Những kiến thức cơ bản về niềng răng trẻ em
1. Niềng răng cho trẻ em có cần thiết không?
Một hàm răng mọc lộn xộn chắc chắn sẽ gây mất thẩm mỹ, nhiều trường hợp khiến bé cảm thấy mặc cảm, tự ti. Điều này ảnh hưởng đến sự hình thành tính cách của trẻ và khiến cho các mối quan hệ, giao lưu hàng ngày tiến triển theo hướng tiêu cực, khép kín.
Bên cạnh đó, khớp cắn không chuẩn sẽ khiến bé gặp nhiều khó khăn trong việc ăn nhai, phát âm không chuẩn và nhiều hệ lụy khác.
Vì thế, nếu niềng răng trẻ em, để trẻ có được hàm răng khỏe đẹp thì có thể giúp trẻ lấy lại tự tin, khỏe mạnh và mở ra nhiều cơ hội tốt cho trẻ khi trưởng thành.
2. Thời điểm lý tưởng để niềng răng cho trẻ
Trẻ có thể niềng răng bắt đầu từ 6-7 tuổi, ngay khi những chiếc răng sữa đầu tiên được thay thế. Ở thời điểm này, niềng răng mang tính chất định hình khuôn răng và duy trì cho đến khi hàm răng được thay đầy đủ.
Khi đó, răng mọc lên sẽ ở đúng vị trí với thế và chiều răng chuẩn hơn, nếu có những sai lệch bất thường nào sẽ được phát hiện và điều chỉnh ngay nên dễ dàng thực hiện và mang lại kết quả nhanh chóng.

Trẻ có thể niềng răng bắt đầu từ 6-7 tuổi
3. Khí cụ niềng răng cho trẻ em có gì khác biệt?
Khí cụ niềng răng cho trẻ em có nhiều điểm đặc biệt, khác với người lớn. Ở người lớn, quá trình niềng răng chỉ phải dùng đến những khí cụ chính và phổ biến như mắc cài cho trường hợp nặng và khay niềng trong suốt cho trường hợp nhẹ.
Còn ở trẻ em thì có thể dùng mắc cài hoặc cũng có thể dùng hàm tháo lắp. Cả hai khí cụ này đều được áp dụng phổ biến trong chỉnh nha trẻ em vì rất nhiều trẻ gặp phải tình trạng vòm hàm hẹp cần nong và chỉnh cho rộng với độ khum đẹp nhất.
Xem thêm: Niềng răng sau sinh có được không? Cần lưu ý điều gì?
4. Niềng răng cho trẻ em có cần đến Nha sĩ giỏi không?
Nhiều người nghĩ rằng, răng và hàm ở trẻ em dễ điều chỉnh hơn so với người lớn nên không cần phải đòi hỏi quá cao. Tuy nhiên, ở bất kỳ độ tuổi nào thì việc chỉnh nha cũng cần phải có Bác sĩ giỏi, giàu kinh nghiệm.
Bởi khi chỉnh nha cho bé, Nha sĩ có thể gặp phải một số trở ngại sau:
- Bệnh nhân còn nhỏ tuổi nên có thể không biết giữ gìn khí cụ cố định trên miệng để đảm bảo hiệu quả như mong muốn, điều này sẽ ảnh hưởng trực tiếp đến tiến trình và kết quả chỉnh nha. Trẻ em thường dễ rơi vào các sự cố phải nhanh chóng khắc phục như: bung tuột khí cụ, mắc cài cọ sát vào môi, má, lưỡi,… do không có sự giữ gìn và kiêng dè.
- Vì xương hàm của trẻ chưa phát triển đầy đủ nên Bác sĩ chỉ biết căn cứ vào độ khum của vòm hàm hiện tại. Điều này đòi hỏi Bác sĩ phải tiên lượng được khả năng phát triển của xương hàm trong tương lai để đưa ra phác đồ niềng răng thích hợp.
Do vậy, niềng răng cho trẻ em cần đến các Bác sĩ giỏi, có trình độ chuyên môn cao và kinh nghiệm điều trị thực tế qua nhiều ca chỉnh nha

Niềng răng cho trẻ em cũng cần đến Bác sĩ giỏi để mang lại kết quả chỉnh nha như mong đợi
Niềng răng cho trẻ hiệu quả – Tại sao nên chọn Nha khoa Nhân Tâm?
Niềng răng cho trẻ em không chỉ ngăn chặn tình trạng răng, xương hàm bị sai lệch ở thời điểm hiện tại mà còn ảnh hưởng đến thẩm mỹ về sau.
Do đó, cha mẹ khi quyết định niềng răng cho bé thì nên lựa chọn một địa chỉ nha khoa uy tín, chất lượng nhằm đảm bảo quá trình chỉnh nha diễn ra chính xác, an toàn và đạt hiệu quả cao.
Với hơn 20 năm kinh nghiệm trong nghề, Nha khoa Nhân Tâm là địa chỉ phòng khám nha khoa TPHCM thực hiện chỉnh nha cho trẻ em được đông đảo phụ huynh an tâm lựa chọn:
- Đội ngũ Bác sĩ chuyên khoa giỏi, giàu kinh nghiệm, thực hiện nắn chỉnh răng cho trẻ theo một kế hoạch khoa học, đảm bảo tính chính xác và hiệu quả cao.
- Trang bị hệ thống máy móc, trang thiết bị hiện đại nhằm tạo cảm giác thoải mái cho bé nhưng đồng thời vẫn có khả năng định hình, sắp xếp răng theo đúng mong muốn.
- Quy trình thực hiện niềng răng khoa học, Bác sĩ sẽ cùng với phụ huynh thống nhất ý kiến về kỹ thuật niềng, thời gian, chi phí, liệu trình chi tiết để từ đó đảm bảo niềng răng đúng kế hoạch, phác đồ ban đầu.
- Chế độ chăm sóc khách hàng chu đáo, có xe đưa rước tận nơi


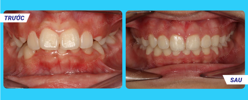
Hình ảnh trước - sau khi niềng răng của trẻ tại Nha khoa Nhân Tâm
Hy vọng những thông tin trên đã giúp cha mẹ nắm được những kiến thức cơ bản về niềng răng trẻ em. Nếu còn bất kỳ thắc mắc nào cần được giải đáp, hãy liên hệ ngay đến Nha khoa Nhân Tâm để được các chuyên gia tư vấn chi tiết và hoàn toàn miễn phí.



