Các kẽ răng bị đen có thể xảy ra do nhiều nguyên nhân như sâu răng, tích tụ mảng bám lâu ngày, vệ sinh răng sai cách, nhiễm kháng sinh,... Tùy vào từng nguyên nhân mà bác sĩ sẽ chỉ định biện pháp khắc phục phù hợp bao gồm chữa sâu răng, cạo vôi răng, tẩy trắng, bọc sứ,…
Nguyên nhân các kẽ răng bị đen
Các kẽ răng bị đen là hiện tượng vị trí nối tiếp giữa các răng bị biến đổi màu sắc. Tình trạng này xuất hiện ở khá nhiều người và theo các bác sĩ, đây có thể là dấu hiệu cảnh báo của các bệnh lý liên quan đến răng miệng như sâu răng, viêm nướu, viêm nha chu,…
Đen kẽ răng thường xuất hiện do nhiều nguyên nhân khác nhau, một số nguyên nhân thường gặp bao gồm:
Sâu răng
Có thể nói, sâu răng là một trong các nguyên nhân hàng đầu khiến kẽ răng của chúng ta bị đen. Sâu răng là tình trạng các mô cứng bị vi khuẩn có trong mảng bám tấn công, hình thành các lỗ sâu li ti trên bề mặt răng.
Sau một thời gian, các lỗ này sẽ lớn dần lên và chúng ta có thể nhìn thấy chúng bằng mắt thường. Các lỗ sâu rất hay xuất hiện tại cạnh răng hoặc kẽ răng nên sâu răng là yếu tố phổ biến nhất dẫn đến đen kẽ răng.
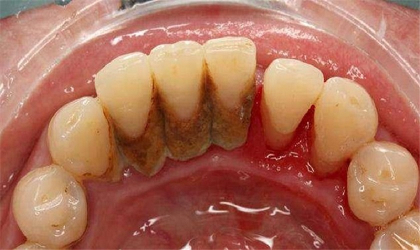
Tích tụ mảng bám

Mảng bám tích tụ lâu ngày sẽ khiến các kẽ răng bị đen
Mảng bám tích tụ lâu ngày trên răng sẽ hình thành nên vôi răng. Vôi răng thường có bề mặt nhám, tạo điều kiện cho vi khuẩn bám vào và sinh sôi. Nếu không nhanh chóng giải quyết vấn đề này, các mảng đen ở kẽ răng sẽ nhanh chóng xuất hiện.
Làm sạch răng không đúng cách
Việc vệ sinh răng miệng sai cách không những khiến cho các kẽ răng bị đen mà còn là nguyên nhân gây ra hàng loạt các chứng bệnh khác liên quan đến răng miệng.
Nhiễm kháng sinh

Răng xỉn màu do nhiễm kháng sinh
Kháng sinh và các loại thuốc tân dược khác cũng là nguyên nhân khá phổ biến làm biến đổi màu răng. Phụ nữ có thai nếu dùng thuốc kháng sinh có thể sẽ gây ảnh hưởng đến màu răng sau này của trẻ. Người lớn sử dụng thuốc cũng khiến nguy cơ xỉn màu răng tăng lên, tạo thành các vệt đen tại kẽ răng.
Ngoài ra, nếu nước sử dụng hàng ngày của bạn bị nhiễm fluor hoặc ăn uống không đủ chất thì kẽ răng cũng có thể bị đổi màu.
Di truyền
Độ dày mỏng, màu sắc, hình dáng của răng chịu ảnh hưởng bởi yếu tố di truyền. Vì vậy, đen kẽ răng cũng có thể là do di truyền.
Cách khắc phục khi các kẽ răng bị đen
Đen kẽ răng nếu không khắc phục kịp thời có thể kéo theo nhiều vấn đề nghiêm trọng. Vì vậy, bạn cần tìm ra một biện pháp thích hợp để khắc phục tình trạng này càng sớm càng tốt.
Thông thường, để chữa trị dứt điểm vấn đề trên, các bác sĩ sẽ xác định nguyên nhân cụ thể trước, sau đó chỉ định các biện pháp phù hợp. Một số phương pháp thường được áp dụng bao gồm:
Điều trị sâu răng
Nếu nguyên nhân gây đen kẽ răng của bạn là sâu răng thì biện pháp duy nhất để khắc phục chính là điều trị sâu răng. Với người sâu răng nhẹ, trám răng sẽ là sự lựa chọn tối ưu vì tinh thuận tiện và hiệu quả mà nó đem lại.
Răng sau khi trám vẫn giữ được hình dáng và màu sắc như răng tự nhiên, các vệt đen từ đó cung bị che lấp đi, giúp bạn tự tin hơn khi giao tiếp với người khác.
Tẩy trắng răng

Tẩy răng là biện pháp tốt để khắc phục đen kẽ răng
Bạn cũng có thể tẩy trắng để khôi phục lại màu sắc của răng. Hãy lựa chọn một trung tâm nha khoa tốt để áp dụng kỹ thuật này. Tại đây, các bác sĩ sẽ dùng thuốc tẩy chuyên dụng trong nha khoa cùng các máy móc hiện đại để loại bỏ các vệt xỉn màu và đem đến cho bạn hàm răng răng trắng sáng, khỏe đẹp.
Cạo vôi răng
Nguyên nhân gây đen kẽ răng có thể là do mảng bám tích tụ lâu ngày nên cạo vôi răng là cách làm đơn giản, hiệu quả giúp bạn cải thiện và phòng ngừa tình trạng này.
Bọc răng sứ
Răng sứ thẩm mỹ hiện đang là giải pháp được rất nhiều người lựa chọn giúp giải quyết vấn đề về màu sắc răng do nhiều nguyên nhân. Với kỹ thuật này, các bác sĩ sẽ mài đi một lớp men răng sau đó bọc mão sứ ra bên ngoài. Các mão sứ được chế tác với độ thẩm mỹ cao chắc chắn sẽ giúp bạn lấy lại sự tự tin cùng nụ cười tỏa nắng.
Qua các thông tin trong bài viết, Nha khoa Nhân Tâm tin rằng các bạn đã hiểu rõ về nguyên nhân và cách khắc phục khi các kẽ răng bị đen. Nếu còn bất kì băn khoăn nào, bạn hãy gọi đến số điện thoại 1900 56 5678 để được tư vấn miễn phí nhé.



