Răng hô hay răng vẩu là tình trạng sai lệch khớp cắn, mất tương quan giữa hai hàm răng trên và hàm răng dưới, có những biểu hiện như sau:
Bị hô cả hai hàm
Răng hàm trên bị chìa ra phía trước
Cung hàm của bệnh nhân bị hẹp hơn mức bình thường
Môi căng ra, hàm dưới bị thụt lùi vào bên trong
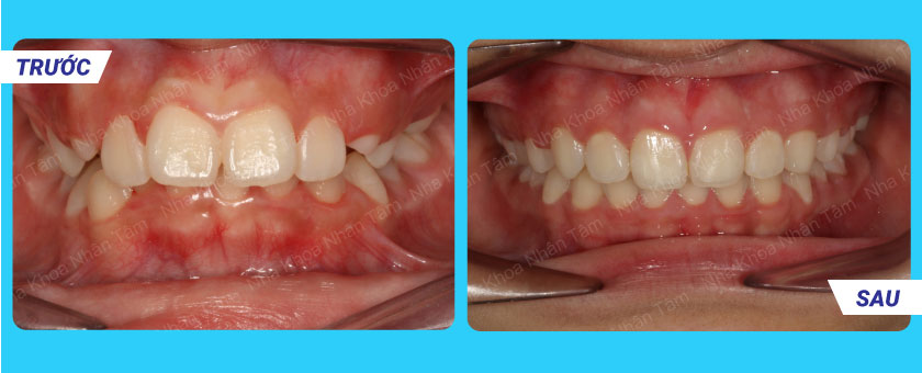
Răng hô là tình trạng sai lệch khớp cắn phổ biến, gây ảnh hưởng nghiêm trọng đến chức năng ăn nhai cũng như thẩm mỹ gương mặt. Mặc dù tình trạng hô răng ở mỗi người khác nhau nhưng nhìn chung, dạng sai lệch khớp cắn này vẫn gây ảnh hưởng tiêu cực đến cuộc sống và sinh hoạt của bệnh nhân. Niềng răng là giải pháp can thiệp điều trị răng hô hiệu quả nhất hiện nay. Để có phương pháp điều trị hiệu quả, bạn hãy liên hệ đến địa chỉ niềng răng uy tín cũng như tham khảo những thông tin sau về niềng răng hô. Những câu hỏi thường gặp về niềng răng hô tham khảo dưới đây:


Nguyên nhân nào gây ra hô răng?
Có hai nguyên nhân chính gây ra tình trạng hô răng là di truyền hoặc do thói quen xấu khi còn nhỏ. Đối với trường hợp răng hô do di truyền, ba mẹ nên cho bé niềng răng sớm, từ 9 – 14 tuổi để đạt hiệu quả niềng răng cao nhất và hạn chế tái phát. Trường hợp răng hô do thói quen xấu như đẩy lưỡi, mút tay, ngậm núm vú giả quá lâu, ba mẹ nên sớm phát hiện để điều chỉnh lại thói quen cho bé, tạo điều kiện cho răng phát triển bình thường.
Điều trị răng hô bằng cách nào?
Tùy theo từng trường hợp răng và nguyên nhân gây hô răng, Bác sĩ nha khoa sẽ chỉ định phương pháp và lên lộ trình điều trị phù hợp. Thông thường, có hai giải pháp điều trị răng hô gồm niềng răng hoặc phẫu thuật hàm kết hợp với niềng răng. Vẫn có trường hợp điều trị răng hô bằng phương pháp bọc răng sứ nhưng phương pháp này chỉ áp dụng khi răng hô mức độ nhẹ và bệnh nhân không có thời gian để niềng răng.
Đối với niềng răng hô, bệnh nhân có thể chọn niềng răng mắc cài kim loại, niềng răng mắc cài sứ, niềng răng bằng khay niềng trong suốt… tùy theo điều kiện kinh tế và yêu cầu thẩm mỹ. Nếu xét về hiệu quả của từng phương pháp thì chúng ta có một số đánh giá như sau:
Niềng răng mắc cài kim loại là phương pháp truyền thống, gắn dây cung và mắc cài bằng kim loại lên răng để tạo lực kéo răng hô về đúng lại vị trí trên cung hàm. Mặc dù không được đánh giá cao về mặt thẩm mỹ nhưng phương pháp niềng răng này rất hiệu quả. Chất liệu bằng kim loại đủ cứng để tạo dịch chuyển trên răng nhanh chóng, tiết kiệm thời gian.

Niềng răng mắc cài sứ hoạt động tương tự như niềng răng mắc cài kim loại, tuy nhiên, chất liệu sử dụng làm mắc cài là sứ. Sứ có màu trắng, trùng với màu răng nên đảm bảo tính thẩm mỹ cao hơn so với niềng răng mắc cài kim loại.
Niềng răng bằng khay niềng trong suốt là giải pháp hiện đại nhất hiện nay, đảm bảo tính thẩm mỹ và hiệu quả niềng răng cao. Bệnh nhân sẽ có những khay niềng trong suốt được thiết kế riêng tùy theo từng tình trạng của răng. Khay niềng dễ tháo lắp, vệ sinh, trong suốt, giúp bệnh nhân có trải nghiệm niềng răng khác biệt.

Thời điểm niềng răng tốt nhất là khi nào? Trên 30 tuổi có niềng răng được không?
Mặc dù trẻ em và thanh thiếu niên là đối tượng được hưởng lợi nhiều nhất từ phương pháp niềng răng nhưng thực tế, bất kỳ ai có hàm răng khỏe mạnh, có động lực và quyết tâm đều có thể niềng răng để có hàm răng đẹp. Do đó, bệnh nhân ở độ tuổi từ 30 trở lên vẫn có thể niềng răng hiệu quả.
Xem thêm: Bao nhiêu tuổi thì nên niềng răng?
Niềng răng có đau không?
Bệnh nhân sẽ cảm thấy khó chịu trong thời gian đầu niềng răng vì không quen với sự hiện diện của mắc cài trên răng. Khi đã làm quen với mắc cài, bệnh nhân sẽ không thấy khó chịu nhiều như ngày đầu nữa. Trong quá trình răng dịch chuyển, bệnh nhân sẽ cảm thấy hơi ê buốt răng một chút, đó là dấu hiệu cho thấy hiệu quả của phương pháp niềng răng. Bác sĩ tại phòng khám Nha khoa Nhân Tâm sẽ đồng hành cùng bệnh nhân trong suốt thời gian niềng răng để bệnh nhân an tâm niềng răng và chờ đợi kết quả tốt đẹp.


