Răng mọc trên lợi là hiện tượng răng mọc sai vị trí trên khuôn hàm, khiến hàm răng trở nên lộn xộn, cơ hàm bị sai lệch, trượt khỏi khớp cắn gây ảnh hưởng tới khả năng ăn nhai. Tình trạng này có thể xảy ra do nhiều nguyên nhân với các dạng: răng mọc trên phần lợi, răng mọc hướng lên mũi, răng mọc ngược vào trong, răng khôn mọc ngược. Lúc này, bạn cần tới nha khoa để thăm khám và tham khảo ý kiến bác sĩ về cách điều trị phù hợp.
Răng mọc trên lợi là gì? Do nguyên nhân nào gây nên?
Răng mọc trên lợi hay răng mọc ngược trên lợi là hiện tượng răng mọc sai vị trí trên khuôn hàm, khiến hàm răng trở nên lộn xộn, cơ hàm bị sai lệch, trượt khỏi khớp cắn gây ảnh hưởng tới khả năng ăn nhai. Trong một vài trường hợp, hiện tượng này còn làm thương tổn mô mềm trong khoang miệng do răng mọc ngược, mọc chỉa, đảo lộn thế răng.

Hiện tượng răng mọc trên lợi
Tình trạng khiếm khuyết này có thể xảy ra do nhiều nguyên nhân, trong đó, một số nguyên nhân thường gặp bao gồm:
- Khuôn hàm hẹp, không có đủ vị trí cho răng mọc khiến các răng chen chúc với nhau.
- Kích cỡ của răng không đều, những chiếc răng to bất thường sẽ chèn ép và lấn chiếm vị trí của răng khác khiến chúng phải tìm chỗ khác để mọc lên.
- Thói quen xấu từ nhỏ như mở miệng khi ngủ, mút tay, ngậm núm vú giả quá nhiều,… có thể dẫn đến răng mọc trên lợi.
- Do bẩm sinh.
- Các yếu tố tác động từ môi trường ngoài như ngã, va chạm, chấn thương,… cũng có thể tác động xấu tới mầm răng vĩnh viễn, nhất là trẻ em đang trong thời kỳ thay răng.
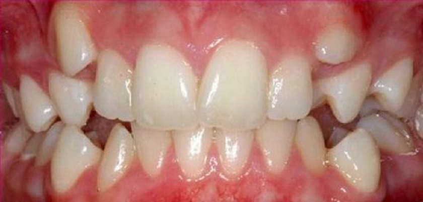
Các trường hợp răng mọc ngược trên lợi
Răng mọc ở trên phần lợi
Răng có xu hướng mọc cao hơn so với những chiếc răng khác, lệch hẳn ra khỏi cung hàm do cung hàm không có đủ chỗ trống hoặc do răng vĩnh viễn nhô lên quá sớm khi răng sữa còn chưa rụng.
Răng khôn mọc ngược
Răng khôn – chiếc răng mọc lên muộn nhất trên cung hàm thường có xu hướng mọc lệch do không đủ khoảng trống. Răng khôn có thể mọc ngang, đâm vào răng số 7 hoặc đâm vào xương hàm. Tình trạng này không chỉ gây ra cảm giác đau nhức mà còn cản trở sinh hoạt hành ngày, hoạt động ăn nhai và gây ra những hệ quả khôn lường.

Răng khôn mọc ngược
Răng mọc hướng lên mũi
Trường hợp này khá hiếm gặp, hiện nay trên thế giới chỉ xuất hiện vài ca. Răng không mọc bình thường mà bị mọc ngược hướng lên phía mũi có thể là vì mầm răng đã bị di chuyển quá nhiều. Hiện tượng này có thể gây ra các vấn đề về hô hấp, viêm xoang.
Răng mọc ngược vào trong
Tình huống này xảy ra do sự phát triển quá mức của cung hàm trên khiến răng hàm dưới cụp sâu vào trong. Điều này không chỉ gây ảnh hưởng đến thẩm mỹ mà còn làm mất cân đối giữa 2 hàm răng, cũng vì vậy mà khả năng ăn nhai bị suy giảm đáng kể.
Những ảnh hưởng do răng mọc trên lợi gây ra

Răng mọc ngược trên lợi đâm vào mô mềm
Chỉ cần một chiếc răng mọc sai vị trí cũng có thể gây ra cho bạn không ít phiền toái. Các tác hại mà răng mọc ngược trên lợi gây ra bao gồm:
- Làm mất cân đối khớp hàm, lệch khớp cắn và gây ảnh hưởng xấu tới chức năng ăn nhai.
- Răng mọc lộn xộn khiến thức ăn thường xuyên mắc lại kẽ răng, khó làm sạch, lâu ngày dẫn đến viêm lợi, sâu răng,… nặng nề hơn có thể gây mất răng vĩnh viễn.
- Răng mọc ngược vào trong có thể đâm vào lưỡi, môi gây chảy máu và thương tổn mô mềm.
Cách khắc phục răng mọc trên lợi
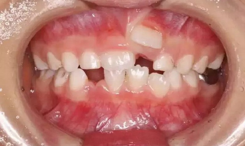
Đối với trẻ em
Với trẻ em trong thời kỳ thay răng, việc bảo vệ mô răng cần được ưu tiên hàng đầu. Vì vậy phương pháp khắc phục phổ biến nhất được đưa ra là niềng răng. Các khí cụ chuyên dụng trong nha khoa và hàm trainer sẽ được sử dụng để đưa răng về lại vị trí đúng.

Răng mọc trên lợi ở trẻ em
Đối với người lớn
Ở người trưởng thành, bác sĩ có thể chỉ định nhổ bỏ răng mọc sai lệch, niềng răng và phục hình lại răng mới. Niềng răng có thể áp dụng trong cho cả các sai lệch do răng và xương hàm trẻ em nhưng với người lớn thì niềng răng chỉ thích hợp với những sai lệch do răng. Còn nếu răng mọc sai vị trí do xương thì cần tiến hành phẫu thuật.
Trong bài viết là các thông tin cơ bản cần biết về hiện tượng răng mọc trên lợi. Khi phát hiện răng mọc bất thường, bạn hãy liên hệ với Nha khoa Nhân Tâm – trung tâm nha khoa TPHCM uy tín, chất lượng hàng đầu để được thăm khám và tư vấn biện pháp điều trị phù hợp nhất.



