Niềng răng luôn cải thiện được các khuyết điểm như hô, móm, lệch lạc,...
Sau khi niềng răng xong không răng có dịch chuyển về như cũ?
Mặc dù có những ưu điểm vượt trội mà phương pháp niềng răng mang lại nhưng vẫn có khả năng tái phát sau khi niềng răng vì một số lý do:
- Hướng điều trị không đúng cách: Đối với những răng bị khiếm khuyết, niềng răng chỉ khắc phục được một phần do sự sai lệch không chỉ của răng mà còn do xương. Nếu bệnh nhân không hiểu rõ về tình trạng của mình có thể dẫn đến tình trạng răng hô không đạt chuẩn khi niềng răng.
- Không biết thời gian đeo mắc cài: một số trường hợp đeo mắc cài không được đảm bảo thời gian, do lý do cá nhân như: đi công tác, du học, kết hôn… nên quá trình đeo mắc cài vẫn chưa được hoàn thiện. , và bạn cần phải chịu rủi ro tái phát, và răng sẽ phục hồi về trạng thái ban đầu.
- Không đeo mắc cài: Sau khi đeo mắc cài, nha sĩ khuyên bạn nên đeo mắc cài để duy trì hiệu quả chỉnh nha. Do răng của bạn bị di chuyển do lực kéo trong thời gian dài, nếu bạn kéo niềng răng mà không đeo hàm hoặc đeo hàm không đều đặn, không đủ thời gian sẽ gây tiêu xương răng, tụt lợi. không có thời gian để thích nghi, vì như vậy răng sẽ bị hư sau khi đeo mắc cài, khi mang mắc cài thì răng sẽ bị tổn thương
- Mọc răng khôn: Răng khôn mọc lệch trong quá trình niềng răng cũng có thể ảnh hưởng đến kết quả.

Khi niềng răng, bệnh nhân cần tuân thủ theo đúng chỉ định của bác sĩ để mang lại kết quả như mong muốn
++ Tìm hiểu về dây thun niềng răng
Cần lưu ý gì sau khi niềng răng để tránh bị tái phát
Bác sĩ Trần Thị Nga - Chuyên gia chỉnh nha - Giám đốc chuyên môn Nha khoa Nhân Tâm - Nha khoa quận 10, Hồ Chí Minh cho biết: Niềng răng là giải pháp điều trị răng thưa, khấp khểnh, răng mọc lệch, lệch lạc… với kết quả vĩnh viễn theo thời gian. Và để tránh tình trạng răng vẩu trở về vị trí ban đầu, bệnh nhân cần tuân thủ nghiêm ngặt những chỉ định của bác sĩ sau khi niềng răng xong.
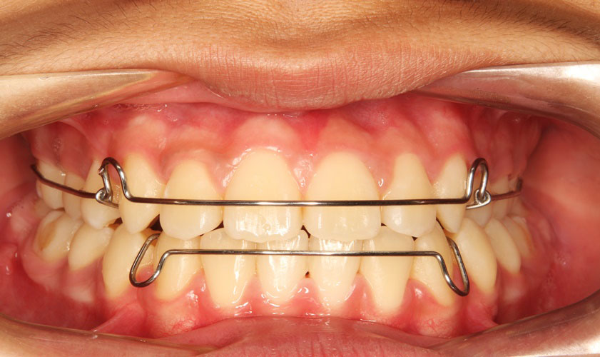
Mang hàm duy trì theo đúng hướng dẫn
Không phải ngẫu nhiên mà hàm vẫn được duy trì sau khi niềng răng được áp dụng cho những người mang mắc cài. Cả răng và xương hàm đều rất mỏng manh, nhạy cảm và xương ổ răng không bền vững khi chịu tác động của lực theo thời gian. Hơn nữa, bệnh nhân phải ăn nhai hàng ngày nên cần phải có những thiết bị chuyên dụng để bảo vệ hiệu quả chỉnh nha.

Hàm duy trì sẽ giúp bảo vệ kết quả sau khi niềng răng
Hàm duy trì là một thiết bị giữ cho răng cố định chắc chắn vào xương và nướu để ngăn chúng dịch chuyển về phía sau khi đang niềng răng. Để ổn định răng, bạn sẽ phải đeo mắc cài trong thời gian do bác sĩ chỉ định để khay niềng của bạn hoạt động tốt nhất.
Loại bỏ răng khôn mọc ngầm, mọc lệch
Như đã nói ở trên về việc khiến răng trở về vị trí cũ sau khi niềng răng, chiếc răng khôn mọc ngầm có thể đâm thủng các răng bên cạnh, khiến răng mọc lệch lạc, đồng thời gây sâu răng và viêm nhiễm. nguồn gốc. . Vì vậy, để bảo vệ răng miệng và hiệu quả sau khi niềng răng, cần phải nhổ bỏ răng khôn.

Răng khôn là một trong những nguyên nhân khiến răng về vị trí ban đầu khi niềng răng
Chăm sóc răng đúng cách
Để tránh tình trạng răng tái phát sau khi điều trị chỉnh nha, cần chú ý chăm sóc răng miệng đúng cách bằng chỉ nha khoa, chỉ nha khoa, bàn chải mềm và nước súc miệng. Ngoài ra, cần đi khám răng định kỳ để phát hiện và điều trị kịp thời các bệnh lý răng miệng.
Do đó, việc răng trở về vị trí ban đầu bằng phương pháp niềng răng là hoàn toàn có thể xảy ra. Tuy nhiên, nếu tuân thủ nghiêm ngặt lịch trình niềng răng và hướng dẫn của bác sĩ, đặc biệt là đến nha khoa uy tín và bác sĩ chỉnh nha giỏi, bạn sẽ có ngay hàm răng đẹp hoàn hảo trong thời gian ngắn.


