Có thể thấy, tùy thuộc vào tình trạng răng và phương pháp chỉnh nha mà bạn lựa chọn, giá niềng răng tại Nha khoa Nhân Tâm sẽ được áp dụng với những mức khác nhau. Dưới đây là bảng giá dịch vụ niềng răng của Nha khoa chúng tôi:
Thông qua thăm khám, Bác sĩ sẽ báo cho bạn biết cần mức phí chính xác là bao nhiêu cho trường hợp của bạn. Do đó, để biết chính xác chi phí niềng răng – chỉnh nha, bạn nên đến trực tiếp Nha khoa Nhân Tâm để được các Bác sĩ thăm khám và tư vấn cụ thể nhất.
Đọc thêm: Chi phí niềng răng mới nhất tại nha khoa Nhân Tâm
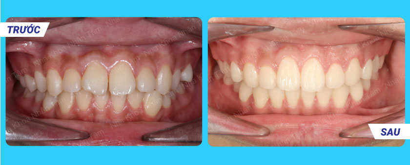
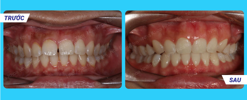
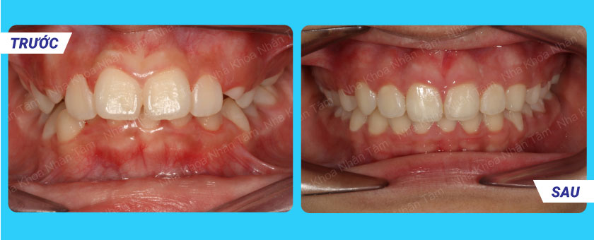
Kết quả niềng răng – chỉnh nha tại Nha khoa Nhân Tâm
Khi so sánh với nhiều trung tâm nha khoa khác, một vài Khách hàng cho rằng bảng giá dịch vụ niềng răng tại Nha khoa Nhân Tâm đang áp dụng có mức giá cao hơn. Tuy nhiên, chúng tôi cam kết chất lượng dịch vụ mà bạn nhận được hoàn toàn tương xứng với mức giá mà bạn phải chi trả.
Bạn có thể tham khảo những kết quả mà Nha khoa Nhân Tâm đã mang lại cho Khách hàng:




Hình ảnh khách hàng niềng răng tại Nha khoa Nhân Tâm
Chúng tôi tự tin bảng giá dịch vụ niềng răng tương xứng với hiệu quả mà dịch vụ tạo ra, giúp Khách hàng khắc phục tình trạng răng mọc lệch, hô, móm, khấp khểnh,… và sở hữu hàm răng đều đẹp như ý muốn.
Nếu muốn được tư vấn kỹ hơn về kỹ thuật niềng răng hoặc muốn biết chi phí niềng răng là bao nhiêu với trường hợp của mình, bạn có thể đăng kí hoặc liên hệ đến Nha khoa Nhân Tâm - nha khoa tốt ở TH.HCM theo những thông tin dưới đây để được các chuyên gia tư vấn chi tiết và hoàn toàn miễn phí.



