Răng bị sâu đục lỗ là biểu hiện cho thấy sâu răng đã ở mức độ nặng, không chỉ lớp men răng mà cả ngà răng cũng đã bị tổn thương, cần tiến hành trám răng hoặc bọc sứ sớm để ngăn chặn biến chứng nguy hiểm.
Nha khoa Nhân Tâm hiện đang cung cấp đầy đủ các biện pháp chữa trị răng bị sâu đục lỗ như trám răng, bọc sứ,.., đáp ứng đầy đủ nhu cầu đa dạng của các khách hàng, là lựa chọn hàng đầu dành cho bạn.
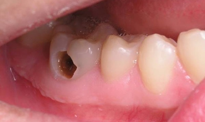
Tình trạng răng bị sâu đục lỗ
Răng bị sâu đục lỗ đa phần xảy ra ở các răng hàm. Răng cửa cũng có thể gặp vấn đề này những tỉ lệ thường thấp hơn. Lúc đầu, bề mặt răng chỉ xuất hiện các lỗ sâu li ti rất khó phát hiện bằng mắt thường. Sau đó, vi khuẩn gây hại tiếp tục tấn công làm phần men răng bị thương tổn nhiều hơn, phá hủy mô răng và tạo thành các lỗ thủng trên răng.
Răng bị thủng lỗ do sâu là biểu hiện cho thấy sâu răng đã ở mức độ nặng, không chỉ lớp men răng mà cả ngà răng cũng đã bị tổn thương. Răng có thể bị thủng một lỗ nhỏ rồi càng ngày càng bị ăn mòn nhiều, lỗ sâu to. Lúc này, người mắc bệnh sẽ cảm thấy ê buốt, đau nhức khi ăn uống đồ lạnh, nóng hoặc thức ăn rơi vào vị trí lỗ thủng.

Tình trạng răng bị sâu đục lỗ
Nếu không điều trị kịp thời, vi khuẩn sẽ tấn công vào cả tủy răng, gây ra cảm giác đau nhức dữ dội và kéo dài. Theo thời gian, vết sâu lan rộng dần, gây ra nhiều lỗ thủng và thậm chí lây sang các răng bên cạnh, kéo theo nhiều biến chứng phức tạp.
Phương pháp chữa trị răng bị sâu đục lỗ
Hiện nay có 2 phương pháp điều trị được áp dụng phổ biến nhất khi răng bị thủng lỗ do sâu là trám răng hoặc bọc răng sứ. Tùy vào từng tình trạng răng mà bác sĩ sẽ tư vấn cho bạn phương án điều trị thích hợp.
Trám răng
Kỹ thuật trám răng phù hợp với người mới bị sâu răng, tình trạng sâu còn nhẹ và lỗ sâu có kích cỡ nhỏ. Với phương pháp này, các bác sĩ sẽ thực hiện nạo sạch phần mô răng bị sâu sau đó dùng vật liệu chuyên dụng trong nha khoa để lấp đầy các lỗ thủng trên răng và làm đông cứng chúng lại với đèn chiếu halogen, giúp bạn lấy lại hàm răng chắc khỏe.

Trám răng cải thiện răng bị thủng lỗ do sâu
Bọc răng sứ
Phương pháp bọc sứ thường áp dụng cho người bị sâu răng ở mức độ nặng, kỹ thuật trám răng không có tác dụng do lỗ sâu quá to nhưng vẫn có thể bảo tồn răng.
Trong phương pháp này, bác sĩ sẽ dùng các mão sứ có hình dáng, kích thước và màu sắc tương tự như răng thật để bọc ngoài chiếc răng sâu đã mài cùi nhằm ngăn chặn sự phát triển và lây lan của vi khuẩn – nguyên nhân dẫn đến các lỗ thủng trên răng.
Nha khoa Nhân Tâm – Trung tâm nha khoa chữa trị sâu răng chất lượng cao
Nha khoa Nhân Tâm hiện đang cung cấp đầy đủ các biện pháp chữa trị răng bị sâu đục lỗ như trám răng, bọc sứ,.., đáp ứng đầy đủ nhu cầu đa dạng của các khách hàng trong và ngoài nước.
Đội ngũ bác sĩ chuyên môn cao
Tại Nhân Tâm, các khách hàng sẽ được trực tiếp các bác sĩ giàu kinh nghiệm, tay nghề cao, tốt nghiệp các trường đại học Y Dược danh tiếng và đã có thời gian học tập, tu nghiệp ở nước ngoài thăm khám, chẩn đoán, tư vấn và lập kế hoạch chữa trị phù hợp. Kết quả đạt được chắc chắn sẽ khiến bạn hài lòng.

Đội ngũ bác sĩ chuyên môn cao tại Nha khoa Nhân Tâm
Ứng dụng công nghệ hiện đại
Trung tâm được chú trọng đầu tư nhiều máy móc, thiết bị y tế hiện đại là công cụ hỗ trợ đắc lực trong việc thăm khám và điều trị như máy chụp X – quang Panorex, công nghệ trám răng thẩm mỹ, phần mềm chế tác răng sứ CAD/CAM,… Giúp bác sĩ xác định chính xác tình trạng răng, từ đó đưa ra kế hoạch chữa trị thích hợp nhất.
Đảm bảo vô trùng
Tất cả các thiết bị, dụng cụ, không gian điều trị đều được khử trùng thường xuyên, loại bỏ nguy cơ nhiễm trùng. Khi thăm khám tại Nhân Tâm, mỗi khách hàng sẽ được trang bị một bộ dụng cụ, tay khoan riêng để tránh lây nhiễm chéo.
Nha khoa Nhân Tâm - trung tâm nha khoa quận 10 đáp ứng đầy đủ các tiêu chí của một trung tâm khám chữa bệnh chuyên khoa Răng Hàm Mặt chất lượng, uy tín, là lựa chọn số 1 dành cho bạn khi gặp tình trạng răng bị sâu đục lỗ cũng như các vấn đề khác về răng miệng.



