Bạn có thể nhận thấy sâu răng bằng mắt thường hoặc khi nhai thức ăn. Khi bạn nhận biết sâu răng thông qua các biểu hiện và triệu chứng bên ngoài, có nghĩa là tình trạng sâu răng đã đến giai đoạn nặng.
Tình trạng răng có lỗ lớn được chia thành 3 cấp độ khác nhau chủ yếu dựa trên sự tổn thương của răng, ngà và tủy bên trong. Với từng mức độ sâu răng có lỗ, bác sĩ sẽ chỉ định các phương pháp cụ thể như trám răng, bọc sứ, nhổ răng…
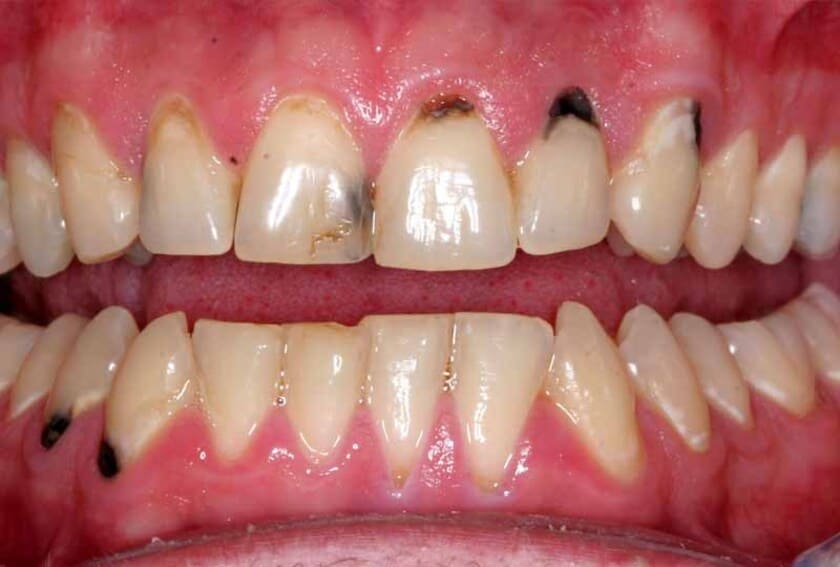
Những dấu hiệu nhận biết răng sâu nặng
Bạn có thể nhận thấy sâu răng bằng mắt thường hoặc khi nhai thức ăn. Những biểu hiện rõ nhất có thể thấy là:
- Các lỗ đen xuất hiện trên bề mặt răng.
- Răng nhạy cảm khi ăn thức ăn nóng/lạnh.
- Có cảm giác châm chích khi đánh răng.
- Thỉnh thoảng xuất hiện các cơn đau nhức ảnh hưởng ăn nhai.
- Sâu răng cũng là một nguyên nhân gây ra hơi thở có mùi.
Khi bạn nhận biết sâu răng thông qua các biểu hiện và triệu chứng bên ngoài, có nghĩa là tình trạng sâu răng đã đến giai đoạn nặng. Sâu răng nặng nếu kéo dài và không được xử lý kịp thời, người bệnh sẽ bị đau nhức ê buốt cả ngày, gặp nhiều khó khăn trong ăn uống và sinh hoạt. Khi vi khuẩn ăn sâu vào tủy, chân răng, các hốc xương hàm, răng sẽ có thể gãy, mẻ, nhiễm trùng chân răng,…

Khi bạn nhận biết sâu răng được bằng mắt có nghĩa là tình trạng sâu răng đã nặng
Các mức độ sâu răng có lỗ thủng
Tình trạng răng có lỗ lớn được chia thành 3 cấp độ khác nhau chủ yếu dựa trên sự tổn thương của răng, ngà và tủy bên trong. Các dấu hiệu của mỗi giai đoạn cũng rất đặc biệt, cụ thể:
Cấp độ 1
Sâu răng có những lỗ nhỏ li ti trên bề mặt răng, đây có thể là triệu chứng và biểu hiện ban đầu của tình trạng sâu răng. Theo thời gian, vi khuẩn sẽ tiếp tục tấn công lớp men răng, gây hại lớn hơn cho các mô răng với các lỗ sâu lớn.
Cấp độ 2
Sâu răng có lỗ to là một dạng sâu răng nghiêm trọng khi lớp men răng và ngà răng đã bị phá hủy. Khi đó, răng trở nên khá nhạy cảm, dễ bị ê buốt. Nếu thức ăn bị mắc vào trong lỗ rỗng sẽ gây cảm giác đau nhức dữ dội.
Cấp độ 3
Nếu sâu răng có lỗ to không được xử lý kịp thời, vi khuẩn sẽ tấn công mô tủy bên trong gây ra nhiều cơn đau nhức dữ dội và kéo dài. Tình trạng này sẽ nặng hơn nữa khiến nhiễm trùng lan rộng hoặc dẫn đến hoại tử tủy, làm chết tủy, thậm chí là rụng răng.

Sâu răng nặng có thể làm chết tủy thậm chí là rụng răng
Cách điều trị răng bị sâu lỗ to
Sâu răng có lỗ to không hiếm gặp ở cả trẻ nhỏ và người lớn. Không chỉ gây mất thẩm mỹ mà còn ảnh hưởng xấu đến sức khỏe gây đau nhức, ê buốt răng, thậm chí là nhiễm trùng chân răng. Với từng mức độ sâu răng có lỗ, bác sĩ sẽ chỉ định các phương pháp cụ thể cho từng trường hợp như sau:
Trám răng
Với tình trạng sâu răng có lỗ to vừa phải, trám răng sẽ giúp bảo vệ răng và hỗ trợ phục hình cho răng. Bác sĩ sẽ sử dụng chất liệu nha khoa Composite có màu sắc giống hệt răng nên trông rất tự nhiên. Bên cạnh đó, Composite đặc biệt tương thích với răng, vì vậy sẽ không gây ra bất kỳ tác động nào đối với cơ thể.
Kỹ thuật trám răng giúp bạn tránh tình trạng thức ăn bị mắc kẹt trong khoảng trống và ngăn không cho vi khuẩn tiếp tục phát triển. Đối với những trường hợp sâu răng lớn thì trám răng không phải là giải pháp phù hợp nhất bởi chất liệu trám lúc này không còn khả năng bám dính cao, lực nhai kém và theo thời gian sẽ dễ bị bong tróc.
Xem thêm: Top 10 cách trị sâu răng tại nhà hiệu quả, tiết kiệm chi phí

Với tình trạng sâu răng có lỗ to vừa phải trám răng sẽ là giải pháp phù hợp
Bọc sứ cho răng sâu lỗ to
Trong những trường hợp sâu răng nghiêm trọng hơn khi nó đã ăn sâu vào bên trong tủy, bác sĩ sẽ phải áp dụng kỹ thuật điều trị tủy, sau đó bọc răng sứ để khắc phục. Sau khi đã chữa tủy, bạn sẽ được bọc một mão sứ bên ngoài răng thật bị sâu, chúng có hình dạng và màu sắc giống hệt răng thật của bạn để bảo đảm được tính thẩm mỹ cao. Việc bọc răng sứ giúp bảo vệ chân răng thật tránh những tác động bất lợi từ bên ngoài là rất hiệu quả.

Sâu răng nghiêm trọng hơn sẽ phải áp dụng kỹ thuật bọc răng sứ để khắc phục
Nhổ răng và phục hồi răng với implant
Các trường hợp sâu răng nghiêm trọng không thể phục hồi, bác sĩ sẽ chỉ định nhổ răng. Sau đó có thể trồng răng giả để bảo đảm khả năng ăn nhai và tính thẩm mỹ của hàm răng. Cấy ghép implant là phương pháp phục hình hiện đại đem đến nhiều ưu điểm và thời gian sử dụng lâu dài nên bạn hoàn toàn có thể an tâm.

Sâu răng nghiêm trọng không thể phục hồi bác sĩ sẽ chỉ định nhổ răng
Nha khoa Nhân Tâm - Nha khoa chuyên nghiệp trong điều trị sâu răng
Nha khoa Nhân Tâm hiện đang áp dụng đa dạng các phương pháp khắc phục răng sâu lỗ to như: trám răng, bọc răng sứ, nhổ răng, cấy ghép implant… nhằm đáp ứng mong muốn của hầu hết mọi khách hàng trong và ngoài nước. Khi đến Nha khoa Nhân Tâm, bạn hoàn toàn có thể yên tâm nhờ:
Đội ngũ y bác sĩ chuyên nghiệp, giàu kinh nghiệm
Khi đến với Nha khoa Nhân Tâm, khách hàng sẽ được thăm khám, tư vấn bởi đội ngũ y bác sĩ chuyên nghiệp, được đào tạo bài bản, từng tu nghiệp nhiều năm ở nước ngoài. Phương pháp điều trị phù hợp chắc chắn sẽ khiến khách hàng hài lòng với kết quả đạt được.
Hệ thống trang thiết bị hiện đại
Trung tâm sở hữu hệ thống trang thiết bị hiện đại phục vụ đắc lực cho việc điều trị răng bị sâu lỗ to: Hệ thống chụp CT ConeBeam 3D giúp bác sĩ dễ dàng nắm bắt được tình trạng lâm sàng chính xác, từ đó đưa ra phương án khắc phục phù hợp. công nghệ CAD/CAM giúp thiết kế và chế tạo răng sứ tinh xảo, chính xác,
Đảm bảo vô trùng
Nha khoa Nhân Tâm còn đảm bảo vô trùng tối đa khi sử dụng máy xông khí dung vô trùng và nồi hấp khử trùng dụng cụ. Ngoài ra, khi đến đây, khách hàng có thể được chuẩn bị một bộ tay khoan riêng và một bộ dụng cụ riêng để tránh lây nhiễm chéo.
Quy trình điều trị khoa học
Tại Nha khoa Nhân Tâm, chúng tôi thực hiện quy trình điều trị chuyên sâu với các bước chuẩn xác, đáp ứng các quy định của Bộ Y tế, với thời gian điều trị nhanh chóng, an toàn và hiệu quả.

Nha khoa Nhân Tâm - Nha khoa chuyên nghiệp trong điều trị sâu răng
Cách phòng ngừa sâu răng hiệu quả
- Chải răng kỹ ngày 2 lần, không nên chải theo chiều ngang vì dễ làm hại men răng, tăng nguy cơ sâu răng.
- Có một chế độ ăn hợp lý, hạn chế ăn thức ăn nóng và lạnh, hạn chế ăn đồ ngọt, bổ sung nhiều thực phẩm giàu chất xơ, rau và trái cây.
- Sử dụng kem đánh răng có chứa florua.
- Sử dụng chỉ nha khoa để làm sạch mảng bám giữa răng và chân răng.
- Súc miệng bằng nước muối hoặc nước súc miệng kháng khuẩn mỗi ngày.
- Khám răng định kỳ 6 tháng/lần để xử lý kịp thời các bệnh lý răng miệng, đặc biệt là sâu răng có lỗ to.
Như vậy qua bài viết có thể thấy răng bị sâu lỗ to cần được xử lý càng nhanh càng tốt, tránh trường hợp sâu nặng hơn ăn sâu vào tủy và khó phục hồi. Mặc dù chữa sâu răng không phải lúc nào cũng khó về mặt kỹ thuật, nhưng để đạt được hiệu quả nhất định, bạn nên lựa chọn phòng khám nha khoa chất lượng, uy tín. Mọi thông tin chi tiết vui lòng liên hệ Nha khoa nhân Tâm để được tư vấn tốt nhất nhé!



