Chăm sóc sao cho răng trẻ em đẹp, đều, chắc khỏe là vấn đề được nhiều phụ huynh quan tâm. Nha khoa Nhân Tâm sẽ giúp ba mẹ bằng cách bật mí 5 bí quyết “vàng” trong quá trình chăm răng trẻ dưới đây!
Theo dõi quá trình mọc răng sữa, thay răng và mọc răng vĩnh viễn ở trẻ
Sức khỏe và thẩm mỹ hàm răng trẻ em phụ thuộc rất nhiều vào quá trình mọc và thay răng ở trẻ. Trẻ sẽ mọc chiếc răng sữa đầu tiên vào khoảng 6 tháng tuổi và bắt đầu thay răng vào khoảng 6 tuổi. Đến năm 13 tuổi, trẻ đã hoàn tất quá trình thay răng và có hàm răng vĩnh viễn hoàn thiện.
Trong thời gian trẻ mọc răng sữa, thay răng và mọc răng vĩnh viễn, phụ huynh cần chú ý theo dõi sát sao. Vì rất nhiều vấn đề có thể xảy ra như sẽ mọc răng quá sớm/ quá muộn. Trẻ rụng răng sữa trước độ tuổi hoặc răng sữa không rụng khi răng vĩnh viễn mọc lên.
Nếu quá trình mọc răng và thay răng không thuận lợi thì sẽ tăng nguy cơ trẻ bị thiếu răng bẩm sinh hoặc răng mọc lệch lạc, hô, móm… ảnh hưởng đến chức năng ăn nhai và thẩm mỹ của trẻ.

Lịch mọc và thay răng ở trẻ
Để răng trẻ em đẹp, đều, chắc khỏe thì ba mẹ cần theo dõi xem quá trình mọc răng và thay răng có những vấn đề bất thường trên hay không. Nếu có thì cần đưa trẻ đến Nha khoa để thăm khám và kịp thời điều trị.
Hướng dẫn trẻ vệ sinh răng miệng đúng cách
Việc vệ sinh răng miệng vô cùng quan trọng để giúp răng bé luôn chắc khỏe. Ngay từ khi sinh ra, ba mẹ cần chú ý làm sạch nướu, lưỡi và khoang miệng bằng cách rơ miệng bằng nước muối sinh lý.
Khi trẻ mọc răng, ba mẹ cần giúp trẻ đánh răng theo hướng dẫn của Bác sĩ nha khoa. Đối với những trẻ lớn, đã có thể tự đánh răng thì cần hỗ trợ, theo dõi cho đến khi trẻ có thể tự đánh răng thuần thục và đúng cách.
Cần đánh răng ít nhất 2 lần/ ngày vào buổi sáng và tối. Sau mỗi lần ăn nên súc miệng và loại bỏ thức ăn thừa bằng chỉ nha khoa. Sau khi vệ sinh răng có thể sử dụng nước muối hoặc dung dịch súc miệng chuyên dụng để tiêu diệt vi khuẩn gây hại cho răng.
Ba mẹ cũng nên tham khảo ý kiến của Bác sĩ để chọn loại bàn chải và kem đánh răng phù hợp với độ tuổi của trẻ.
Khi vệ sinh đúng cách, răng trẻ em sẽ chắc khỏe, hạn chế được các bệnh lý như sâu răng, viêm nướu… Đồng thời, còn giảm thiểu các bệnh thường gặp ở trẻ như viêm mũi, viêm họng, viêm A, viêm đường hô hấp, lở miệng…

Hướng dẫn trẻ vệ sinh răng miệng đúng cách
Tạo thói quen thăm khám răng miệng định kỳ
Hầu hết ba mẹ vẫn chưa chú trọng việc cho trẻ thăm khám răng định kỳ, mà chỉ cho bé đi nha sĩ khi răng bé có vấn đề. Điều này dẫn đến việc một số trẻ khi đến Bác sĩ thì tình trạng răng đã nghiêm trọng, sâu răng đã vào tủy…
Do đó, ba mẹ cần tạo thói quen cho trẻ thăm khám định kỳ 6 tháng/ lần tại địa chỉ nha khoa tốt, chất lượng để Bác sĩ vệ sinh răng miệng và hỗ trợ loại bỏ vôi răng, đồng thời kiểm tra quá trình phát triển của răng và xương hàm.
Nếu có những bất thường như răng mọc lệch, hô, móm… thì Bác sĩ sẽ kịp thời đưa ra giải pháp khắc phục tiền chỉnh nha hoặc chỉnh nha…

Tạo thói quen thăm khám răng miệng định kỳ cho trẻ
Lối sống khoa học, chế độ ăn uống lành mạnh
Để bảo vệ sức khỏe răng trẻ em, bên cạnh việc vệ sinh răng miệng hằng ngày thì người lớn cần xây dựng cho trẻ lối sống khoa học và chế độ ăn uống lành mạnh.
Một trong những nguyên nhân hàng đầu gây sâu răng ở trẻ là thói quen ăn ngọt và ăn vặt. Trẻ rất thích những món ăn nhiều đường như bánh, kẹo, nước ngọt.
Những món ăn này cũng là thứ ưa thích của vi khuẩn gây hại cho răng, chúng sẽ phân hủy lượng đường có trong thức ăn bám trên răng để tạo ra axit ăn mòn men răng, phá hủy men răng và hình thành lỗ sâu răng.

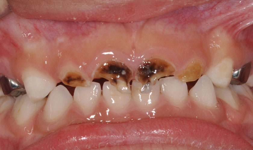
Trẻ bị sâu răng
Vì vậy, răng trẻ em đẹp, chắc khỏe thì ba mẹ cần cho trẻ ăn uống đủ chất, hạn chế các thực phẩm giàu đường, cho trẻ súc miệng và vệ sinh răng kỹ lưỡng, tăng cường các thực phẩm tốt cho răng như trứng, sữa, phô mai, cá, hải sản, rau xanh…
Loại bỏ các thói quen có hại cho răng
Những thói quen xấu như mút tay, đẩy lưỡi, ăn ngậm, bú bình khi ngủ, cắn các vật cứng… cũng góp phần khiến răng dễ bị lệch lạch hay nứt, mẻ… Nếu trẻ có những thói quen này, phụ huynh hãy tập cho trẻ bỏ dần. Hãy thay bằng những thói quen tốt như đánh răng, khám răng… nhé!
Trên đây là những bí quyết giúp răng trẻ em đẹp, đều, chắc khỏe mà ba mẹ có thể áp dụng để trẻ có sức khỏe răng miệng tốt nụ cười đẹp, tự tin trong tương lai. Nếu cần hỗ trợ tư vấn tình trạng răng miệng của bé miễn phí, ba mẹ có thể liên hệ cho chúng tôi qua Hotline 1900 56 5678.




