Niềng răng mắc cài kim loại là gì
Phương pháp Niềng răng mắc cài kim loại sử dụng mắc cài kim loại kết hợp với dây cung và khí cụ nha khoa khác để tạo lực kéo cho răng, giúp dịch chuyển về đúng vị trí trên cung hàm.

Phương pháp niềng răng mắc cài kim loại
Phương pháp niềng răng này có thể khắc phục hầu hết những khiếm khuyết răng phổ biến hiện nay như: răng hô, móm, răng bị lệch lạc, răng thưa, sai khớp cắn… Tùy thuộc vào tình trạng răng cụ thể, thời gian niềng răng có thể kéo dài từ 6 đến 24 tháng.
Tìm hiểu các loại niềng răng mắc cài kim loại
Các phương pháp niềng răng mắc cài kim loại phổ biến nhất hiện nay sẽ bao gồm có:
Niềng răng mắc cài truyền thống
Niềng răng mắc cài truyền thống là phương pháp cơ bản nhất và được sử dụng khá phổ biến hiện nay. Các mắc cài kim loại được làm từ nhiều chất liệu khác nhau như thép không gỉ hoặc các kim loại quý. Đặc biệt, những mắc cài này có màu sắc tương đối đa dạng, phù hợp với rất nhiều độ tuổi khác nhau.
Nhìn chung, loại niềng răng mắc cài kim loại truyền thống khá phổ biến bởi vì giá tiền phải chăng, hiệu quả mang lại rất tốt. Điểm hạn chế lớn nhất của phương pháp này chính là tính thẩm mỹ chưa được cao, gây ra khá nhiều bất tiện trong sinh hoạt hằng ngày.
Mắc cài kim loại tự buộc

Niềng răng mắc cài kim loại tự buộc
Loại niềng răng mắc cài kim loại tự buộc là một phương pháp tương đối mới, đặc trưng bởi vì sự tiện lợi của nó trong quá trình niềng răng. Đối với phương pháp này, mắc cài sẽ được thiết kế một hệ thống nắp trượt tự động để giữ cho dây cung thay vì sử dụng các dây thun như phương pháp truyền thống. Qua đó, đảm bảo được quá trình chỉnh nha sẽ luôn diễn ra liên tục, hạn chế được tình trạng bung sút dây cung, rút ngắn thời gian niềng răng.
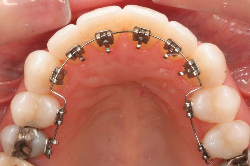
Niềng răng mắc cài mặt trong
Phương pháp này cũng giống như các phương pháp niềng răng mắc cài kim loại khác về cơ bản. Tuy nhiên, thay vì gắn mắc cài mặt ngoài răng, các bác sĩ sẽ gắn vào mặt bên trong, đem lại tính thẩm mỹ tối ưu nhất trong suốt quá trình niềng răng.

Niềng răng mắc cài kim loại mặt trong
Tuy nhiên, niềng răng mắc cài mặt trong là phương pháp đòi hỏi bác sĩ phải có chuyên môn cao do kỹ thuật thực hiện tương đối phức tạp, dẫn đến chi phí niềng răng cũng cao hơn khá nhiều so với các phương pháp khác.
Quy trình niềng răng mắc cài
Quy trình niềng răng mắc cài kim loại thông thường bao gồm 6 bước như cơ bản sau:
- Khám tổng quan, chụp X – quang, tư vấn về tình trạng răng miệng khách hàng.
- Lên phác đồ điều trị cụ thể.
- Làm sạch răng miệng và điều trị các bệnh lý về răng miệng nếu có.
- Lắp mắc cài.
- Tái khám định kỳ.
- Tháo niềng và đeo hàm duy trì.
Những lưu ý quan trọng khi niềng răng mắc cài kim loại
Trước khi niềng
Kiểm tra xem khách hàng có dị ứng với kim loại hay không.
Thử máu, kiểm tra sức khỏe, các bệnh lý về máu như: ung thư máu, máu khó đông, tiểu đường… Vì niềng răng có thể cần phải tiến hành nhổ răng, nếu khách hàng có các bệnh lý về máu có thể dẫn đến hiện tượng chảy máu nhiều, khó cầm máu hoặc nguy hiểm…

Chụp hình X-quang trước khi tiến hành niềng răng
Chụp X-quang trước khi niềng để bác sĩ thăm khám và xác định được mức độ lệch lạc của răng và lên kế hoạch điều trị phù hợp cho khách hàng. Chăm sóc răng miệng, điều trị tổng quát để có hàm răng khỏe mạnh trước khi niềng răng mắc cài kim loại.
Trong quá trình niềng
Chú ý vấn đề về chăm sóc và vệ sinh răng miệng thật kỹ càng, làm sạch tất cả mọi ngóc ngách từ các kẽ răng, giữa mắc cài với răng, dây cung… bằng cách sử dụng kết hợp chỉ nha khoa, bàn chải kẽ, máy tăm nước…
Tái khám định kỳ để Bác sĩ xác định được mức độ di chuyển của răng, siết răng và thay thun.
Khi đeo niềng răng mắc cài kim loại, bạn nên ăn các thức ăn mềm, dễ nhai, hạn chế những đồ ăn cứng, dùng lực nhai mạnh làm ảnh hưởng đến mắc cài, gây đau răng và cản trở trong quá trình chỉnh nha. Hạn chế các món ăn ngọt dễ gây ra sâu răng, hoặc các bệnh lý về răng.
Sau khi niềng
Tái khám định kỳ để bác sĩ có thể theo dõi mức độ ổn định của răng, nếu phát hiện những vấn đề phát sinh, bác sĩ có thể can thiệp kịp thời, hỗ trợ gắn mắc cài một vài răng để có thể duy trì kết quả sau niềng.
Đeo hàm duy trì theo 4 nguyên tắc sau để đảm bảo hàm răng được đều đẹp và tự tin:
- Tuân thủ thời gian đeo hàm
- Tuân thủ kỹ thuật tháo lắp
- Vệ sinh hàm duy trì
- Tái khám đúng hẹn
Bạn cần phải chú ý vấn đề sức khỏe và vệ sinh răng miệng: Hàm răng sau khi tháo niềng tương đối nhạy cảm, bạn cần chú ý vấn đề vệ sinh và chăm sóc răng miệng để có một hàm răng khỏe mạnh, đều đẹp và tự tin. Không nên tẩy trắng răng một khoảng thời gian sau khi tháo niềng để hạn chế bị ê buốt và khó chịu cho răng.
Niềng răng mắc cài kim loại là phương pháp phổ biến hiện nay, chúng mang lại hiệu quả chỉnh răng cao mà chi phí thực hiện phải chăng. Tùy theo tình trạng của răng, điều kiện kinh tế và thời gian của khách hàng để lựa chọn phương pháp niềng răng này. Để được tư vấn trực tiếp, quý khách hàng vui lòng liên hệ trực tiếp đến phòng khám nha khoa Nhân Tâm.



