Áp xe răng là gì? Áp xe răng là tình trạng nhiễm trùng ở răng với triệu chứng đau nhức, tụ mủ hoặc đã chảy mủ. Khi nhận thấy bản thân có dấu hiệu áp xe chân răng bạn cần đi khám và chữa trị sớm để tránh biến chứng nguy hiểm. Tùy vào tình trạng của từng người mà bác sĩ sẽ chỉ định biện pháp chữa trị thích hợp. Các kỹ thuật thường được áp dụng bao gồm chích rạch ổ mủ, điều trị tủy hoặc nhổ răng.
Áp xe răng là gì?
Áp xe răng hay áp xe chân răng là tình trạng nhiễm trùng ở răng với triệu chứng đau nhức, tụ mủ hoặc đã chảy mủ. Đây thường là biến chứng của bệnh nha chu, sâu răng không được điều trị kịp thời, phù hợp hoặc do răng gãy vỡ khiến vi khuẩn xâm nhập vào tủy răng và làm hư hại tủy. Lúc này sẽ có hiện tượng tụ mủ tại gốc xương hàm gây ra áp xe.
Tốc độ tạo thành áp xe rất nhanh, đôi khi chỉ cần 1 – 2 ngày sau khi răng miệng nhiễm trùng. Bệnh có thể xảy ra ở bất kỳ đối tượng nào dù là trẻ em hay người lớn.

Tình trạng áp xe răng
Nguyên nhân gây ra áp xe răng
Tình trạng áp xe chân răng xảy ra khi tủy răng hoặc các mô mềm tại khu vực có nhiều mạch máu, mô liên kết bị vi khuẩn tấn công. Nguyên nhân dẫn đến tình trạng này bao gồm:
- Bệnh sâu răng, viêm tủy diễn ra trong thời gian dài không được chữa trị.
- Làm sạch răng miệng không đúng cách, không triệt để gây tích tụ mảng bám, tạo điều kiện cho vi khuẩn tấn công răng.
- Chấn thương do va đập, tai nạn làm răng bị vỡ, mẻ khiến vi khuẩn lây lan vào tủy.
- Ngoài ra, những vấn đề khác như bệnh tim mạch, tiểu đường,… cũng làm suy yếu hệ miễn dịch và tăng cơ nhiễm trùng, áp xe răng.
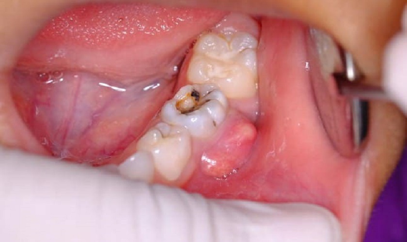
Dấu hiệu nhận biết áp xe chân răng

Dấu hiệu nhận biết áp xe chân răng
Để biết vấn đề bản thân đang mắc có phải là áp xe hay không thì ngoài việc tìm hiểu áp xe răng là gì, bạn cũng cần nắm được những dấu hiệu điển hình sau đây:
- Đau răng khi ăn nhai.
- Ê buốt răng khi sử dụng thực phẩm lạnh hoặc nóng.
- Trong miệng có vị đắng.
- Hơi thở xuất hiện mùi hôi khó chịu.
- Có thể sốt và sưng hạch ở cổ.
- Hai hàm trên và dưới bị sưng tấy.
- Đau tăng lên khi vận động cơ hàm.
- Nướu răng bị ửng đỏ, sưng tấy và có mủ đặc.
Khi nhận thấy bản thân có một trong các dấu hiệu trên, bạn cần đến trung tâm nha khoa gần nhất để thăm khám, chẩn đoán bệnh và có hướng xử lý kịp thời.
Phương pháp điều trị áp xe chân răng
Trong mỗi trường hợp, phương án điều trị sẽ khác nhau tùy vào tình trạng bệnh. Nhưng mục đích chung của những phương pháp này vẫn là loại bỏ ổ viêm, giảm nguy cơ biến chứng và quan trọng nhất là bảo tồn răng.
Trường hợp áp xe răng cấp tính
Tại vị trí viêm nhiễm, bác sĩ sẽ chích rạch niêm mạc đang bị thương tổn, hút bỏ mủ bên trong. Sau đó vệ sinh và đóng vết thương lại nhằm ngăn chặn vi khuẩn tái phát.
Khách hàng sẽ được kê đơn thuốc kháng sinh để giảm sưng tấy, nhiễm trùng lan rộng.

Bác sĩ sẽ kê đơn thuốc kháng sinh cho khách hàng sau khi làm sạch ổ mủ
Tùy vào tình trạng răng của mỗi người mà bác sĩ nha khoa sẽ đưa ra phương điều trị thích hợp tiếp theo đó, có thể áp dụng biện pháp lấy tủy răng nhằm bảo tồn chiếc răng có áp xe.
Trong biện pháp này, các mô tủy viêm, hoại tử sẽ được loại bỏ hết. Sau đó tạo hình lại ống tủy và lấp kín bằng vật liệu trám răng chuyên dụng hoặc bọc sứ để tránh tình trạng răng thật bị giòn và nứt vỡ.
Trường hợp áp xe răng nghiêm trọng
Khi áp xe chân răng đã tiến triển nghiêm trọng, chân răng lộ ra nhiều, hoại tử tủy răng, các biện pháp điều trị bảo tồn không có tác dụng thì bạn cần nhổ bỏ răng để lấy hết mủ trong ổ răng và chấm dứt cảm giác đau nhức.
Sau khi nhổ bỏ răng, để tránh hiện tượng tiêu xương, tụt lợi thì phục hình răng giả là việc làm cần thiết được các bác sĩ khuyến cáo thực hiện sớm.

Sau khi nhổ răng cần phục hình lại trong thời gian sớm nhất
Hiện nay, trồng răng implant là biện pháp phục hình toàn diện nhất, đem lại hiệu quả phòng tránh biến chứng do mất răng, đảm bảo khả năng ăn nhai như răng thật, độ bền chắc, tuổi thọ lâu dài, bạn có thể sử dụng răng Implant trọn đời mà không cần thay mới nếu chăm sóc, vệ sinh tốt.
Nếu còn câu hỏi nào về áp xe răng, bạn có thể gọi đến tổng đài chăm sóc khách hàng miễn phí 1900 56 5678 để được các tư vấn viên, bác sĩ tại Nha khoa Nhân Tâm tư vấn và hỗ trợ.



