Bệnh nha chu là tình trạng bệnh lý răng miệng khá phổ biến, tuy nhiên có nhiều người đánh giá chưa đúng tính chất nghiêm trọng của bệnh cho đén khi bệnh tiến triển nặng dẫn đến các hệ lụy xấu như chết tủy, mất răng, ảnh hưởng đến sức khỏe và làm giảm chất lượng cuộc sống.
Bệnh nha chu thật sự nguy hiểm như thế nào?
Viêm nha chu là một bệnh lý răng miệng nguy hiểm, có thể để lại nhiều hậu quả nghiêm trọng nếu không được điều trị.
Nguyên nhân là do sự tích tụ của các mảng bám trên răng, theo thời gian, các mảng bám này dần cứng lại và hình thành các mảng bám quanh răng, gây ra tình trạng viêm nướu.
Vi khuẩn trong cao răng bắt đầu từ nướu và lan xuống cấu trúc mô nha chu bên dưới, tại đây nướu bị tụt xuống, phá hủy xương ổ răng và hình thành các túi nha chu.

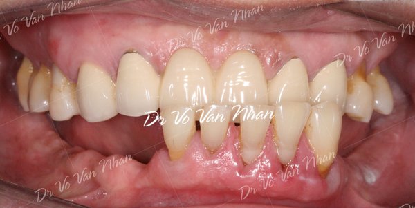
Sâu răng, tụt nướu và tiêu xương ở bệnh nhân nha chu
Hậu quả của bệnh viêm nha chu là gì?
Viêm nha chu có thể gây ra những hậu quả rất nghiêm trọng:
- Vi khuẩn độc hại trong mảng bám răng có thể làm hỏng xương nâng đỡ răng, dẫn đến tiêu xương.
- Răng lung lay và yếu dần dẫn đến nguy cơ mất răng.
- Chức năng nhai suy giảm dần ảnh hưởng đến khớp thái dương hàm và sức khỏe con người.
Dấu hiệu để nhận biết bệnh lý viêm nha chu
Để nhận biết bệnh nha chu, bạn có thể căn cứ vào các triệu chứng sau:

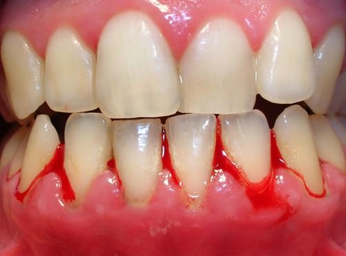
Nướu chảy máu, sưng viêm là những dấu hiệu đầu tiên và dễ nhận biết nhất của bệnh lý nha chu
- Chảy máu, sưng và viêm nướu là những dấu hiệu đầu tiên và dễ thấy nhất của bệnh nha chu
- Nướu có thể dễ bị chảy máu do bất kỳ ảnh hưởng nào từ việc đánh răng, ăn thức ăn cứng, v.v.
- Nướu bị viêm và tấy đỏ, mô nướu bị viêm loét trở nên lỏng lẻo và không bám chắc vào chân răng như bình thường.
- Xung quanh thân răng có nhiều cặn cao răng.
- Răng thưa và thưa.
- Chứng hôi miệng bắt đầu xuất hiện.
Xem thêm: Nha chu - Bệnh nguy hiểm trong nha khoa
Những trường hợp nào hay bị bệnh lý nha chu

Hút thuốc lá là một trong những nguyên nhân gây ra bệnh viêm nha chu
- Những người thường xuyên hút thuốc lá.
- Răng không được làm sạch đúng cách.
- Không cạo vôi răng thường xuyên, điều này có thể khiến mảng bám tích tụ theo thời gian.
- Viêm lợi không được điều trị kịp thời.
- Các bệnh lý về cơ thể như tiểu đường, căng thẳng, nghiến răng, mang thai, dậy thì,… cũng là một nguyên nhân gây ra bệnh nha chu.
- Chế độ ăn uống và thiếu hụt dinh dưỡng, rối loạn hệ thống miễn dịch.
Diễn biến của bệnh nha chu và cách điều trị bệnh nha chu
Diễn biến của bệnh nha chu được chia làm 3 giai đoạn, tùy theo giai đoạn bệnh lý mà bác sĩ sẽ chỉ định phương án điều trị phù hợp.
- Giai đoạn viêm nha chu nhẹ: Bác sĩ sẽ lấy sạch các mảng bám trên răng và hướng dẫn khách hàng cách chăm sóc răng miệng. Cách làm này được duy trì thường xuyên, kết hợp với việc thăm khám răng miệng để theo dõi sát sao tiến triển của bệnh viêm nha chu, từ đó có phương pháp điều trị kịp thời tiếp theo.
- Các giai đoạn phát triển của bệnh: Trong giai đoạn này, tùy từng trường hợp mà bác sĩ sẽ chỉ định phương pháp điều trị phù hợp. Thông thường, bệnh nhân được chỉ định trám răng lấy tủy để giúp bảo vệ răng bằng cách ngăn chặn vi khuẩn xâm nhập và phá hủy chân răng. Nếu có nhu cầu, bệnh nhân cũng sẽ được chỉ định phục hình răng sứ.
- Giai đoạn viêm nha chu nặng dẫn đến mất răng: Đây là giai đoạn nặng nhất của bệnh viêm nha chu. Ở giai đoạn này, nếu không thể giữ lại răng, bác sĩ sắp xếp cho bệnh nhân nha chu nhổ răng và trồng răng để phục hình lại chiếc răng đã mất.

Các giai đoạn phát triển của bệnh nha chu
Để ngăn ngừa bệnh nha chu, TS.Bác sĩ Võ Văn Nhân khuyến cáo nên đến phòng nha định kỳ 3 - 6 tháng/lần để kiểm tra và loại bỏ cao răng, mảng bám mà bàn chải không làm được.
Cạo vôi răng sẽ giúp bạn ngăn ngừa bệnh nha chu, có hàm răng sạch đẹp, tự tin hơn trong giao tiếp hàng ngày.
Điều trị triệt để bệnh nha chu Khách hàng cần tìm được nha khoa nha chu giỏi, bác sĩ giỏi giàu kinh nghiệm để mang lại kết quả điều trị nhanh nhất và tốt nhất.
Hi vọng những thông tin trên sẽ giúp bạn hiểu rõ hơn về bệnh nha chu và cách điều trị bệnh. Nếu còn bất kỳ thắc mắc nào cần giải đáp, hãy liên hệ với Nha khoa Nhân Tâm ngay hôm nay qua Hotline: 1900 56 5678 để được hỗ trợ nhanh nhất.



