Cách điều trị răng thưa tại nhà được nhiều người truyền tai nhau trong thời gian gần đây là dùng chun buộc làm khít răng và dùng tay làm răng thưa sát khít lại với nhau. Tuy nhiên, cách làm này tiềm ẩn rất nhiều nguy cơ, khả năng viêm nhiễm, mắc các bệnh liên quan đến răng miệng rất có thể sẽ xảy ra, gây ảnh hưởng tiêu cực tới sức khỏe răng miệng. Vậy nên tốt nhất bạn nên tới địa chỉ nha khoa uy tín, chất lượng và áp dụng các kỹ thuật điều trị phù hợp.
Cách điều trị răng thưa tại nhà
Thời gian gần đây, có một vài cách điều trị răng thưa tại nhà đã được nhiều người truyền tai nhau, cụ thể các cách làm này như sau:
Dùng chun buộc làm khít răng
Phương pháp đơn giản này đã được khá nhiều người áp dụng. Bạn chỉ cần chuẩn bị một sợi dây chun nhỏ với độ đàn hồi tốt và buộc lên hai chiếc răng không sát khít với nhau trên cung hàm, lợi dụng lực co kéo của dây chun để đưa các răng sát lại với nhau, loại bỏ kẽ hở kém thẩm mỹ.

Dùng chun buộc làm khít răng là cách điều trị răng thưa tại nhà mà nhiều người đã truyền tai nhau
Dùng tay làm răng thưa sát khít lại với nhau
Với cách này, bạn đặt ngón tay trỏ và ngón tay cái vào vị trí răng thưa và dùng lực để kéo chúng sát lại gần nhau. Nên dùng lực nhẹ nhàng trong thời gian đầu sau đó tăng dần lực kéo lên.
Cách điều trị răng thưa tại nhà có thực sự hiệu quả?
Cách điều trị răng thưa tại nhà nêu trên mặc dù không tốn chi phí, dễ thực hiện nhưng hiệu quả mang lại có tốt không thì không thể khẳng định. Bởi đây là biện pháp điều trị truyền miệng, không được chứng minh bởi bất cứ cơ sở khoa học nào.
Ngoài ra, việc điều trị tại nhà còn tiềm ẩn rất nhiều nguy cơ, khả năng viêm nhiễm, mắc các bệnh liên quan đến răng miệng rất có thể sẽ xảy ra, gây ảnh hưởng tiêu cực tới sức khỏe răng miệng.

Cách điều trị răng thưa tại nhà có thể gây ảnh hưởng xấu đến sức khỏe răng miệng
Vậy nên thay vì áp dụng các biện pháp không có cơ sở khoa học, không chắc chắn về hiệu quả đem lại, thậm chí còn khiến sức khỏe bị ảnh hưởng thì tại sao bạn không tới một trung tâm nha khoa uy tín, chất lượng để điều trị.
Điều trị răng thưa tại nha khoa mặc dù sẽ tốn một khoản chi phí nhưng sẽ đảm bảo được tính an toàn và đem lại cho bạn kết quả như mong muốn. Đồng thời, tại các nha khoa còn có chính sách hỗ trợ ưu đãi giúp khách hàng bớt đi gánh nặng về tài chính.
Giải pháp hữu hiệu cho người bị thưa răng
Việc xác định biện pháp điều trị răng thưa hở kẽ tại nha khoa sẽ tùy thuộc vào tình trạng, mức độ, nhu cầu và khả năng tài chính của khách hàng.
Niềng răng

Niềng răng – giải pháp tối ưu cho người bị thưa răng
Trong các biện pháp điều trị thưa răng thì niềng răng được đánh giá là có hiệu quả tốt nhất. Niềng răng sẽ sử dụng lực kéo tạo ra từ mắc cài, dây cung, khay niềng để đưa các răng sát lại với nhau.
Đây là phương án điều trị an toàn, không xâm lấn đến răng thật, không mài răng, hiệu quả có thể duy trì đến trọn đời. Thời gian niềng răng tương đối dài, trung bình từ 18 đến 24 tháng nên bạn cần phải kiên trì.
Trám răng
Trám răng là phương án điều trị đem đến hiệu quả rất tích cực trong việc cải thiện tình trạng răng thưa. Bác sĩ sẽ sử dụng vật liệu trám chuyên dụng để đắp vào các cạnh răng nhằm đóng kín khoảng trống giữa chúng.

Trám răng khắc phục răng thưa, hở kẽ nhẹ
Với người bị thưa răng nhẹ, khoảng trống giữa các răng nhỏ hơn 2mm thì trám răng bằng composite là biện pháp đáng cân nhắc nhờ các ưu điểm:
- Tính thẩm mỹ cao, màu sắc của miếng trám giống với răng tự nhiên.
- Thời gian thực hiện nhanh chóng, chỉ mất từ 15 đến 20 phút với mỗi răng.
- Chi phí tiết kiệm.
- Không xâm lấn đến cấu trúc răng thật.
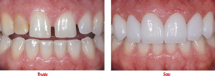
Bọc răng sứ

Bọc răng sứ thẩm mỹ
Khi răng thưa nhiều, khoảng trống giữa các răng lớn hoặc đi kèm với hiện tượng hô nhẹ, một vài răng khấp khểnh nhẹ thì bạn có thể lựa chọn bọc sứ để lấy lại vẻ đẹp thẩm mỹ cho hàm răng.
Phương pháp này cần mài răng thật theo tỉ lệ nhất định và bọc mão sứ với màu sắc, hình dáng tương tự như răng thật ra bên ngoài. Quá trình này sẽ cần đến 2 – 3 ngày để hoàn thiện. Khi đã phục hình xong, không những khoảng trống giữa các răng được lấp đầy mà các khiếm khuyết về hình thể, màu sắc răng cũng được xóa bỏ, giúp khách hàng có được hàm răng đều đẹp như ý muốn.
Nhược điểm của kỹ thuật này là cần mài răng nên sẽ xâm lấn ít nhiều tới răng thật.
Như vậy, cách điều trị răng thưa tại nhà rất khó đem lại hiệu như ý muốn, thậm chí chúng còn có thể gây ảnh hưởng không tốt đến sức khỏe. Vậy nên tốt nhất bạn nên tới địa chỉ nha khoa uy tín, chất lượng và áp dụng các kỹ thuật điều trị phù hợp.



