Bọc răng sứ hiện đang là trào lưu thẩm mỹ răng được nhiều người ưa chuộng. Phương pháp này không chỉ mang đến một hàm răng đều đẹp, trắng sáng tự nhiên mà còn đảm bảo chức năng nhai.
Khi thực hiện bọc răng sứ, Bác sĩ sẽ mài đi một phần răng thật để làm trụ, sau đó thiết kế mão răng sứ theo dấu răng của khách hàng rồi bọc lên trên trụ răng thật, hoàn tất quá trình bọc răng sứ.
Không phải trường hợp nào cũng có thể bọc răng sứ thẩm mỹ. Chính vì thế, để biết tình trạng của mình có phù hợp bọc răng sứ hay không thì nên tìm đến nha khoa uy tín để được Bác sĩ thăm khám và tư vấn cụ thể. Nha khoa Nhân Tâm với đội ngũ Bác sĩ trên 20 năm kinh nghiệm, chuyên sâu trong lĩnh vực răng sứ cùng với trang thiết bị, công nghệ hiện đại chắc chắn sẽ mang lại cho bạn hàm răng đều đẹp như mong ước.
Thế nào là bọc răng sứ?
Theo Ts.Bs Võ Văn Nhân - Giám đốc Trung tâm Nha khoa Nhân Tâm, bọc răng sứ là một kỹ thuật tiên tiến trong ngành nha khoa hiện đại, nhằm mang lại hàm răng đều đẹp, trắng bóng tự nhiên trong một thời gian ngắn cho khách hàng.
Về mặt kỹ thuật, làm răng sứ chỉ tác động vào răng và không gây ảnh hưởng đến vùng nướu hay các mô mềm ở khoang miệng. Cụ thể là Bác sĩ sẽ tiến hành mài bớt mô răng tạo thành trụ và lắp một thân răng sứ ở bên trên để vừa bảo vệ răng thật, vừa phục hình lại chiếc răng bị tổn thương (sứt, mẻ, gãy, nhiễm màu…). Ngay sau khi phục hình, khách hàng sẽ sở hữu hàm răng đều đẹp và thực hiện tốt chức năng ăn nhai.

Bọc răng sứ để sở hữu hàm răng thẳng, đều, đẹp.
Những trường hợp nên và không nên bọc răng sứ?
Có nên làm răng sứ? Không phải trường hợp nào cũng có thể bọc răng sứ. Để biết được tình trạng của mình có bọc răng sứ được hay không, bạn phải cần được Bác sĩ thăm khám, chụp phim và đưa ra chỉ định.
Những trường hợp nên bọc răng sứ:
- Răng bị gãy, vỡ lớn.
- Răng đã chữa tủy, chết tủy. Thường những răng này rất giòn, dễ vỡ, nên bọc sứ để bảo tồn răng thật.
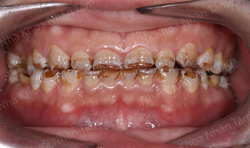
- Răng bị nhiễm màu nặng, nhiễm kháng sinh - tetracycline nặng mà phương pháp tẩy trắng răng không mang lại hiệu quả
- Răng bị khiếm khuyết bẩm sinh: răng thiểu sản men răng (mô răng yếu), răng hình chêm (hình dáng ko đẹp),…
- Răng bị thưa, hở kẽ nhiều không thể trám.
- Răng lệch lạc ở mức độ nhẹ. Trường hợp răng lệch lạc nhiều nên chỉnh hình răng trước, không nên để vậy làm răng sứ.

Răng bị nhiễm màu nặng không thể tẩy trắng thì có thể khắc phục bằng bọc răng sứ
Những trường hợp không nên bọc răng sứ:
- Những người trẻ tuổi (dưới 18 tuổi), buồng tủy còn quá lớn, khi mài răng để bọc sứ thì sẽ dễ gây ảnh hưởng đến tủy.
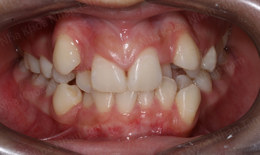
- Răng mọc chen chúc, nằm lệch nhau quá nhiều. Những trường hợp này khi muốn bọc sứ phải mài răng rất nhiều mô răng, khiến răng yếu, dễ gãy.
- Bệnh nhân có tình trạng bệnh lý viêm nướu, viêm nha chu, chảy máu nướu khiến răng lung lay, mất răng. Với trường hợp răng bị viêm nha chu, viêm nướu thì nên điều trị trước khi bọc răng sứ, còn trường hợp răng lung lay thì bọc sứ sẽ không sử dụng được lâu dài.

Răng mọc chen chúc, lệch lạc quá nhiều nên thực hiện niềng răng
Quy trình và thời gian làm răng sứ thẩm mỹ
Thời gian làm răng sứ kéo dài bao lâu sẽ phụ thuộc vào rất nhiều yếu tố khác nhau. Trong đó, quan trọng nhất là tình trạng sức khỏe răng miệng cũng như số lượng răng sứ mà khách hàng cần thực hiện. Với những người không cần chữa tủy hay điều trị viêm nướu hay các bệnh lý về răng miệng khác, và chỉ làm 1 - 2 răng thì thời gian thực hiện sẽ nhanh hơn những người bị sâu răng, cần điều trị nướu và làm nguyên hàm răng.
Do vậy, để biết chính xác thời gian làm răng sứ kéo dài bao lâu thì khách hàng nên đến trực tiếp các trung tâm nha khoa tốt nhất và uy tín để được các Bác sĩ thăm khám và tư vấn khoảng thời gian thực hiện.
Tại Nha khoa Nhân Tâm, quy trình bọc răng sứ sẽ trải qua 5 bước như sau:
Bước 1: Thăm khám và tư vấn
Trước khi bọc răng sứ, Bác sĩ sẽ thăm khám tổng quát tình trạng răng miệng của khách hàng và thực hiện chụp phum X-quang CT Cone Beam 3D để xác định chính xác khiếm khuyết về răng, giúp lập kế hoạch điều trị chính xác.

Chụp phim X-quang CT Cone Beam 3D
Bước 2: Lên kế hoạch điều trị
Dựa vào kết quả thăm khám cũng như nhu cầu của từng khách hàng mà Bác sĩ sẽ lên kế hoạch làm răng sứ phù hợp. Bác sĩ sẽ thực hiện thiết kế nụ cười nhằm thấy trước kết quả điều trị cụ thể, từ đó Bác sĩ sẽ trao đổi và tư vấn cho khách hàng cách điều chỉnh phù hợp nhất.
Bước 3: Gây tê và mài răng
Bác sĩ sẽ gây tê trước rồi mới tiến hành mài răng cho bệnh nhân nhằm tránh cảm giác ê buốt, khó chịu cho khách hàng trong suốt quá trình thực hiện. Quá trình mài răng sẽ được tiến hành một cách tỉ mỉ, không chạm đến tủy hay gây ảnh hưởng đến các răng kế cận.

Quy trình bọc răng sứ tại Nha khoa Nhân Tâm
Bước 4: Lấy dấu mẫu hàm và thiết kế mão răng sứ
Sau khi mài răng, Bác sĩ sẽ tiến hành lấy dấu mẫu hàm bằng công nghệ lấy dấu răng kỹ thuật số 3Shape 3D, giúp lấy dấu răng chính xác và nhanh chóng chỉ sau 2 phút. Sau đó chuyển toàn bộ những số liệu này qua cho Labo để các kỹ thuật viên chế tạo răng sứ. Trong thời gian đợi gắn răng sứ, bệnh nhân sẽ được gắn răng tạm để đảm bảo thẩm mỹ và giúp quá trình ăn nhai dễ dàng.
Bước 5: Gắn răng sứ
Bác sĩ tiến hành gắn răng sứ lên răng đã mài, cân chỉnh lại thẩm mỹ và khớp cắn sao cho tối ưu. Khi khách hàng cảm thấy thoải mái, ăn nhai tốt thì Bác sĩ sẽ gắn răng sứ cố định, hoàn thành quá trình bọc răng sứ.
Nha khoa Nhân Tâm – Địa chỉ bọc răng sứ uy tín hàng đầu Việt Nam
Với hơn 20 năm hoạt động, Nha khoa Nhân Tâm luôn là một trong những địa chỉ chất lượng hàng đầu về dịch vụ trồng răng sứ. Nơi đây quy tụ đội ngũ Bác sĩ có chứng chỉ hành nghề, nhiều năm kinh nghiệm, tốt nghiệp chuyên ngành Răng - Hàm - Mặt tại các trường Đại học Y Dược nổi tiếng trong và ngoài nước. Hàng năm, các Bác sĩ đều được cử đi tham dự các khóa đào tạo nâng cao tay nghề tại những nước có nền nha khoa phát triển bậc nhất trên thế giới.
Với kiến thức chuyên môn vững vàng cùng đôi bàn tay khéo léo, đồng thời luôn áp dụng theo quy trình chuẩn quốc tế, các Bác sĩ của chúng tôi cam kết sẽ mang đến kết quả tốt nhất cho khách hàng. Giám đốc Trung tâm Nha khoa Nhân Tâm là Ts.Bs Võ Văn Nhân, ông tốt nghiệp Master Implant tại UCLA Hoa Kỳ và là chuyên gia hàng đầu trong lĩnh vực Implant và răng sứ thẩm mỹ tại Việt Nam.

Nha khoa Nhân Tâm - Địa chỉ làm răng sứ uy tín hàng đầu tại Việt Nam
Hiện nay, Nha khoa Nhân Tâm đang ứng dụng công nghệ CAD/ CAM trong việc phục hình răng sứ thẩm mỹ. Công nghệ này mang lại nhiều ưu điểm vượt trội như màu sắc và hình dáng của răng sứ đẹp tự nhiên như răng thật, độ chính xác tuyệt đối (độ chính xác được tính bằng. Hơn nữa, máy tính còn có phần mềm điều chỉnh khớp cắn nên sau khi gắn răng, Khách hàng sẽ không có cảm giác lạ như các kỹ thuật phục hồi răng thông thường, vì thế ăn nhai sẽ thoải mái và cảm giác ngon miệng hơn. Với công nghệ này, thời gian làm răng sứ sẽ chỉ diễn ra trong khoảng 1 – 2 ngày là đã hoàn tất mọi quá trình.

Khách hàng bọc răng sứ tại Nha khoa Nhân Tâm
Trên đây là những thông tin cần biết về dịch vụ bọc răng sứ. Nếu còn thắc mắc điều gì, quý khách hãy liên hệ trực tiếp với Nha khoa Nhân Tâm theo số Hotline 1900 56 5678 để được chúng tôi tư vấn cụ thể.



