Hiện nay trên thị trường, những bộ niềng răng tại nhà được giới thiệu khá phổ biến với mức giá rất rẻ. Một trong những sản phẩm được sử dụng nhiều nhất đó chính là niềng răng silicon, hay còn gọi là niềng răng trainer. Sản phẩm này không những không có tác dụng nắn chỉnh răng mà còn tiềm ẩn những nguy hiểm, ảnh hưởng đến sức khỏe răng miệng.
Để khắc phục các sai lệch của răng một cách hiệu quả và an toàn, cách tốt nhất là bạn cần tìm hiểu thật kỹ và lựa chọn cho mình địa chỉ nha khoa uy tín.
Bác sĩ với trình độ chuyên môn cao, được đào tạo chuyên sâu về niềng răng, cùng với sự hỗ trợ của máy móc, công nghệ hiện đại sẽ giúp chẩn đoán chính xác tình trạng răng miệng của bạn, từ đó lên phác đồ điều trị chi tiết và nắn chỉnh răng về đúng vị trí như mong muốn, giúp răng đều đẹp và chắc khỏe.
Hiểu rõ hơn về bộ niềng răng tại nhà
Bộ niềng răng tại nhà hiện đang được rất nhiều khách hàng lựa chọn sử dụng. Mặc dù chưa biết những sản phẩm này mang lại hiệu quả như thế nào, nhưng trước hết, những sản phẩm này có chi phí rất rẻ, đây cũng chính là điểm thu hút khiến nhiều người ưa chuộng.
Một trong những dụng cụ phổ biến nhất có thể kể đến đó là niềng răng silicon, hay còn gọi là niềng răng trainer. Liệu rằng niềng răng tại nhà có tốt không?
Bác sĩ Trần Thị Nga – Chuyên gia niềng răng trên 23 năm kinh nghiệm của Nha khoa Nhân Tâm cho biết: “Niềng răng silicon thường được chỉ định dùng cho trẻ em, khi mà răng chưa được định hình hoàn toàn. Dụng cụ này có tác dụng giúp răng mọc đúng vị trí, can thiệp nong rộng hàm khi khẩu cái của bé chưa cố định, đồng thời ngăn ngừa các thói quen xấu của trẻ, chứ không hề có tác dụng nắn chỉnh răng về đúng vị trí trên cung hàm như nhiều người vẫn lầm tưởng”.

Bộ niềng răng tại nhà có tốt không là thắc mắc của nhiều người
Bộ niềng răng tại nhà có tốt không?
Đối với nhiều người, bộ dụng cụ niềng tại nhà sẽ giúp tiết kiệm được chi phí và thuận tiện hơn trong sinh hoạt cũng như đời sống thường ngày. Tuy nhiên, thực tế đã chứng minh rằng niềng răng tại nhà không mang lại hiệu cao.
Bên cạnh đó, do giá thành rẻ và được bày bán tràn lan nên khách hàng rất dễ mua phải khí cụ kém chất lượng, không rõ nguồn gốc, từ đó dẫn đến những biến chứng nguy hiểm, cụ thể như:
Những dụng cụ niềng răng tại nhà trôi nổi, được tạo thành từ những vật liệu kém chất lượng, không phù hợp với tiêu chuẩn nha khoa có thể gây nên tình trạng viêm nhiễm, ảnh hưởng đến sức khỏe răng miệng cũng như sức khỏe toàn thân.
Những trường hợp răng hô, móm, lệch lạc, khấp khểnh,... thì chắc chắn rằng các bộ niềng răng tại nhà không thể mang lại hiệu quả. Lý do là bởi không có một dụng cụ nào được sản xuất đại trà cho hàng trăm triệu người mà có thể khắc phục được sai lệch của răng.
Ngoài ra, nếu những sản phẩm này thực sự tốt như vậy thì các chuyên gia không cần phải tốn quá nhiều thời gian, công sức cũng như chi phí để sản xuất các loại niềng răng trong suốt như Invisalign.

Những trường hợp hô nặng thì niềng răng tại nhà không mang lại hiệu quả
Niềng răng tại nhà không có sự kiểm định và hướng dẫn của bác sĩ, do đó nếu đeo khí cụ sai có thể dẫn đến tình trạng lệch xương hàm, đồng thời khiến răng bị tổn thương, lung lay, về lâu dài sẽ gây ra các bệnh lý như: đau khớp thái dương hàm, ăn nhai khó khăn, rụng răng,...
Để ngăn ngừa những biến chứng khi niềng răng tại nhà, bạn cần cân nhắc thật kỹ trước khi sử dụng phương pháp này, nên tham khảo ý kiến của bác sĩ trước khi muốn áp dụng bất cứ biện pháp nào với răng của mình. Tốt nhất là nên tìm đến các nha khoa uy tín để bác sĩ thăm khám và tư vấn cụ thể khi có ý định niềng răng.
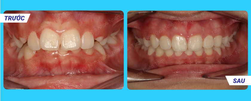
Nha khoa Nhân Tâm là một trong những địa chỉ đang tin cậy mà bạn có thể lựa chọn. Uy tín của Nhân Tâm đã được khẳng định trong hơn 23 năm qua, không chỉ có những khách hàng trong nước mà nhiều người nước ngoài, Việt kiều… cũng rất hài lòng với dịch vụ tại đây.


Khách hàng niềng răng tại Nha khoa Nhân Tâm
Qua những thông tin được chia sẻ trong bài viết trên, hy vọng rằng bạn đã có cái nhìn đúng đắn hơn về bộ niềng răng tại nhà. Nếu cần tư vấn rõ hơn về niềng răng, hãy liên hệ ngay đến Nha khoa Nhân Tâm theo Hotline 1900 56 5678, các chuyên gia sẽ giải đáp chi tiết cho bạn.



