhau tùy vào tình trạng, phương pháp, cơ sở thực hiện,...
Khi nào nên tiến hành niềng răng?
Dưới đây là một số trường hợp cần áp dụng phương pháp niềng răng tại TPHCM để sở hữu hàm răng đều đẹp:
- Răng mọc lệch lạc: Răng mọc chen chúc, không khớp vào vị trí đã định trên xương hàm.
- Răng hô: Răng hàm trên bị di chuyển ra phía trước quá nhiều so với răng hàm dưới nên khó tạo thành khớp cắn chuẩn.
- Răng khấp khểnh: Răng hàm dưới mọc chìa ra ngoài quá nhiều theo chiều dọc.
- Răng thưa: Các răng cách xa nhau tạo nên những khoảng trống.

Các trường hợp nên thực hiện niềng răng chỉnh nha
Chi phí niềng răng là bao nhiêu?
Hiện nay có 2 phương pháp điều chỉnh răng phổ biến là khay niềng trong suốt Invisalign và niềng răng mắc cài truyền thống. Chi phí niềng răng với mắc cài sẽ thấp hơn so với phương pháp còn lại nên được đa số khách hàng lựa chọn.
Chi phí chỉnh nha là bao nhiêu còn phụ thuộc nhiều vào công nghệ niềng răng mà bạn lựa chọn cùng mức độ phức tạp của răng.
Tuy nhiên, việc lựa chọn gói niềng cao hay thấp không quyết định đến kết quả cuối cùng, vì bạn lựa chọn phương pháp nào cũng sẽ nhận được kết quả cuối giống nhau!
Tại nha khoa Nhân Tâm, chi phí niềng răng mới nhất được liệt kê chi tiết trong bảng giá dưới đây:
So với mức giá niêm yết, nha khoa Nhân Tâm luôn có những chương trình giảm giá hấp dẫn để khách hàng an tâm và làm giảm gánh nặng tài chính. Đi kèm với đó là chính sách trả góp với lãi suất 0%!
Xem thêm: Nên niềng răng cửa bằng phương pháp nào?
Những điều cần lưu ý khi tiến hành niềng răng
Trước khi quyết định niềng răng, khách hàng cần xác định rõ tình trạng răng của mình là gì (hô, móm, thưa, khấp khểnh,...). Đối với trường hợp khớp cắn một phần thì cần xác định rõ nguyên nhân của tình trạng này là do răng hay do cả răng và hàm.
Cần tiến hành phẫu thuật nếu có vết lõm do cơ quan chức năng phát triển thêm quá nhiều. Chỉ có như vậy thì phương pháp chỉnh nha mới mang lại kết quả tốt nhất.
Các chuyên gia cho rằng, niềng răng là một kỹ thuật nha khoa khó, đòi hỏi bác sĩ chuyên môn cần có tay nghề tốt, nếu không sẽ dẫn đến những sự cố không mong muốn.
Việc đánh giá khả năng di chuyển của răng về vị trí chuẩn tại cung hàm là đặc biệt quan trọng, vì vậy bạn cần phải làm theo chỉ định của bác sĩ nha khoa.


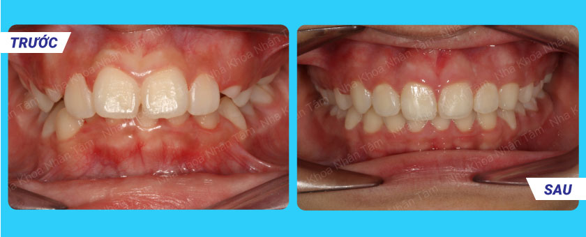
Niềng răng thành công tại phòng khám nha khoa Nhân Tâm
Mọi thắc mắc về phương pháp niềng răng chỉnh nha, chi phí niềng răng hoặc tìm hiểu chi tiết về dịch vụ niềng răng thẩm mỹ tại Nha khoa Nhân Tâm sẽ được giải đáp chi tiết khi bạn liên hệ với chúng tôi thông qua tổng đài ngay từ hôm nay!



